tin tuc

Túi thừa Meckel biến chứng xuất huyết tiêu hóa

Thứ hai - 06/09/2021 23:29
I. Đặt vấn đề
Túi thừa Meckel là một bất thường bẩm sinh hay gặp nhất của đường tiêu hóa với tỷ lệ mắc khoảng 2%[2],[3],[10].Nó được mô tả lần đầu tiên bởi Fabricus Heldanus vào năm 1650, sau đó bởi Levator vào năm 1671 và Ruysch vào năm 1730. Tuy nhiên được mô tả chi tiết bởi Hohann Friedrick Meckel vào năm 1808 và từ đó nó được mang tên nhà giải phẫu học này[8].
Nguồn gốc bào thai học và vị trí thường gặp của túi thừa Meckel được giải thích bởi sự phát triển của ruột giữa (midgut). Trong vài tuần đầu trong thời kỳ bào thai, túi Yolk nguyên thủy chia làm 2 phần. Phần lớn hơn tạo nên ruột nguyên thủy trong khi phần bé hơn tiếp tục là một túi Yolk nằm gần bánh nhau. Hai phần này vẫn được nối với nhau bởi 1 ống nằm trong dây rốn. Ống này được gọi là ống noãn hoàng (omphalomesenteric) hay ống vitelline. Ống này thường tắc trước tuần thứ 7. Vì một lý do nào đó mà ống này không đóng lại sẽ tạo nên các di tật khác nhau trong đó túi thừa Meckel là hậu quả của việc không đóng lại của ống vitelline ở phía ruột[8].
Túi thừa Meckel thường không có triệu chứng, chỉ có triệu chứng khi biến chứng xảy ra. Các biến chứng hay gặp là: xuất huyết tiêu hóa, tắc ruột, viêm túi thừa, lồng ruột ….trong đó biến chứng xuất huyết tiêu hóa và tắc ruộtthường xảy ra ở trẻ em[4].Trong bài viết này chúng tôi báo cáo 1 trường hợp túi thừa Meckel biến chứng xuất huyết tiêu hóa tại Bệnh viện Đa khoa Tỉnh Quảng Trị đồng thời tham khảo Y văn về các phương pháp tiếp cận chẩn đoán bất thường bẩm sinh này.
II. Báo cáo ca bệnh
Bệnh nhi nam, 5 tuổi, nhập viện vì đi cầu phân đen,lỏng. Khởi bệnhbuổi trưa trước nhập viện 1 ngàyvới đau bụng kèm nôn nhiều, nôn ra thức ăn, chưa điều trị gì. Đến chiều trẻ đau bụng, đi cầu phân máu bầm đen lẫn máu tươi hai lần, người nhà đưa trẻ nhập viện.
Thăm khám lâm sàng thấy: Trẻ tỉnh, tiếp xúc tốt, Da môi hồng nhạt, Mạch 118 lần/phút,Nhiệt độ: 36,7 độ C,Nhịp thở: 26 lần/phút, Huyết áp 105/60 mmHg.Không buồn nôn, không nôn, đau bụng vùng thượng vị và quanh rốn, Bụng mềm, phản ứng thành bụng âm tính. Thăm trực tràng có màu bầm đen lẫn ít máu tươi dính gant.
Xét nghiệm máu có: Tỷ Prothrombin 75.6%; Số lượng hồng cầu :2.594,Lượng huyết sắc tố 68.25, Hct: 0,216, MCV: 83 fl, MCH: 27pg.
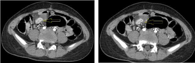
Bệnh nhân được truyền 2 đơn vị hồng cầu khối đồng thời nội soi dạ dày tá tràng và đại tràng để tìm nguyên nhân chảy máu. Kết quả nội soi dạ dày: Viêm xung huyết thân vị. Nội soi đại tràng: lòng đại tràng nhiều máu đỏ sẫm, không phát hiện nguyên nhân gây chảy máu, thấy máu qua van hồi manh tràng. Nhận định đây là một trường hợp xuất huyết tiêu hóa nguyên nhân từ ruột non.Chỉ định chụp CT mạch máu. Kết quả: Vùng hố chậu phải, cạnh hồi tràng có khối cấu trúc hình túi kích thước khoảng 1,5 x 4,5cm, niêm mạcngấm thuốc sớm, mạnh, không đồng nhất, đào thải ở thì tĩnh mạch, không thấy thoát thuốc vào ống tiêu hoá (Hình 1). Kết luận: khối cấu trúc hình túi, cạnh hồi tràng, ngấm thuốc bất thường ở niêm mạc.
Hình ảnh CT scan ổ bụng
Hình 1. Hình ảnh CT scan ổ bụng
  Chẩn đoán: xuất huyết tiêu hóa khả năng từ túi thừa Meckel. Chỉ định nội soi ổ bụng chẩn đoán và xử trí nguyên nhân.
