I. Giới thiệu.Theo số liệu của hội đột qụy thế giới, cứ 6 người sẽ có 1 người bị đột qụy. Tàn tật, sa sút trí tuệ, tử vong là những hậu quả nặng nề nhất của đột qụy. Ở Việt Nam, mỗi năm có 200.000 người bị đột qụy, tỷ lệ tử vong do đột quỵ ở nam giới là 18% và ở nữ giới là 23%.Có rất nhiều yếu tố nguy cơ gây đột qụy não, bao gồm: - Yếu tố không thay đổi được: tuổi, giới ,chủng tộc, di truyền.- Yếu tố nguy cơ thay đổi được: tăng huyết áp, đái tháo đường, rối loạn lipid máu, hút thuốc lá , rượu, uống thuốc ngừa thai, điều trị hormon thay thế…- Yếu tố bảo vệ: chế độ ăn, hoạt động thể chất.Những năm gần đây tỉ lệ mới mắc và tái phát đang có xu hướng tích cực, nhiều đột quỵ vẫn có thể ngăn ngừa được do đó việc dự phòng các yếu tố nguy cơ chính có thể thay đổi như tăng huyết áp, đái tháo đường, hút thuốc lá và tăng lipid máu, cũng như các yếu tố về lối sống, chẳng hạn như béo phì, chế độ ăn uống / dinh dưỡng kém và không hoạt động thể chất… là rất cần thiết.
II. Các yếu tố nguy cơ của đột quỵ .
A) Các yếu tố không thay đổi được: tuổi , giới.
- Nhìn chung tỉ lệ đột qụy gia tăng theo tuổi ( đa số gặp trên 45 tuổi) và gặp ở nam nhiều hơn nữ.
Prevalence of stroke by age and sex.( 2015 American Heart Association)B) Các yếu tố nguy cơ thay đổi được.
1.Tăng huyết áp
Tăng huyết áp là yếu tố nguy cơ có thể thay đổi phổ biến nhất đối với đột quỵ. Vậy huyết áp mục tiêu tối ưu để phòng ngừa đột qụy là bao nhiêu?
Theo AHA/ASA về dự phòng đột quỵ các khuyến cáo bắt đầu điều trị huyết áp cho bệnh nhân có huyết áp từ 140/90 trở lên hoặc điều trị lại đối với bệnh nhân tăng huyết áp khi kiểm soát huyết áp chưa đạt mục tiêu và việc điều trị đa phần sẽ được bắt đầu vài ngày sau khởi phát đột quỵ. Mục tiêu cụ thể được cá nhân hóa, nhưng mục tiêu hợp lý là dưới 140/90 mm Hg và đối với những người bị đột quỵ lổ khuyết huyết áp tâm thu mục tiêu dưới 130 mm Hg.
Lựa chọn thuốc phối hợp điều trị:Kết hơp với chế độ ăn, lối sống: giới hạn dùng muối(<6g/ngày), chế độ ăn nhiều rau củ quả và ít béo bảo hòa( mỡ động vật), giảm cân nếu thừa cân, ngưng thuốc lá…
2. Rối loạn lipid máu
Việc đánh giá và điều trị hạ lipid máu là một phần quan trọng trong quản lý đột quỵ.vai trò của statin trong điều trị đã được chứng minh, statin có khả năng làm giảm cholesterol từ 50% trở lên (statin có hiệu lực cao) hoặc từ 30% đến 50% (statin có hiệu lực trung bình). Đối với bệnh nhân nhồi máu não thì mức LDL-C trong máu tối ưu là nhỏ hơn 1g/l.
3. Đái tháo đường
Đái tháo đường làm tăng nguy cơ mắc đột qụy não từ 2- 6,5 lần, tăng tỷ lệ tử vong lên 2 lần. Đường máu của người bình thường 3,9-6,0mmol/l. Triệu chứng biểu hiện bệnh đái tháo đường giai đoạn sớm thường rất mờ nhạt hoặc hầu như không có gì. Một tỷ lệ nhỏ bệnh nhân có biểu hiện ăn nhiều, uống nhiều, gầy sút cân nhanh do vậy mọi người cần định kỳ khám, xét nghiệm kiểm tra đường máu.
