tin tuc

Xử trí răng vĩnh viễn rơi khỏi ổ răng

Thứ ba - 14/04/2020 22:18
Xử trí răng vĩnh viễn rơi khỏi ổ răng
I. Đại cương
     Chấn thương răng là một tình huống lâm sàng khá phổ biến trên thực tế. Chấn thương răng có thể gặp ở mọi đối tượng, mọi lứa tuổi và xảy ra do nhiều nguyên nhân khác nhau. Nguyên nhân thường gặp là do tai nạn giao thông, tai nạn lao động, tai nạn sinh hoạt hoặc sang chấn khi ăn nhai,…
Theo Hiệp hội Chấn thương răng Quốc tế, chấn thương răng xảy ra với tần suất ở trẻ em trước tuổi đi học, trẻ em tuổi đi học và người trẻ chiếm 5% tất cả các chấn thương. Một đánh giá 12 năm theo y văn báo cáo rằng, 25% học sinh có chấn thương răng và 33% người trưởng thành đã từng bị chấn thương ở bộ răng vĩnh viễn.
Rơi răng vĩnh viễn khỏi ổ răng chiếm tỉ lệ từ 0,5 - 3% tất cả các loại chấn thương răng. Nhiều nghiên cứu cho rằng đây là một trong những loại chấn thương răng nghiêm trọng và tiên lượng phụ thuộc rất nhiều vào cách xử trí tức thì tại nơi xảy ra tai nạn và sau khi răng rơi ra khỏi ổ.
     Cắm  lại răng vào xương ổ là điều trị được lựa chọn trong mọi tình huống, nhưng không phải lúc nào cũng thực hiện được ngay lập tức. Việc xử trí cấp cứu và kế hoạch điều trị thích hợp rất quan trọng để cho tiên lượng tốt. Cũng có một số trường hợp cá biệt không có chỉ định cắm lại răng vào xương ổ (Ví dụ: như sâu răng nặng, bệnh nha chu, bệnh nhân không hợp tác, các bệnh lý toàn thân nghiêm trọng như tình trạng ức chế miễn dịch…), cần được xử  trí  theo cách riêng. Cắm  lại răng vào xương ổ có  thể  thành công,nhưng cần biết rằng một số răng sau điều trị có thể không tồn tại lâu dài và thậm chí có thể bị nhổ bỏ sau này.
II. Sơ cứu răng rơi khỏi ổ răng tại nơi xảy ra tai nạn
     Răng vĩnh viễn rơi khỏi ổ là một trong số ít những trường hợp cấp cứu thực sự trong nha khoa. Ngoài việc nâng cao ý thức thì bệnh nhân  nên tìm hiểu thông tin để biết cách xử trí sau những chấn thương nghiêm trọng bất ngờ này.
Cắm lại răng tức thì tại nơi xảy ra tai nạn là điều trị tốt nhất. Nếu vì một lý do nào đó không thể thực hiện được, có những giải pháp thay thế như sử dụng nhiều loại môi trường bảo quản răng khác nhau.

Bảng 1. Các phương pháp bảo quản răng khi rơi ra khỏi ổ
 
Bảo quản Thuận lợi Bất lợi
Nước muối sinh lý Tương hợp với tế bào quanh chân răng gãy Bảo quản ,không nuôi dưỡng tế bào
Sữa tươi Tương hợp tốt Phải sạch và lạnh
Chỉ có tác dụng trong 2-3h
Phải giữ lạnh trong lúc bảo  quản và vận chuyển
Nước sạch Dễ tìm Dể gây phân hủy tế bào
Nước bọt Tiện lợi Có chứa vi khuẩn trong nước bọt
Phân hủy tế bào

     Nếu như răng đã rơi ra khỏi ổ, phải chắc chắn đó là răng vĩnh viễn (không nên cắm lại răng sữa)
     •  Giữ bình tĩnh cho bệnh nhân.
     •  Tìm lại răng và nhặt lên bằng cách nắm vào thân răng (phần màu trắng). Tránh chạm vào chân răng.
     •  Nếu răng bị bẩn, rửa sơ dưới vòi nước chảy (tối đa 10 giây) và cắm lại vị trí cũ. Một khi đã cắm lại răng vào vị trí thì giữ yên răng đúng vị trí.
     •  Nếu không làm được hay vì những lý do khác mà không thể cắm lại răng vào ổ răng (ví dụ như bệnh nhân bất tỉnh), cho răng vào một ly sữa hay vào một môi trường bảo quản thích hợp và mang theo cùng với bệnh nhân đến cơ sở y tế. Nếu bệnh nhân còn tỉnh, có thể bảo quản răng trong miệng bằng cách giữ răng bên trong môi hoặc má (trừ bệnh nhi còn quá nhỏ, Trẻ có thể nuốt luôn răng đã rơi)
     •  Đến ngay cơ sở y tế.