Nội soi ổ phúc mạc thấy ổ bụng sạch, không dịch. Cách góc hồi manh tràng khoảng 80 cm có mạc nối lớn đến bám dính. Gỡ dính phát hiện1 túi thừa Meckel viêm xuất huyết . Mở bụng nhỏ đường giữa trên rốn cắt đoạn ruột non có túi thừa (Hình 2a), phục hồi lưu thông tiêu hóa tận tận (Hình 2b),. Bệnh nhân hậu phẫu ổn định. Xuất viện vào ngày hậu phẫu thứ 7.
Kết quả giải phẫu bệnh lý cho ta thấy hình ảnh niêm mạc dạ dày lạc chỗ trong túi thừa (Hình 2c),
2021 09 08 14 08 12
Hình 2a                                 Hình 2b                                                 Hình 2c
Hình 2. Hình ảnh trong và sau mổ
III. Bàn luận
Túi thừa Meckel có triệu chứng có thể gặp ở mọi lứa tuổi. Nhưng chúng hay gặp ở trẻ em [9],[11]. Theo 2 nghiên cứu của Alemayehu và Ruscher hơn 50% trẻ em có túi thừa Meckel cần phải phẫu thuật trước 5 tuổi. Một mô tả giúp dễ nhớ về đặc tính của túi thừa Meckel là quy luật con số 2: tỷ lệ mắc là 2%, vị trí 2 feet (khoảng 61 cm) cách góc hồi manh tràng, chiều dài thường 2 inches (5cm), có 2 dạng mô lạc chỗ hay gặp (dạ dày và tụy) và tuổi có triệu chứng hay gặp nhất là 2 tuổi. Về giới hay gặp ở nam giới với tỷ lệ Nam/nữ thay đổi từ 1,5/1 đến 4/1[4].
 Các biến chứng hay gặp của túi thừa Meckel là xuất huyết tiêu hóa, viêm túi thừa, tắc ruột và lồng ruột.
-Xuất huyết tiêu hóa là do niêm mạc của túi thừa có chứa niêm mạc dạ dày hay mô tụy lạc chỗ. Hậu quả của việc tiết dịch có nồng độ axit hay kiềm quá cao của các mô này gây viêm loét chảy máu niêm mạc túi thừa và niêm mạc đoạn hồi tràng lân cận gây nên tình trạng xuất huyết tiêu hóa[6].Lồng ruột tái diễn gây chấn thương, viêm, loét niêm mạc và chảy máu. Vai trò của Helicobacter pylori gây viêm niêm mạc dạ dày lạc chỗ đang còn là vấn đề bàn cãi. Ảnh hưởng của kháng viêm nonsteroid chưa được chứng minh[11].
- Tắc ruột có thể do một số lý do sau: xoắn ruột xung quanh túi thừa được dính vào thành bụng trước, lồng ruột, đầu túi thừa dính vaò 1 tạng khác tạo thành 1 dây chằng gây thoát vị nội …[8].
- Viêm túi thừa là do tắc nghẽn cổ túi thừa bởi sỏi phân, dị vật, ký sinh trùng hay xơ hóa do loét tái diễn. Túi thừa viêm có thể thủng gây viêm phúc mạc toàn thể[8].
- Lồng ruột là do túi thừa có thể bị lộn ngược vào trong lòng ruột, khi đó mỡ xung quanh và mạc treo của túi thừa sẽ chui vào trung tâm túi thừa và gây tắc ruột hay lồng ruột[2].
Bệnh nhân của chúng tôi là một bệnh nhi 5 tuổi, vào viện với tình trạng thiếu máu bình sắc, hồng cầu bình thường chứng tỏ thiếu máu ở đây là thiếu máu do mất máu cấp tính. Nguyên nhân mất máu cấp đã được chỉ ra là 1 tình trạng xuất huyết tiêu hóa. Sau khi thực hiện nội soi thực quản, dạ dày, tá tràng và nội soi đại tràng không phát hiện nguyên nhân gây chảy máu ở các vị trí này, đồng thời máu đen chảy ra từ góc hồi manh tràng chúng tôi nhận định đây là một trường hợp chảy máu từ ruột non. Đứng trước một trường hợp chảy máu từ ruột non thì có nhiều cách tiếp cận chẩn đoán:
Nội soi bóng đôi(double-balloon enteroscopy): là một thủ thuật nội soi tiên tiến có thể khảo sát toàn bộ ruột non. Nó có thể thực hiện ngược dòng hay xuôi dòng. Chỉ định chính của nó là để chẩn đoán và điều trị các tổn thương chảy máu của ruột giữa trong đó có mục tiêu khảo sát nguyên nhân chảy máu có phải từ túi thừa meckel hay không?Trong nội soi bóng đôi túi thừa meckel có hình ảnh lòng ống đôi (Double lumen)(Hình 3). Hiện tạiBệnh viện của chúng tôi chưa có phương tiện này.
2021 09 08 14 12 01
Hình 3. Hình ảnh lòng ống đôi
A* Nguồn: theo Yang J (2020) [12]B* Nguồn: theo Chen Y. (2019) [1]
 
