tin tuc

Nhiễm giun Lươn Strongyloides Stercoralis

Thứ ba - 06/04/2021 04:57
Nhiễm giun Lươn Strongyloides Stercoralis
1. LỊCH SỬ
Nhiễm giun lươn Strongyloides stercoralis được biết đến lần đầu tiên vào năm 1876, do bác sỹ Louis Normand phát hiện được ở một số bệnh nhân từng là  lính viễn chinh Pháp đã cư trú tại Miền Nam Việt Nam có tiêu chảy kéo dài, Normand đã tìm thấy trong phân của họ một loại giun chưa từng được mô tả trước đó, và đã được xác định như là tác nhân gây bệnh “ỉa chảy Nam kỳ”. Phát hiện này đã được mô tả chi tiết và báo cáo lên viện Hàn Lâm khoa học Pháp, sau đó được xuất bản vào ngày 31 tháng 7 năm 1876. Đầu tiên, Normand đặt tên cho loài này là Anguillula stercoralis (Anguillula: con lươn, stercus: phân). Sau đó ông cũng tìm thấy giun lươn đường ruột trong những mẫu sinh thiết ruột và đường mật trên những bệnh nhân chết vì tiêu chảy ở Đông Dương. Phát hiện này sau đõ cũng được nhiều tác giả khác xác nhận.
Bác sỹ Louis Normand
1789 – 1874
Năm 1878, Grassi và cộng sự đã tìm thấy dạng trưởng thành của giun lươn sống trong ruột non và đẻ trứng, nở ra ấu trùng có hình dạng giống như Normand đã mô tả và đặt tên là Strongyloides intestinalis.
Năm 1902, Still và Hassal đã điều chỉnh tên loài này là Strongyloides stercoralis.
Đến năm 1915, Hội đồng Danh mục Quốc tế về tên động vật đã thông qua tên Strongyloides stercoralis cho giun lươn.
2. DỊCH TỄ
Nhiễm giun lươn đường ruột Strongyloides stercoralis là bệnh đứng thứ tư trong các bệnh nhiễm giun đường ruột quan trọng trên toàn thếgiới. Mặc dù không có được số liệu chính xác nhưng ước tính hiện nay Strongyloides stercoralis gây ảnh hưởng đến khoảng 30 – 100 triệu người trên toàn thế giới chủ yếu ở các vùng nhiệt đới và cận nhiệt đới như Đông Nam Á (trong đó có Việt Nam), châu Phi, châu Mỹ Latin cận Sahara và một phần của miền Đông Nam Hoa Kỳ.
Bản đồ phân bố địa lý của nhiễm giun lươn
 
Tần suất giun lươn Strongyloides stercoralis ở một số quốc gia đang phát triển
3. PHÂN LOẠI
Giun lươn Strongyloides stercoralis, là loài giun tròn thuộc chi Strongyloides, họ Strongyloididae, bộ Rhabditida. Chi Strongyloides có hơn 50 loài, nhưng hầu hết không gây bệnh ở người.
4. ĐẶC ĐIỂM SINH HỌC
Hình ảnh Giun cái trưởng thành S.stercoralis sống tự do
Hình ảnh Giun đực trưởng thành S.stercoralis tự do
(mũi tên đỏ chỉ gai sinh dục)
Hình ảnh Ấu trùng dạng R của S.stercoralis tìm thấy trong phân
(mũi tên đỏ chỉ bộ phận sinh dục)
Ấu trùng dạng F của S.stercoralis trong phân
5. VÒNG ĐỜI
Sơ đồ biểu diễn vòng đời của giun lươn

