tin tuc

Lồng ruột non do u GIST

Thứ ba - 15/06/2021 22:06
Lồng ruột non do u GIST
 
I.Đặt vấn đề.
          U mô đệm đường tiêu hóa- Gastro Intestinal Stroma Tumor(GIST) là loại hay gặp nhất trong các u ác tính ở ruột non với tỷ lệ hàng năm là 1,2 trường hợp trên 1 triệu người[
2],[6] .Nó có nguồn gốc từ các tế bào kẽ Cajal, những tế bào có chức năng tạo ra nhu động ruột trong quá trình tiêu hóa thức ăn[7] .Sự phân bố của chúng ở ruột non như sau: 17.7% ở tá tràng, 47.6% ở hỗng tràng và 34.7% ở hồi tràng[6] . Chúng thường biểu hiện bởi các triệu chứng như: khối u vùng bụng, đau bụng, chảy máu hay tắc ruột. Chảy máu có thể rỉ rả với biểu hiện máu ẩn trong phân hay chảy máu nặng cần truyền máu. Lồng ruột và tắc ruột là các biểu hiện rất hiếm gặp của u Gist vì chúng có khuynh hướng phát triển ra phía ngoài lòng ruột[4],[6] . Bên cạnh đó lồng ruột ở người lớn cũng rất hiếm gặp, chúng chỉ chiếm 1% đến 5% các nguyên nhân gây tắc ruột và thường có nguyên nhân thực thể gây lồng ruột chứ không phải tự phát như ở trẻ em[3] . Chính vì vậy đây là một bệnh lý rất hiếm gặp.
          Bài viết này chúng tôi giới thiệu một trường hợp hiếm gặp, lồng hỗng hỗng tràng ở một bệnh nhân nam 51 tuổi gây ra bởi u gist hỗng tràng và xem xét lại cách tiếp cận chẩn đoán và điều trị lồng ruột do u gist.
II. Báo cáo ca bệnh
          Bệnh nhân nam, 51 tuổi, không có tiền sử bệnh lý gì đặc biệt, khởi bệnh cách nhập viện 12 giờ với đau bụng vùng thượng vị, quặn từng cơn. Kèm đau bệnh nhân có buồn nôn nhưng không nôn, có đại tiện 1 lần trong thời gian khởi bệnh.
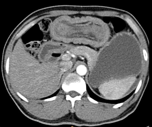
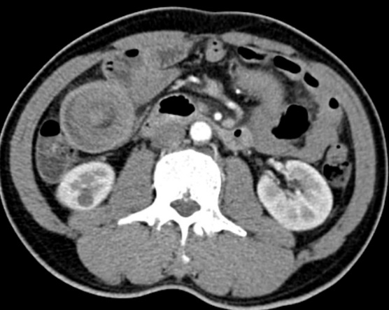
          Khám lâm sàng thấy:  Đau bụng vừng thương vị, bụng mềm, phản ứng thành bụng (-), mass mơ hồ vùng thương vị. Chụp Xquang bụng không chuẩn bị tư thế đứng (Không thấy liềm hơi dưới cơ hoành 02 bên, không thấy hình ảnh mức hơi dịch điển hình). Kết quả siêu âm bụng: Vùng thượng vị có hình ảnh búi lồng kích thước # 5,1x7,1x10,3 cm. Bệnh nhân được chỉ định chụp CT scanner ổ bụng kết quả: Hình ảnh lồng ruột non vùng thượng vị dài trên 30cm với hình ảnh bia bắn và bánh mỳ kẹp thịt(Hình 1 và 2).Xét nghiệm công thức máu có: Bạch cầu 6,8 G/L, neurophile 74%. Thiếu máu với Hb: 84g/l, Hct: 28%, MCV: 67,74 fl, 20,16 pg, Tiểu cầu: 291G/l.
Hình 1. Hình ảnh bia bắn
 
Hình 2. Hình ảnh bánh mỳ kẹp thịt
 
                Bệnh nhân được chẩn đoán: Lồng ruột non/ Thiếu máu nhược sắc, hồng cầu nhỏ và được chỉ định mổ cấp cứu. Mở bụng đường giữa trên rốn, vào ổ bụng thấy khối lồng hỗng-hỗng tràng dài khoảng 30 cm nằm ở vùng thượng vị. Khối lồng tương đối lỏng lẻo.
Hình 3. Hình ảnh khối lồng
 