Hội chứng chuyển hóa là một yếu tố nguy cơ của đột qụy, nó bao gồm tăng huyết áp, đái tháo đường, tăng chu vi vòng bụng và rối loạn lipid. Tỉ lệ mắc hội chứng chuyển hóa rất khó xác định do các định nghĩa và sự thay đổi theo sắc tộc. Hội chứng chuyển hóa làm tăng nguy cơ đột qụy 1,5 đến 23 lần ở phụ nữ và thay đổi từ nguy cơ không đáng kể sang nguy cơ gấp sáu lần ở nam giới.
4. Hút thuốc lá
Sử dụng thuốc lá là một yếu tố nguy cơ đáng kể đối với đột qụy . Những người hút thuốc lá có tăng độ dày nội mạc thành mạch hơn 50% so với những người không hút thuốc lá. Những người hút thuốc hiện tại có ít nhất nguy cơ đột quỵ gấp đôi so với người không hút thuốc và điều này đã được thấy ở các nghiên cứu trên nhiều nhóm tuổi và dân tộc. Ngưng thuốc lá “không bao giờ là quá muộn” đối với những bệnh nhân bị nhồi máu não.
5. Rung nhĩ và tai biến mạch máu não
Rung nhĩ là loạn nhịp đặc trưng bởi hoạt động điện rất nhanh và hỗn loạn trong nhĩ trái gây nên: nhịp nhanh và không đều của tâm thất, mất chức năng cơ học của tâm nhĩ, tăng nguy cơ hình thành cục huyết khối. 
Rung nhĩ là yếu tố nguy cơ chính gây đột qụy. Nguy cơ đột quỵ hàng năm ở bệnh nhân rung nhĩ không điều trị dư phòng huyết khối là 5% ( tăng lên khi số lượng yếu tố nguy cơ tăng lên). Một trong những quyết định quan trọng nhất đối với bệnh nhân rung nhĩ là bệnh nhân có được chỉ định điều trị thuốc chống đông máu (CHA2DS2VASc, HAS-BLED).
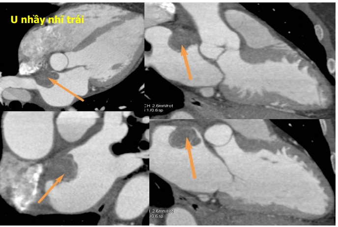
Ngoài ra còn một số căn nguyên đột quỵ do tim ít gặp hơn rung nhĩ như : còn lỗ bầu dục, sa vale 2 lá, u nhầy ở tim, viêm nội tâm mạc nhiễm trùng. 

Nhìn chung: Quản lý các yếu tố nguy cơ mục tiêu cuối cùng là giảm nguy cơ đột qụy và đột quỵ tái phát. Một mô hình toàn diện về quản lý yếu tố nguy cơ cho thấy rằng nếu những người bị đột quỵ ban đầu hoặc TIA thực hiện năm chiến lược phòng ngừa đã được chứng minh, bao gồm sửa đổi chế độ ăn uống, tập thể dục, aspirin, statin và thuốc chống tăng huyết áp, nó có thể giảm các biến cố mạch máu đến 80%.
Tài liệu tham khảo:
1. Cerebrovascular Disease, Volume 23, Issue 1 (February 2017) (Kevin M. Barrett, MD, MSc, Guest Editor…)
2. Mozaffarian D, Benjamin EJ, Go AS, et al. (2016), “Heart Disease and Stroke Statistics-2016 Update: a report from the American Heart Association”, Circulation.
3. Guidelines for the Early Management of Patients With Acute Ischemic Stroke: A Guideline for Healthcare Professionals From the American Heart Association/American Stroke Association (2018)
4. Tài liệu hội đột quỵ Việt Nam.