Nội soi viên nang (Capsule endoscopy): Là một phương tiện kỹ thuật mới dùng để khảo sát ruột non đơn giản và không xâm hại. Nội soi viên nang có thể phát hiện các tổn thương của ruột non gây chảy máu đường tiêu hóa. Nội soi viên nang là chống chỉ định và khó thực hiện ở các bệnh nhi dưới 10 tuổi trong khi hiệu quả để phát hiện các thương gây chảy máu ở ruột non của nó so với nội soi bóng đôi là như nhau. Trái lại nội soi bóng đôi ngược chiều dễ dàng khảo sát nguyên nhân chảy máu từ túi thừa meckel vì vị trí của nó chỉ khoảng 1 m cách van hồi manh tràng. Hiện tai Bệnh viện của chúng tôi chưa có phương tiện này.
Chụp mạch số hóa xóa nền (DSA):.
Nó chỉ ra các nhánh động mạch mạc treo tràng trên bất thường hay sự thoát mạch của chất cản quang. Động mạch vitelline xuất phát như 1 nhánh hồi tràng của động mạch mạc treo tràng trên. (Hình 4). Phương pháp này có độ chính xác 59%. Hiện tại Bệnh viện của chúng tôi đã có phương tiện này.
2021 09 08 14 15 06
Hình 4. Hình ảnh chụp DSA
* Nguồn: theo Levy A.D.(2004) [7]
 
Xạ hình với Technetium Tc 99m pertechnetate:
 Chất này được biết được tích tụ ở niêm mạc dạ dày. Nó được dùng để phát hiện túi thừa Meckel có chứa biểu mô niêm mạc dạ dày lạc chỗ.
Hình 5. Hình ảnh xạ hình ổ bụng với Tc 99m pertechnetate
* Nguồn: theo Irie T. (2016) [6]
 
Người ta thấy rằng những đảo niêm mạc như vậy với đường kính > 1 cm có thể phát hiện bằng phương pháp này với độ chính xác 90% ở trẻ em và dưới 50% ở người lớn[5]. Sau khi tiêm tĩnh mạch 30 đến 50 μCi/kg chất có hoạt tính phóng xạ trên rồi chụp phim thẳng 10 phút 1 lần ít nhât trong vòng 1 giờ để phát hiện các vùng tích tụ thuốc bất thường ngoài dạ dày. Túi thừa meckel được phát hiện nhờ một vùng hấp thu khu trú tồn tại dai dẵng ở hố chậu phải hay giữa ổ bụng (Hình 5).60% các trường hợp túi thừa Meckel có triệu chứng có niêm mạc dạ dày lạc chỗ và 98% các bệnh nhân này có biểu hiện chảy máu đường tiêu hóa. Vì vậy đây là phương pháp rất tốt để chẩn đoán. Tuy nhiên Bệnh viện chúng tôi chưa có phương tiện này.
CT scan ổ bụng: chỉ ra ổ đọng thuốc ở thì muộn, cấu trúc tù chứa dịch và hơi liên tục với ruột non trong trường hợp chảy máu do túi thừa Meckel[5]. CT thường quy được cho là ít có giá trị trong chẩn đoán túi thừa Meckel ví khó lòng phân biệt túi thừa với quai ruột bình thường [1]
Với phương tiện hiện có chúng tôi đã chọn chụp CT scan mạch máu. Trên phim dựng hình mạch máu không thấy di dạng mạch máu ruột, không thấy động mạch viteline. Tuy nhiên trên CT scan chúng tôi thấy niêm mạc ruột ở vị trí hồi tràng ngấm thuốc cản quang mạnh đồng thời tại vị trí này có 1 cấu trúc cụt chứa hơi thông với đoạn hồi tràng đó. Khả năng bệnh nhân có túi thừa Meckel, niêm mạc túi thừa và đoạn hồi tràng lân cận ngấm thuốc mạnh khả năng sung huyết.
Bệnh nhân được chẩn đoán xuất huyết tiêu hóa khả năng từ túi thừa Meckel. Chỉ định nội soi ổ phúc mạc chẩn đoán và xử trí nguyên nhân. Nội soi ổ phúc mạc thấy 1 túi thừa Meckel viêm xuất huyết có mạc nối lớn đến bám dính. Điều này giải thích cho hình ảnh túi thừa ngấm thuốc mạnh trên phim CT scan. Kết quả giải phẫu bệnh lý cho ta thấy hình ảnh niêm mạc dạ dày lạc chỗ. Đây chính là nguyên nhân gây viêm loét, chảy máu niêm mạc đoạn hồi tràng lân cận dẫn đến biểu hiện thiếu máu do xuất huyết tiêu hóa trên bệnh nhân này.
Theo Sagar J.[11], ở trẻ em xuất huyết tiêu hóa là biểu hiện hay gặp nhất của túi thừa Meckel đặc biệt là ở những trẻ dưới 2 năm tuổi (khoảng 50%). Phần lớn các trường hợp còn lại xảy ra ở độ tuổi từ 2 đến 8 tuổi. xuất huyết tiêu hóa do niêm mạc dạ dày lạc chỗ ít gặp ở người lớn, mặc dù nó được ghi nhận ở những bệnh nhân 91 tuổi. Tại Bệnh viện Đa khoa Tỉnh Quảng Trị, túi thừa Meckel cũng thường gặp và gặp ở mọi lứa tuổi. Biểu hiện hay gặp nhất là viêm túi thừa mà thường được chẩn đoán nhầm là viêm ruột thừa cấp (Hình 6a) hay bắt gặp tình cờ khi phẫu thuật ổ bụng vì các nguyên nhân khác. Bệnh lý ống noãn hoàng này cũng gặp ở thời kỳ sơ sinh với biểu hiện rò rốn tràng( Hình 6b).
2021 09 08 14 16 46
Hình 6a                                                                Hình 6b
 Hình 6. Hình ảnh bệnh lý ống noãn hoàng tại BVT Quảng Trị
IV. Kết luận
Túi thừa Meckel là nguyên nhân hay gặp nhất gây chảy máu đường tiêu hóa ở trẻ em. Chính vì vậy đứng trước một trường hợp chảy máu từ ruột non ở trẻ em cần phải nghĩ đến nguyên nhân này để tìm cách tiếp cận chẩn đoán.

