tin tuc

Bệnh viện Đa khoa tỉnh Quảng Trị phẫu thuật thành công ca chuyển vạt xương mác vi phẫu điều trị gãy hở mất đoạn xương chày

Thứ sáu - 04/07/2025 03:40
Ngày 05/6/2025, các bác sĩ Khoa Ngoại Chấn thương – Bỏng, BVĐK tỉnh Quảng Trị đã thực hiện thành công ca phẫu thuật vi phẫu tạo hình xương đặc biệt phức tạp: Chuyển vạt xương mác có cuống mạch để điều trị gãy hở mất đoạn xương chày cho một bệnh nhân bị tai nạn giao thông nghiêm trọng.
Chấn thương mất đoạn xương – hiểm họa lớn nếu không xử trí đúng
Sau khi cấp cứu và được các y bác sĩ thăm khám, bệnh nhân được chẩn đoán gãy hở phức tạp xương chày, kèm mất đoạn xương dài và tổn thương phần mềm nặng nề. Nếu không được xử lý đúng kỹ thuật, người bệnh có thể đối mặt với các biến chứng nguy hiểm như nhiễm trùng mạn tính, không liền xương hoặc thậm chí nguy cơ phải đoạn chi.
Chuyển vạt xương mác có cuống mạch – kỹ thuật vi phẫu đòi hỏi chuyên môn cao
Đây là một trong những kỹ thuật khó trong tạo hình xương, yêu cầu cao về cả chuyên môn và trang thiết bị hỗ trợ. Các bước chính của kỹ thuật bao gồm:
  • Lấy đoạn xương mác còn nguyên hệ thống mạch máu nuôi sống
  • Ghép vào vị trí xương chày bị mất đoạn
  • Vi phẫu nối mạch máu có kích thước siêu nhỏ dưới kính hiển vi để đảm bảo sự sống cho đoạn xương ghép
Ca mổ thành công – một bước tiến khẳng định trình độ kỹ thuật tại tuyến tỉnh
Ca phẫu thuật kéo dài nhiều giờ, đòi hỏi sự tập trung cao độ, kỹ năng vi phẫu chính xác đến từng milimet cùng sự phối hợp nhịp nhàng giữa nhiều chuyên khoa. Sau mổ, đoạn xương ghép được nuôi tốt, tiên lượng phục hồi vận động của chi rất khả quan.

Gãy hở mất đoạn xương đã được cố định ngoài
Gãy hở mất đoạn xương đã được cố định ngoài

Đoạn xương mác dài 12cm kèm cuống mạch
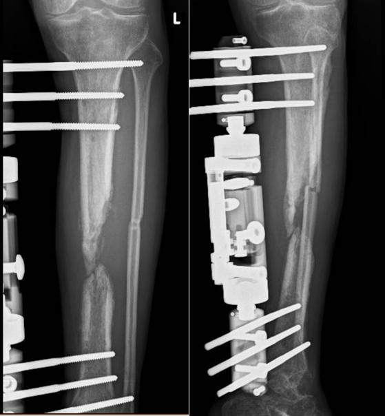
Hình XQ xương sau mổ và vạt da sống tốt sau 10 ngày
XQ xương sau mổ và vạt da sống tốt sau 10 ngày
Hình XQ xương sau mổ và vạt da sống tốt sau 10 ngày
Việc thực hiện thành công kỹ thuật chuyển vạt xương mác có cuống mạch tại BVĐK tỉnh Quảng Trị không chỉ thể hiện năng lực chuyên môn cao của đội ngũ bác sĩ, mà còn đánh dấu bước tiến trong việc tiếp cận và làm chủ các kỹ thuật phẫu thuật hiện đại ngay tại tuyến tỉnh. Đây cũng là hy vọng mới cho nhiều bệnh nhân chấn thương nặng có thể được điều trị hiệu quả mà không cần chuyển lên tuyến trung ương./.
Tác giả bài viết: BsCKI. Võ Ngọc Duy,  Khoa Ngoại Chấn thương - Bỏng

Tổng số điểm của bài viết là: 3 trong 3 đánh giá

Xếp hạng: 1 - 3 phiếu bầu

  Ý kiến bạn đọc

Album ảnh bệnh viện
Bạn đã không sử dụng Site, Bấm vào đây để duy trì trạng thái đăng nhập. Thời gian chờ: 60 giây
Gửi phản hồi