6. CƠ CHẾ BỆNH SINH
Tổn thương ống tiêu hóa:Tổn thương tại ống tiêu hóa do giun lươn xảy ra trên tất cả các đoạn của ống tiêu hóa (thực quản, dạ dày, ruột non, đại tràng) với các mức độ tổn thương khác nhau.
Tổn thương ở ruột non: Ruột non là nơi giun trưởng thành sống kí sinh. Tổn thương tại ruột non được chia làm 3 mức độ viêm ruột xuất tiết, viêm ruột phù nề và viêm loét niêm mạc.
Tổn thương ở đại tràng: Ấu trùng giun lươn từ ruột non, xuống đại tràng và theo phân ra ngoài. Khi đi qua đại tràng, giun lươn gây nên các tổn thương đại tràng mạn tính từ viêm đại tràng, loét, sa ruột mạn tính, viêm ruột xuất huyết và xuất huyết tiêu hóa dưới nặng. Sự hình thành ổ loét ở đại tràng phổ biến hơn ở ruột non gây nên tình trạng có máu trong phân.
Tổn thương thực quản, dạ dày: Thường gặp tổn thương dạ dày khi ấu trùng giun lươn di chuyển qua dạ dày tới ruột non hoặc trong nhiễm giun lươn nặng lan tỏa. Biểu hiện viêm tại chỗ tại dạ dày có thể từ không có sự đáp ứng đến có sự thâm nhiễm tế bào và u hạt xung quanh, nặng hơn có thể thấy mất niêm mạc, xung huyết, xuất huyết, hoại tử. Khi thấy tổn thương dạ dày thường tìm thấy giun lươn và tổn thương do giun lươn tại thực quản.
Tổn thương ở da
Tổn thương da đặc hiệu do giun lươn là tổn thương viêm da liên quan đến sự di trú của ấu trùng ở da, nhưng thường khó tìm thấy ấu trùng giun lươn khi sinh thiết tổn thương da, thường chỉ thấy trên những cơ địa suy giảm miễn dịch.
Ngoài ra tổn thương da do giun lươn còn có thể biểu hiện ngứa, phát ban, mày đay, viêm da, phù nề, xuất huyết.
Tổn thương các hệ cơ quan
Tổn thương hệ hô hấp: Tổn thương hệ hô hấp do giun lươn tương đối đa dạng, từ không có tổn thương và không có sự phá hủy nhu mô phổi, đến xung huyết, thâm nhiễm phế nang, xuất huyết vi thể, xuất huyết ồạt.
Tổn thương hệ gan mật: Ít khi có tổn thương gan mật trong nhiễm giun lươn, thường gặp trên những bệnh nhân nhiễm giun lươn nặng lan tỏa. Tổn thương có thể là viêm tại chỗ được bao quanh bởi các tế bào đơn nhân, hoặc tìm thấy ấu trùng giun lươn trong đường mật, tĩnh mạch cửa, hoặc mảnh mô giun được bao bọc bởi tế bào học.
Tổn thương hệ sinh dục - tiết niệu: Trong đường tiết niệu, giun lươn tìm thấy trong nhu mô thận với biểu hiện thâm nhiễm nhiều tế bào viêm và trong bàng quang. Trong hệ sinh dục, người ta đã tìm thấy giun lươn trong dịch phết cổ tử cung âm đạo trên người phụ nữ khỏe mạnh và trong tinh dịch của bệnh nhân nam giới vô sinh.
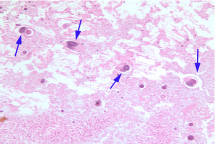
Tổn thương thần kinh trung ương: Tại màng não, tổn thương thường biểu hiện viêm màng não do vi khuẩn. Trong nhu mô não, giun lươn có thể được tìm thấy trong chất trắng và quanh các mạch máu, thường được bao quanh bởi vùng mô có thoái hóa myelin, bạch cầu đơn nhân có thể tạo nên các u hạt.
7. MIỄN DỊCH HỌC TRONG NHIỄM GIUN LƯƠN
Đáp ứng miễn dịch tế bào