Hình 4. Hình ảnh u gist gây lồng ruột
 
            Tháo lồng thấy đầu lồng là một khối u ruột non kích thước khoảng 3cm nghi ngờ u gist, mạc treo ruột tương ứng không thấy hạch (Hình 3 và 4). Tiến hành cắt đoạn hỗng tràng kèm u với sinh thiết lạnh diện cắt âm tính. Phục hồi lưu thông tiêu hóa bằng nối hỗng- hỗng tràng tận tận. Quá trình hậu phẫu thuận lợi, không xảy ra biến chứng gì, bệnh nhân xuất viện sau 7 ngày. Kết quả giải phẫu bệnh lý sau mổ: mô bệnh học phù hợp với u gist đường tiêu hóa typ tế bào hình thoi ở ruột non, nguy cơ cao(Hình. 5). Bệnh nhân được tái khám khoa ung bướu sau 1 tháng.
Hình 5. Hình ảnh vi thể
III. Bàn luận
          U ruột non cả lành tính lẫn ác tính đều rất ít gặp. U ác tính của ruột non chiểm khoảng hơn 1% các khối u ác tính đường tiêu hóa. Chúng bao gồm: ung thư tuyến, carcinoid, u lympho, các khối u nội tiết, ung thư di căn và u Gist. Trong đó u gist chiếm khoảng 13% và là loại u hay gặp nhất trong các khối u ác tính của ruột non. Do các biểu hiện mơ hồ của chúng nên chúng thường không được nghĩ đến trước phẫu thuật. Hậu quả là chẩn đoán bệnh lý này thường chậm trễ thậm chí bị bỏ qua. Chúng thường được chẩn đoán sau khi có kết quả giải phẫu bệnh của khối u được cắt bỏ bởi phẫu thuật và thường được phát hiện tình cờ khi thăm khám lâm sàng, chẩn đoán hình ảnh, nội soi đường tiêu hóa hay trong phẫu thuật. Nhưng rốt cuộc thì phần lớn các bệnh nhân đều có triệu chứng do bệnh tiến triển[
6] .
          U gist ruột non thường không có triệu chứng, đặc biệt là trong giai đoạn sớm và chúng thường không được nhận biết cho đến khi các triệu chứng trầm trọng xảy ra mà có thể gây nên các cấp cứu ngoại khoa. Mặc dù phát triển chậm, u gist có thể phát triển rất lớn trước khi gây ra các triệu chứng cơ năng và thực thể vì chúng có khuynh hướng đè đẩy các cấu trúc lân cận mà không xâm lấn[
3] . Ngoài ra chúng còn có thể di căn vào gan, phổi hay xương qua đường máu mà không qua các hạch bạch huyết[6],[7] .
          Gist có triệu chứng thường biểu hiện với các triệu chứng mơ hồ, và thường không đặc hiệu. Các triệu chứng hay gặp nhất bao gồm: khối u vùng bụng, chảy máu, sút cân, buồn nôn, nôn mửa và tắc ruột. Các triệu chứng này phụ thuộc vào kích cỡ và vị trí của khối u. Với các khối u nằm xa góc Treitz thường biểu hiện bởi các triệu chứng tắc ruột hay chảy máu. U gist có khuynh hướng phát triển ra ngoài lòng ruột nhưng cũng có thể ăn thủng lớp niêm mạc đường tiêu hóa gây chảy máu hay thiếu máu do chảy máu rỉ rả. Chúng cũng có thể vở vào ổ phúc mạc gây chảy máu ồ ạt. Ngoài những triệu chứng của khối u hay chảy máu, U gist còn gây lồng ruột hay tắc ruột[
6] . Trường hợp của chúng tôi là một trường hợp U gist không triệu chứng với biểu hiện ban đầu là lồng ruột. Thực ra khối u này đã có từ lâu gây chảy máu rỉ rả đường tiêu hóa, dẫn đến tình trạng thiếu máu nhược sắc, hồng cầu nhỏ. Nhưng u gist chỉ được chẩn đoán sau khi mổ giải quyết nguyên nhân gây lồng ruột và có kết quả giải phẫu bệnh lý.
          Lồng ruột chiếm khoảng 1%-5% các nguyên nhân gây tắc ruột ở người lớn. Biểu hiện lâm sàng của chúng là các triệu chứng của tắc ruột như: đau bụng cơn, buồn nôn hay nôn mửa, bí trung đại tiện hay táo bón, bụng chướng, có thể sờ thấy khối u vùng bụng. Chẩn đoán xác định bệnh lý này chủ yếu dựa vào các phương tiện chẩn đoán hình ảnh như siêu âm và CT với các hình ảnh đặc trưng như hình “bia bắn”, “bánh mỳ kẹp thịt”[
