tin tuc

Nhân một trường hợp thuyên tắc động mạch phổi cấp nặng ở bệnh nhân hậu COVID-19 điều trị thành công bằng thuốc tiêu sợi huyết đường toàn thân

Thứ hai - 25/04/2022 04:31
Nhân một trường hợp thuyên tắc động mạch phổi cấp nặng ở bệnh nhân hậu COVID-19 điều trị thành công bằng thuốc tiêu sợi huyết đường toàn thân
TỔNG QUAN:
     Sau khi bùng phát ở Vũ Hán, Trung Quốc vào tháng 12/2019, SARS-COV-2 đã nhanh chóng trở thành đại dịch toàn cầu. Tại Việt Nam, tính đến hết ngày 22/04/2022, SARS-CoV-2 đã gây nhiễm cho 10.5 triệu người và gây tử vong cho khoảng 43000 người [1]. Trong khi hầu hết những người bị nhiễm virus chỉ có triệu chứng nhẹ, khoảng 10-15% sẽ trải qua tình trạng suy giảm oxy đáng kể và dẫn đến hội chứng suy hô hấp cấp tiến triển (ARDS), sốc, suy đa cơ quan [2]. Theo Tổ chức Y tế thế giới (WHO) đa số người bệnh hồi phục hoàn toàn sau khi mắc COVID-19, nhưng có khoảng từ 10 đến 20% bị ảnh hưởng lâu dài, biểu hiện ở mức độ khác nhau từ nhẹ đến nặng được gọi là tình trạng hậu COVID-19. Hậu Covid được định nghĩa là các triệu chứng kéo dài sau hơn 4 tuần từ khi có triệu chứng đầu tiên, đa phần là các triệu chứng nhẹ nhàng như ho, mệt mỏi, mất ngủ, thay đổi vị giác,… tuy nhiên vẫn có những triệu chứng nặng nề gây nguy hiểm đến tính mạng như thuyên tắc phổi, viêm cơ tim,… Chúng tôi xin báo cáo ca lâm sàng: Thuyên tắc động mạch phổi cấp nặng ở bệnh nhân Hậu Covid- 19 được điều trị thành công bằng thuốc tiêu sợi huyết (Alteplase) đường toàn thân.  
CASE LÂM SÀNG
     Bệnh nhân nam 67 tuổi với tiền sử đái tháo đường type 2, gút, nhiễm COVID 19 mức độ nhẹ khởi phát  cách 4 tuần, nhập viện vì khó thở, đau ngực tăng dần đã 3 ngày. Thời điểm nhập viện: Huyết áp 100/60mmHg ;Mạch: 110 l/ ph, , tần số thở: 22 lần/phút, SpO2 96% (oxy gọng 3 l/phút), BMI 27.3 kg/m2. Bệnh nhân tỉnh, đau ngực kiểu nặng tức, đau liên tục, khó thở khi nằm, phù nhẹ hai chân, tĩnh mạch cổ nổi tự nhiên, tim nhanh, đều,  phổi thông khí rõ hai bên.  
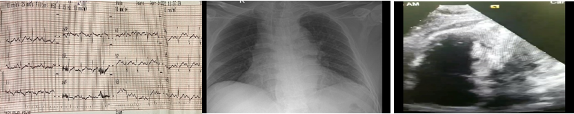
 Cận lâm sàng: Bạch cầu 11.4 x103 /μL, Troponin Ths 295.7 ng/l, D-dimer: 9997 ng/ml,  ALT 254U/L và AST 165 U/L. ECG: Nhịp nhanh xoang, tần số 110 l/ ph, hình ảnh S1Q3T3. Siêu âm tim: Giãn thất phải, đường kính đáy 45 mm, dấu hiệu McConnell (+), chức năng tâm thu thất trái bình thường EF 78 %, tăng áp phổi Paps 53 mmHg. Các xét nghiệm khác trong giới hạn bình thường
  ECG: Hình ảnh S1Q3T3                 X quang : Bóng tim lớn, trường phổi sáng           Siêu âm: McConnell (+)
     Chẩn đoán ban đầu: Theo dõi thuyên tắc động mạch phổi cấp hai bên nguy cơ trung bình cao biến chứng suy tim phải cấp/ Hậu COVID 19 - Đái tháo đường type 2- Gút.  Bệnh nhân được truyền heparin đường tĩnh mạch và chỉ định chụp cắt lớp vi tính động mạch phổi (CTPA) cấp cứu. 