 
Hình 1. Các bước cần tiến hành khi răng rơi ra ngoài
1. Nhặt chiếc răng rơi và cầm ở phần thân răng
2. Nếu răng rơi chổ bẩn, rữa nhẹ dưới vòi nước để loại bỏ chất bẩn
3. Đặt răng vào ổ răng càng sớm càng tốt
4. Nếu không gắn lại được, bảo quản răng trong ly sữa, hoặc nước muối sinh lý
5. 30 phút là thời gian lý tưởng để gắn lại răng thành công kể từ khi xảy ra tai nạn.

III. Điều trị răng vĩnh viển rơi khỏi ổ răng
     Lựa chọn điều trị liên quan đến sự trưởng thành của chân răng (răng đã đóng chóp hay chưa) và tình trạng của các tế bào dây chằng nha chu. Tình trạng của các tế bào phụ thuộc vào môi trường bảo quản và thời gian răng tồn tại bên ngoài miệng. Thời gian để răng khô đặc biệt quan trọng cho sự sống của các tế bào. Nếu răng để khô trong 60 phút hoặc hơn, các tế bào dây chằng nha chu bị chết. Vì lý do này, thời gian để răng khô trước khi cắm lại hoặc cho vào môi trường bảo quản là rất quan trọng (đánh giá qua hỏi bệnh sử của bệnh nhân).
     1. Xử trí răng đã bị bật khỏi ổ răng
     Rửa sạch răng bằng nước muối sinh lí
     Kiểm tra và đánh giá tình trạng dây chằng quanh răng và xương ổ răng
     Đặt răng vào môi trường dinh dưỡng hoặc nước muối sinh lí
     2. Kiểm soát huyệt ổ răng
     Bơm rửa và làm sạch huyệt ổ răng
     Đánh giá và kiểm soát tình trạng huyệt ổ răng
     3. Cấy răng trở lại vị trí ban đầu
     Dùng dụng cụ thích hợp lấy răng bị bật nhổ ra khỏi dung dịch nuôi dưỡng và đặt vào huyệt ổ răng theo giải phẫu ban đầu.
Kiểm tra khớp cắn, đảm bảo răng không chạm mặt phẳng cắn.
Cố định răng.
Sau khi xử lý ổ răng, đặt răng vào ổ răng rồi cố định ngay càng sớm càng tốt. Tùy điều kiện có thể sử dụng phương pháp cố định nẹp hay composite vào các răng lân cận. Thời gian cố định từ 10 – 14 ngày. Có thể chụp phim để xác định răng đã đúng vị trí hay chưa trước khi cố định. Cố định bằng chỉ thép có ưu điểm điểm vững hơn cố định bằng composite, tuy nhiên khó vệ sinh răng miệng và đôi khi tạo thành túi nha chu. Ngoài ra cần lưu ý khi cố định bằng chỉ thép phải buộc trên cingulum để tránh tình trạng gây trồi răng.
Sau khi cố định lưu ý việc kiểm tra vướng cộm ở các tư thế vận động hàm và mài chỉnh các điểm vướng cộm.
Hướng dẫn bệnh nhân cách chăm sóc răng sau khi cắm lại để tối ưu hóa quá trình lành thương và hạn chế các chấn thương sau đó.
     - Tránh tham gia những môn thể thao đối kháng.
     - Ăn uống thực phẩm mềm cho đến 2 tuần. Sau đó thì ăn uống lại bình thường.
     - Chải răng bằng loại bàn chải mềm sau mỗi bữa ăn.
     - Sử dụng nước súc miệng mỗi ngày 2 lần, trong 1 tuần.
IV. Theo dõi và xử trí tai biến
     4.1. Trong phẫu thuật
     Chảy máu: cầm máu
     4.2. Sau phẫu thuật
     Răng lung lay: cố định lại
     Sang chấn khớp cắn: chỉnh sửa khớp cắn
     Nhiễm trùng: kháng sinh
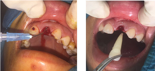
V. Một số hình ảnh
2020 04 15 9 20 36
 
2020 04 15 9 21 56
 
image 20200415091711 6


Tài liệu tham khảo
     1. Bộ môn nha chu (2017), Giáo trình nha chu bác sĩ chuyên khoa cấp 2 Răng Hàm mặt, Khoa Răng hàm mặt, Trường Đại học y dược Huế.
     2. Bộ y tế (2015), Hướng dẫn quy trình kỹ thuật khám bệnh, chữa bệnh chuyên nghành Răng hàm mặt, Nhà xuất bản y học, Hà nội, tr.596.
     3. Andreasen J.O .et al (2011), Classification of Dental injuries,Traumatic dental injuries-A manual, Blackwell publishing Ltd, Copenhagen.

Tác giả: BSCKI. Lê Xuân Thành - Khoa Răng Hàm Mặt

Tổng số điểm của bài viết là: 10 trong 2 đánh giá

Xếp hạng: 5 - 2 phiếu bầu

  Ý kiến bạn đọc

Những tin mới hơn

Những tin cũ hơn

Album ảnh bệnh viện
Bạn đã không sử dụng Site, Bấm vào đây để duy trì trạng thái đăng nhập. Thời gian chờ: 60 giây
Gửi phản hồi