3] . Vì lồng ruột ở người lớn thường có các nguyên nhân thực thể mà hay gặp nhất là u ruột, vì vậycần thiết chụp CT scanner trong các trường hợp này. Điều cần nói là tại sao một khối u nằm ngoài lòng ruột lại có thể gây lồng ruột như trong trường hợp của chúng tôi. Có giả thuyết cho rằng: sự hiện hữu của một tổn thương dưới niêm mạc như u gist làm thay đổi nhu động ruột bình thường và đóng vai trò điểm dẫn đầu. Nhu động ruột sau đó sẽ tạo ra 1 vùng co thắt phía trên và dãn phía dưới tác nhân kích thích. Do đó gây lồng điểm dẫn vào đoạn ruột phía dưới[6] .
          Phẫu thuật cắt bỏ đoạn ruột kèm u là điều trị cơ bản trong lồng ruột do u gist. Tuy nhiên có 2 vấn đề đặt ra là có nên tháo lồng trước khi cắt hay không? Và có cần phải nạo vét hạch lympho trong phẫu thuật hay không?
          Weilbacher và cs cho rằng cắt bỏ ngay mà không tháo lồng là bắt buộc vì tỷ lệ cao các khối u ác tính gây lồng ruột. Họ cũng khẳng định rằng tháo lồng  có nguy cơ về lý thuyết là gieo rắc các tế bào ung thư trong lòng ruột hoặc huyết khối tĩnh mạch ở những vùng niêm mạc bị loét. Trái lại, cắt bỏ ngay cần phải cắt bỏ một đoạn ruột dài, nên Baig MKvà cs khuyến cáo nếu có thể thì nên tháo lồng nhẹ nhàng trước khi cắt để tránh cắt ruột quá mức cần thiết[
6] . Trong trường hợp của chúng tôi khối lồng lỏng lẻo nên được tháo lồng trước khi cắt nên chỉ phải cắt một đoạn ruột ngắn.
          Di căn gan và bề mặt phúc mạc là hai vị trí thường gặp trong u gist. Tuy nhiên di căn thường theo đường máu, hiếm khi theo đường bạch huyết nên các hạch lympho thường âm tính với tế bào ung thư. Agaimy và cs[
1] khảo sát trên 699 bệnh nhân có u gist  cho thấy tỷ lệ di căn hạch là 1%. Chính vì vậy nạo vét hạch không được chỉ định thường quy. Thủ thuật này nên được làm khi có nghi ngò di căn hạch (thấy hạch lớn). Naguib và cs[4] báo cáo 19 trường hợp u gist dạ dày, trong đó có 5 trường hợp nạo vét hạch vì lý do hạch lớn. Không có trường hợp nào dương tính với tế bào ung thư. Trong trường hợp của chúng tôi hạch mạc treo không lớn và chúng tôi không nạo vét hạch.
IV. Kết luận
          Đây là một trường hợp rất hiếm gặp. Một nguyên nhân ác tính hiếm gặp của bệnh lý lồng ruột ở người lớn cũng hiếm gặp. Việc chẩn đoán xác định nguyên nhân trước mổ là khó khăn. Nó được chỉ định mổ vì lý do lồng ruột và xác định nguyên nhân sau khi có kết quả giải phẫu bệnh lý.
TÀI LIỆU THAM KHẢO
1. Amin Shafizad et all (2014), “Lymph Node Metastasis in Gastrointestinal Stromal Tumor (GIST): to Report a Case”, Iranian Journal of Cancer Prevention, 7(3), pp:171-174.
2. Crosby J.A.et all (2001), “Malignant gastrointestinal stromal tumors of the
small intestine: a review of 50 cases from a prospective database”,  Ann Surg Oncol, 8(1), pp:50-99.
3. Nagorney D.M., Sarr M.G., Mcllrath D.C. (1981),  “Surgical management of
intussusception in the adults” , Ann Surg, 193(2), pp:230-236.
4. Naguib S.F.et all (2008),” Gastrointestinal stromal tumors (GIST) of the stomach: retrospective experience with surgical resection at the National Cancer Institute”,J Egypt Natl Canc Inst,20(1), pp:80-9.
5. Pidhorecky I (2000), “Gastrointestinal Stromal Tumors: Current Diagnosis, Biologic Behavior, and Management”, Annals of Surgical Oncology,7(9), pp:705–712.
6. Vasiliadis K. (2008), “ Ileoileal intussusception induced by a gastrointestinal stromal tumor”, World Journal of Surgical Oncology, 6:133.
7. Wünsch A.A.(2009),“Lymph node metastasis in gastrointestinal stromal tumours (GIST) occurs preferentially in young patients < or = 40 years: an overview based on our case material and the literature”,Langenbecks Arch Surg, 394(2), pp:375-81.


 

Tác giả: Phan Khánh Việt, Nguyễn Hoàng Nam,Hoàng Công Trung

Tổng số điểm của bài viết là: 2 trong 2 đánh giá

Xếp hạng: 1 - 2 phiếu bầu

  Ý kiến bạn đọc

Những tin mới hơn

Những tin cũ hơn

Album ảnh bệnh viện
Bạn đã không sử dụng Site, Bấm vào đây để duy trì trạng thái đăng nhập. Thời gian chờ: 60 giây
Gửi phản hồi