1. ĐỊNH NGHĨA
Mạch máu tiền đạo được định nghĩa là mạch máu của thai, có thể là động mạch hay tĩnh mạch, không nằm trong bánh nhau hoặc dây rốn, mà hiện diện gần lỗ trong cổ tử cung. Những mạch máu này có nguy cơ vỡ, khi ối vỡ tự nhiên hoặc bấm ối, dẫn đến thai bị xuất huyết và tử vong. Một vài nghiên cứu cho thấy mạch máu tiền đạo không được chẩn đoán thuộc nhóm nguy cơ cao dẫn đến chết lưu, tử vong sơ sinh và chu sinh. Do đó, nếu được chẩn đoán trước sinh có thể ngăn ngừa được những rủi ro này.
2. TẦN SUẤT
Mạch máu tiền đạo chiếm khoảng 1/2500 – 1/5000 ca sinh đơn thai. Tần suất gia tăng ở thai kỳ sau thụ tinh trong ống nghiệm là 1/202. Tần suất cũng tăng lên trong dây rốn bám màng, nhau bám thấp, bánh nhau phụ, nhau 2 thùy, đa thai. Như vậy yếu tố nguy cơ cho mạch máu tiền đạo bao gồm: dây rốn bám màng mép dưới bánh nhau, nhau bám thấp trên siêu âm 3 tháng cuối, bánh nhau hai thùy, bánh nhau phụ, thai IVF và đa thai. Vì thế vị trí của nhau thai, mối quan hệ giữa bánh nhau và cổ tử cung cần được khảo sát cẩn thận ở những bệnh nhân này.
3. PHÂN LOẠI
Có 2 dạng mạch máu tiền đạo:
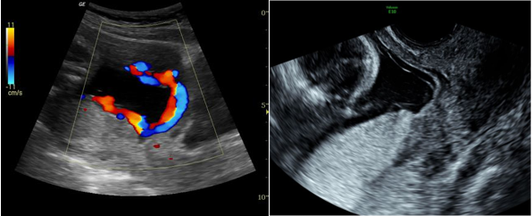
Mạch máu tiền đạo type 1 : Kết hợp với dây rốn bám màng hay dây rốn bám mép nhau.
Mạch máu tiền đạo type 2 : Trong trường hợp bánh nhau phụ hay nhau hai thùy.

Đa phần các dấu hiệu nghi ngờ về mạch máu tiền đạo trong 3 tháng giữa thai kỳ có thể mất đi theo thời gian. Điều này được lý giải là do hình thành đoạn dưới tử cung trong 3 tháng cuối thai kỳ làm cho mạch máu tiền đạo có thể được di chuyển lên trên cách xa lỗ trong cổ tử cung. Những trường hợp mạch máu tiền đạo được phát hiện vào 3 tháng cuối thai kỳ vẫn tồn tại đến khi sinh
Mạch máu tiền đạo có nguy cơ bị vỡ khi vỡ ối tự nhiên hoặc bấm ối, hiếm khi xảy ra hiện tượng chảy máu thai mà không bị vỡ màng ối. Trong hầu hết các trường hợp chảy máu nhanh chóng dẫn đến nhịp tim thai nhi bất thường, chẳng hạn như CTG hình sinh, thai chết sau đó vài phút do cạn kiệt máu.
Máu chảy ttrong mạch máu tiền đạo là máu từ thai. Trung bình thai có 80-100ml máu/kg cân nặng thai nhi, do vậy mất 100ml máu có thể gây sốc mất máu và tử vong thai nhi.
Tỷ lệ tử vong chu sinh thấp < 10% khi được chẩn đoán trước sinh và xử trí thích hợp. Ngược lại tỷ lệ tử vong rất cao 70-100% nếu phát hiện muộn khi đã vỡ ối và gây biến chứng cho thai.
Việc chẩn đoán trước sinh và tuổi thai tại thời điểm sinh có ý nghĩa cực kỳ quan trọng về khả năng sống của trẻ sơ sinh.
Các chuyên gia đồng thuận về sàng lọc mạch máu tiền đạo đưa ra các khuyến cáo siêu âm khảo sát mạch máu tiền đạo trong ba tháng giữa thai kỳ cho các đối tượng sau: Dây rốn bám màng, nhau bám thấp, bánh nhau hai thùy, bánh nhau phụ, thụ tinh trong ống nghiệm, đa thai.

Khi chảy máu từ mạch máu của thai, tiên lượng thai nhi thường rất xấu. Trẻ sơ sinh thường thiếu máu rất nặng, phải truyền máu tức thì để cứu sống. Lý tưởng là có nhóm máu chuyên biệt cho bé hay nhóm máu O, Rh âm là cần thiêt. Nếu thai chết thì khởi phát chuyển dạ sinh ngã âm đạo
9. BÁO CÁO TRƯỜNG HỢP CHẨN ĐOÁN VÀ XỬ TRÍ THÀNH CÔNG CASE MẠCH MÁU TIỀN ĐẠO TẠI BVĐK TỈNH QUẢNG TRỊThai phụ HTML 28 tuổi mang thai lần 1, 39 tuần. Quá trình khám thai phát hiện dây rốn bám màng mép dưới bánh nhau. Vào viện vì có dấu hiệu chuyển dạ. Ghi nhận lúc vào viện cổ tử cung hở, tử cung gò 1/10 phút. Qua siêu âm ghi nhận 01 thai tương ứng 39 tuần, dây rốn bám màng. Khoa Phụ Sản tiến hành siêu âm Doppler qua đầu dò âm đạo phát hiện mạch máu tiền đạo. Thai phụ được tiến hành mổ lấy thai cấp cứu. Sau mổ đón ra 01 bé trainặng 3800 gr. Trong mổ phát hiện mạch máu tiền đạo. Sau mổ an toàn kiểm tra bánh nhau xác định dây rốn bám màng mạch máu tiền đạo. Sau đó thai phụ được thực hiện da kề da cho em bé. Sau 4 ngày điều trị thai phụ và trẻ sơ sinh xuất viện khỏe mạnh.

Các thai phụ cần được siêu âm kiểm tra thai kỳ đều đặn. Đặc biệt cần khảo sát siêu âm Doppler đầu dò âm đạo trong ba tháng giữa thai kỳ cho các đối tượng nguy cơ như: Dây rốn bám màng, nhau bám thấp, bánh nhau 2 thùy, bánh nhau phụ, thai thụ tinh ống nghiệm, đa thai. Khi được chẩn đoán mạch máu tiền đạo trước sinh cần được theo dõi thai kỳ, hỗ trợ phổi cho thai nhi, chấm dứt thai kỳ trước khi vào chuyền dạ bằng mổ lấy thai chủ động nhằm tránh các biến chứng nguy hiểm cho bé.
TÀI LIỆU THAM KHẢOTác giả: BSCKI Trần Đình Lực – Khoa Phụ Sản
Ý kiến bạn đọc
Những tin mới hơn
Những tin cũ hơn
thành lập đơn vị đột quỵ - thầy thuốc ưu tú
ngày thầy thuốc Việt Nam 27.2.2018
hội thi quy tắc ứng xử 2018