TÀI LIỆU THAM KHẢO
1.Chen Y., Tang Y (2019),” Bleeding Meckel Diverticulum: A Retrospective Analysis of Computed Tomography Enterography Findings” J Comput Assist Tomogr, 43, pp: 220–227
2. Choi S.Y.(2016), “The many faces of Meckel’s diverticulum and its complications”, Journal of Medical Imaging and Radiation Oncology, pp;1-7
3. Francis A. (2016),“Pediatric Meckel’s Diverticulum: Report of208 Cases and Reviewof the Literature”, Fetal and Pediatric Pathology, pp: 1-5
4. Hansen C.C. (2018), “Systematic review of epidemiology, presentation,and management of Meckel’s diverticulum in the 21st century”, Hansen and Søreide Medicine, 97:35
5. Hong S.N. (2016), “Diagnosisof BleedingMeckel's Diverticulum in Adults”, journal.pone.0162615, pp:1-9.
6. Irie T. et al (2016), “Intestinal hemorrhage caused by Meckel’s diverticulum with ectopic gastric mucosa on polypoid lesion: a case report”,Surgical Case Reports, 2(124), pp:1-5.
7. Levy A.D., Hobbs C.M. (2004), “ Meckel Diverticulum: Radiologic Features with Pathologic Correlation”, RadioGraphics, 24(2), pp:565-587.
8. Malik A.A. et all(2010), “Meckel’s Diverticulum—Revisited”,The Saudi Journal of Gastroenterology, 16(1), pp:3-7
9. Pedro F, (2019), “ Catastrophic gastrointestinal bleeding: always consider Meckel's diverticulum.”, EJCRIM,6: doi:10.12890/2019_001224.
10. Robinson J.R. (2017),” Optimizing surgical resection of the bleeding Meckel diverticulum in children”,Journal of Pediatric Surgery, 52,pp: 1610–1615
11. Sagar J.,Kumar V., Shah D.K.(2006),“Meckel’s diverticulum: a systematic review”, J R Soc Med, 99, pp:501–505.
12. Yang J. (2020),” Meckel’s diverticulum with polypoid hyperplasia of ectopic gastric mucosa diagnosed by doubleballoon enteroscopy and single-photon emission computed tomography/computed tomography”,Journal of International Medical Research, 48(9), pp: 1–7.

 

Tác giả: Ts.Bs. Phan Khánh Việt, Ths.Bsnt. Nguyễn Hoàng Nam Bs.Thái Văn Hùng – Khoa Ngoại Tổng hợp

 Từ khóa: tuithuameckel

Tổng số điểm của bài viết là: 16 trong 4 đánh giá

Xếp hạng: 4 - 4 phiếu bầu

  Ý kiến bạn đọc

Những tin mới hơn

Những tin cũ hơn

Album ảnh bệnh viện
Bạn đã không sử dụng Site, Bấm vào đây để duy trì trạng thái đăng nhập. Thời gian chờ: 60 giây
Gửi phản hồi