tin tuc

Thoái hóa khớp gối

Thứ tư - 24/06/2020 21:17
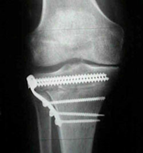
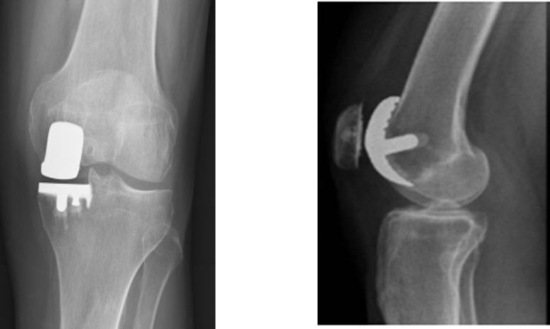
Thoái hoá khớp là hậu quả của quá trình cơ học và sinh học làm mất cân bằng giữa tổng hợp và huỷ hoại của sụn và xương dưới sụn.
 

Tác giả: ThS. Nguyễn Chí Ngọc Khoa Ngoại Chấn thương – Bỏng

Tổng số điểm của bài viết là: 5 trong 1 đánh giá

Xếp hạng: 5 - 1 phiếu bầu

  Ý kiến bạn đọc

Những tin mới hơn

Những tin cũ hơn

Album ảnh bệnh viện
Bạn đã không sử dụng Site, Bấm vào đây để duy trì trạng thái đăng nhập. Thời gian chờ: 60 giây
Gửi phản hồi