Sự gia tăng bạch cầu ái toan trong máu ngoại vi.Tuy nhiên bạch cầu ái toan có thể không tăng khi giun lươn đã trưởng thành và cư trú trong các mô.
Đáp ứng miễn dịch dịch thể
Kháng thể IgG: IgG là kháng thể của cơ thể chống lại kháng nguyên của ấu trùng dạng filariform của giun lươn, xuất hiện sớm, tồn tại kéo dài khi cơ thể còn nhiễm giun lươn. Khi điều trị đặc hiệu đạt kết quả diệt hoàn toàn giun lươn trong cơ thể, kháng thể IgG giảm dần và mất sau 6 – 12 tháng.
Kháng thể IgM: Trong nhiễm giun lươn kháng thể IgM xuất hiện sớm, giảm dần và không phát hiện được trong máu sau giai đoạn nhiễm cấp.
Kháng thể IgA: Hiện nay chưa rõ sự xuất hiện và vai trò của IgA trong nhiễm giun lươn. Kháng thể IgA được xác định bằng kỹ thuật ELISA
Kháng thể IgE tăng cao đáng kể trong huyết thanh người bệnh nhiễm giun lươn với tỉ lệ dao động từ 50 – 90% các trường hợp
8. LÂM SÀNG
Nhiễm giun lươn cấp tính: Nhiễm giun lươn cấp tính là giai đoạn mới nhiễm, ấu trùng di trú từ da vào các cơ quan nội tạng trong cơ thể người, biểu hiện bởi triệu chứng ngoài da, triệu chứng hô hấp và tiêu hóa.
Nhiễm giun lươn mạn tính: Nhiễm giun lươn mạn tính là giai đoạn giun lươn đã tồn tại một thời gian dài tại các cơ quan nội tạng trong cơ thể người, thường không có triệu chứng.
Nhiễm giun lươn nặng(hội chứng tăng nhiễm - hyperinfection):Ấu trùng tăng lên về số lượng nhưng vẫn khu trú tại các cơ quan thường tham gia vào chu trình tự nhiễm (như đường tiêu hóa, phúc mạc, hô hấp).
Nhiễm giun lươn lan tỏa (disseminated strongyloidiasis): Nhiễm giun lươn lan tỏa là biểu hiện thể hiện sự di chuyển của ấu trùng giun lươn đến các cơ quan ngoài phạm vi của chu trình tự nhiễm.
* Nhiễm giun lươn có biểu hiện tại đường ruột
  • Chán ăn, sụt cân .
  • Đau bụng từng cơn vùng thượng vị và hạ sườn phải, hoặc đau quặn mạn tính .
  • Buồn nôn và nôn.
  • Rối loạn đại tiện: táo bón hoặc tiêu chảy kéo dài hoặc táo bón xen kẽ tiêu chảy .
  • Ngứa thường gặp, nổi mề đay vùng da quanh hậu môn.
  • Nặng hơn có thể gặp: nôn nhiều, đau bụng dữ dội, xuất huyết tiêu hóa, viêm ruột (ruột non, đại tràng), viêm loét dạ dày-ruột chảy máu .
  • Một số biểu hiện khác cũng đã được ghi nhận như tắc ruột (kể cả tắc ruột non), suy dinh dưỡng do mất protein, hạ kali máu và các rối loạn điện giải khác.
  • Các triệu chứng trên có thể xuất hiện đơn độc hoặc phối hợp với nhau trên một bệnh nhân với tần suất không giống nhau
* Nhiễm giun lươn nặng lan tỏa
Biểu hiện ngoài da: ấu trùng di chuyển trên da vùng bụng, đùi, mông tạo các vệt hồng ban tồn tại trong thời gian ngắn, xuất hiện từng đợt (đặc trưng), ngứa, phát ban, nổi mày đay (mạn tính hay cấp tính), chấm mảng xuất huyết trên da (thường xuất hiện vùng quanh rốn). Trong nhiễm giun lươn nặng, tình trạng viêm mạch và rối loạn đông máu nội mạch rải rác cũng đã được báo cáo.
Biểu hiện hô hấp: đa dạng, thay đổi tùy từng bệnh nhân, từ ho khan hoặc có đờm kéo dài, ho ra máu, thở khò khè, khàn tiếng, đau tức ngực, khó thở. Trong trường hợp nặng có thể có suy hô hấp, nhiễm kiềm hô hấp đặc biệt có thể mắc hội chứng suy hô hấp cấp tiến triển (ARDS); xung huyết, xuất huyết khí phế quản, phế nang.
Biểu hiện hệ thần kinh trung ương: thường gặp các triệu chứng của hội chứng màng não như rối loạn ý thức, đau đầu, Kernig, cứng gáy, chọc dịch não tủy thể hiện viêm màng não nước trong . Có thể gặp động kinh, hạ natri máu, hoặc có thể biểu hiện viêm màng não vi khuẩn, áp xe não do giun lươn mang vi khuẩn Gram âm và yếm khí lên não.
9. CÁC YẾU TỐ NGUY CƠ NHIỄM GIUN LƯƠN
Nhiễm giun lươn, đặc biệt là các trường hợp nhiễm giun lươn nặng và lan tỏa thường xảy ra trên các cơ địa suy giảm miễn dịch.
Sử dụng các thuốc ức chế miễn dịch
- Sử dụng corticoids
- Sử dụng các thuốc ức chế miễn dịch: cycloporin, hóa chất điều trị ung thư
Suy giảm miễn dịch, đặc biệt là miễn dịch tế bào
Ghép tạng
Các bệnh mạn tính
- Đái tháo đường.
- Các bệnh lý tiêu hóa mạn tính, sử dụng các thuốc ức chế bơm proton hoặc ức chế thụ thể H2 kéo dài, cắt dạ dày.
- Bệnh thận giai đoạn cuối.
- Bệnh phổi mạn tính: bệnh phổi tắc nghẽn mạn tính, hen phế quản, bệnh xơ phổi...
- Bệnh hệ thống ( lupus ban đỏ hệ thống,..), bệnh lý hệ tạo keo.
Các yếu tố khác
- Suy dinh dưỡng và bệnh lý kém hấp thu.
- Yếu tố cá thể: tuổi cao, có sử dụng rượu thường xuyên.
- Điều kiện kinh tế xã hội yếu kém.
- Làm ruộng hoặc nghề có tiếp xúc với ruộng đất.
- Những người đi du lịch tới vùng dịch tễ.
9. CHẨN ĐOÁN
Do không có triệu chứng đặc hiệu, chẩn đoán nhiễm giun lươn phải được đặt ra ở tất cả các bệnh nhân có những triệu chứng lâm sàng gợi ý, bao gồm đau bụng, tiêu chảy, nổi mề đay; đặc biệt trên các bệnh nhân có yếu tố nguy cơ (suy giảm miễn dịch, sử dụng corticoids kéo dài,...). cùng với xét nghiệm tế bào máu ngoại vi có tăng bạch cầu ái toan cần được làm các xét nghiệm để chẩn đoán xác định nhiễm giun lươn.
  • Tìm giun lươn trong phân
  • Soi phân trực tiếp
  • Kỹ thuật tập trung Baermann: ngâm phân và nước ấm trong 3 – 5 giờ đểấu trùng giun lươn từ phân tập trung trong nước, mở kẹp ống cho nước chảy xuống tách khỏi phân, lấy lượng nước thu được đem quay ly tâm rồi soi dưới kính hiển vi tìm ấu trùng giun lươn
  • Tìm giun lươn trong cơ thể
  • Soi dịch dạ dày
  • Soi đờm hoặc dịch hút phế quản
  • Soi các dịch khác: dịch ổ bụng, dịch màng phổi, dịch não tủy, nước tiểu
  • Xét nghiệm huyết thanh học
  • Phản ứng huyết thanh miễn dịch men ELISA : Phương pháp phát hiện kháng thể IgG với kháng nguyên của ấu trùng filariform trong cơ thể
  • Kỹ thuật ngưng kết hạt gelatin gián tiếp
  • Kỹ thuật miễn dịch huỳnh quang
  • Kỹ thuật miễn dịch kết tủa
  • Ở Việt Nam hiện nay sử dụng phương pháp ELISA trong chẩn đoán giun lươn.
10. MÔ BỆNH CHỌC CHẨN ĐOÁN GIUN LƯƠN
Hình ảnh ấu trùng S. stercoralis từ mảnh sinh thiết ruột non
Hình ảnh giun cái S. stercoralis trong ruột non
11. ĐIỀU TRỊ
11.1. Điều trị nhiễm giun lươn đường ruột
  • Ivermectin
- Người lớn và trẻ em ≥ 2 tuổi: 200 µg/kg cân nặng/ ngày × 2 ngày (uống trước ăn hoặc sau ăn 2 giờ), có thể lặp lại sau 14 ngày.
- Trẻ em dưới 2 tuổi: 200 µg/ ngày × 2 ngày (uống).
  • Albendazol
-  Người lớn và trẻ em ≥ 2 tuổi: 400 mg/ngày/lần × 2 lần/ ngày × 3 ngày (uống sau ăn). Ðiều trị có thể lặp lại sau 3 tuần.
- Trẻ em < 2 tuổi: 15 mg/kg cân nặng/lần × 2 lần/ ngày × 3 ngày (uống sau ăn). Ðiều trị có thể lặp lại sau 3 tuần.
11.2. Điều trị nhiễm giun lươn nặng lan tỏa
Điều trị đặc hiệu
-Ivermectin: thời gian điều trị phụ thuộc vào lâm sàng, ivermectin được dùng duy trì đến khi hết các triệu chứng lâm sàng và xét nghiệm phân hàng ngày âm tính kéo dài ít nhất trong 2 tuần (thời gian cho một chu trình tự nhiễm của giun lươn) hoặc có thể kéo dài hơn trong các trường hợp suy giảm miễn dịch
-Albendazol: liều 400 mg/ngày/lần × 2 lần/ ngày (uống sau ăn) kéo dài ít nhất 7-10 ngày.
  • Kháng sinh phổ rộng theo kinh nghiệm để điều trị các vi khuẩn gram âm đường tiêu hóa nên được sử dụng.
  • Nâng cao dinh dưỡng bằng đường tiêu hóa và/hoặc tĩnh mạch, trong đó có bổ sung albumin là cần thiết trong các trường hợp nhiễm giun lươn nặng lan tỏa
  • Cân bằng dịch vào ra, xử lý các rối loạn điện giải.
  • Xử lý các rối loạn hô hấp kịp thời và hợp lý.
  • Cần xét nghiệm lại phân, đờm, soi dạ dày, công thức máu, albumin máu, protein, điện giải... trong quá trình điều trị và ngay sau khi kết thức liệu trình điều trị đặc hiệu để đánh giá đáp ứng điều trị.
  • Cần theo dõi và kiểm tra phân định kỳ kéo dài 1 năm sau khi kết thúc điều trị để phát hiện và xử trí nếu có tái nhiễm.
  • Khi điều trị thành công, IgG trong máu sẽ  giảm dần và biến mất sau 6-12 tháng, việc xét nghiệm ELISA  trong 1 - 2 năm sau điều trị là cần thiết để theo dõi đáp ứng điều trị
  • Bạch cầu ái toan cao dai dẳng trong máu sau khi điều trị phản ánh tình trạng thất bại điều trị, tuy nhiên cũng có thể bạch cầu ái toan tăng cao do nhiễm một loại ký sinh trùng khác hoặc một căn nguyên khác.
12. DỰ PHÒNG
  • Tránh để da tiếp xúc trực tiếp với đất bẩn bao gồm không đi chân đất, bảo hộ lao động khi làm nông nghiệp hoặc làm nghề có tiếp xúc với đất.
  • Xử lý phân người, nước thải thích hợp.
  • Kiểm soát bệnh lý mạn tính.
  • Theo dõi, phát hiện và điều trị kịp thời các bệnh nhiễm trùng cấp tính và các yếu tố nguy cơ đặc biệt là trên các đối tượng suy giảm miễn dịch có sử dụng corticoids.
  • Cần đánh giá và điều trị nhiễm giun lươn trước khi điều trị corticoids, các thuốc ức chế miễn dịch khác
  • Hiện không có vắc-xin phòng nhiễm giun lươn.

Tác giả: Bs. Nguyễn Hữu Nghĩa – Khoa Bệnh Nhiệt đới

Tổng số điểm của bài viết là: 0 trong 0 đánh giá

  Ý kiến bạn đọc

Những tin mới hơn

Những tin cũ hơn

Album ảnh bệnh viện
Bạn đã không sử dụng Site, Bấm vào đây để duy trì trạng thái đăng nhập. Thời gian chờ: 60 giây
Gửi phản hồi