Hình ảnh huyết khối lớn động mạch phổi hai bên                  Hình ảnh tình trạng rối loạn huyết động HA: 69/54mmHg
     Sau khi theo dõi 30 phút, bệnh nhân đột ngột xuất hiện rối loạn huyết động, HA: 69/54mmHg, khó thở, đau ngực tăng. Được xử trí với dịch truyền NaCl 0.9% 500ml, vận mạch bằng noradrenalin. Lúc này,  bệnh nhân được chẩn đoán: Thuyên tắc động mạch phổi cấp gây rối loạn huyết động/ Hậu COVID-19. Sau khi hội chẩn, bệnh nhân được điều trị ngay bằng thuốc tiêu sợi huyết đường toàn thân - Alteplase với phác đồ 0.6mg/kg truyền tĩnh mạch trong 2 giờ. Bệnh nhân giảm khó thở, huyết áp đã cải thiện rõ sau khoảng 15 phút. Sau 2 giờ, HA: 100/60mmHg và ngừng thuốc vận mạch. Heparin không phân đoạn được bắt đầu dùng lại sau khi truyền rtPA. Siêu âm tim tại giường kiểm tra cho thấy áp lực động mạch phổi đã giảm từ 53 mmHg xuống còn 23mmHg sau 3 giờ tiêu sợi huyết.  Theo dõi những ngày sau, bệnh nhân giảm khó thở, độ bão hòa oxy 94-96% với khí trời, huyết động ổn định. Bệnh nhân được chuyển qua chống đông đường uống Xarelto 15mg uống 2 viên/ngày, ổn định xuất viện sau 16 ngày điều trị.
    Hình ảnh hòa thuốc Alteplase                        Hình ảnh: Huyết động ổn định, bệnh nhân cải thiện sau truyển Alteplase
BÀN LUẬN:
     Thuyên tắc phổi (PE) cho đến nay vẫn là mối quan tâm lớn về sức khỏe trên toàn thế giới (là nguyên nhân tim mạch tử vong thứ 3 sau nhồi máu cơ tim, đột quỵ). Thuyên tắc phổi trong bối cảnh SARS CoV-2 càng làm gia tăng tỷ lệ mắc, tử vong và nhập ICU. Một tổng quan hệ thống và phân tích gộp đã chỉ ra tỷ lệ bệnh nhân COVID-19 tiến triển PE là 15,3% và tỷ lệ tử vong là 45,1% [3]. Hầu hết COVID-19 gây biến chứng thuyên tắc phổi được báo cáo cho đến nay đã xảy ra ở những bệnh nhân bị bệnh nặng trong thời gian nằm viện nhưng đôi khi được quan sát thấy ở những trường hợp nhiễm SARS-CoV-2 nhẹ và trong vài ngày đến 4 tuần sau khi xuất viện [4]. Cũng có một số trường hợp thuyên tắc phổi xảy ra sau 3 tháng ở trường hợp nhiễm Covid-19 mức độ nhẹ. Cơ chế liên quan đến quá trình viêm tiếp diễn kèm tình tăng đông đi kèm. 
     PE nguy cơ cao là biểu hiện nghiêm trọng nhất của thuyên tắc huyết khối tĩnh mạch, liên quan đến tỷ lệ tử vong cao ngay tại thời điểm được chẩn đoán hoặc trong vài giờ sau đó ngay cả khi đã được bắt đầu điều trị tái tưới máu. Theo hướng dẫn của Hội tim mạch Châu Âu năm 2019, tiêu sợi huyết đường  toàn thân là phương pháp điều trị được lựa chọn đầu tiên cho bệnh nhân có PE nguy cơ cao, tuy nhiên, nếu có chống chỉ định, phẫu thuật lấy huyết khối, hoặc can thiệp lấy huyết khối bằng ống thông (catheter) là những lựa chọn thay thế khác cho tái tưới máu [5]. Alteplase (rt-PA) vẫn là thuốc tiêu sợi huyết được dùng phổ biến nhất trong PE. Liều được chấp thuận trong PE là 100mg truyền trong 2 giờ. Ở mức liều này, y văn đã ghi nhận những trường hợp có biến chứng chảy máu lớn (đa phần là chảy máu não), đặc biệt ở bệnh nhân lớn tuổi. Do vậy, các nghiên cứu gần đây đã ghi nhận rt-PA liều thấp (0,6 mg/kg, tối đa 50mg/2 giờ) cũng có hiệu quả như liều chuẩn và an toàn hơn nhiều trên phương diện chảy máu. 
     Cho đến nay, vẫn chưa rõ thời gian quá trình tiền viêm, tiền huyết khối liên quan đến COVID 19 sẽ kéo dài bao lâu sau khi bệnh nhân đã thoái lui các triệu chứng: sốt, khó thở cần cung cấp oxy…Việc dự phòng thuyên tắc huyết khối ở một số nhóm đối tượng nguy cơ cao là quan trọng nhưng cần cân bằng với rủi ro xuất huyết. Trong khi cần thêm các nghiên cứu để đưa ra khuyến cáo, đồng thuận của Hội tim mạch Hoa Kỳ đã đề nghị dự phòng huyết khối kéo dài ở bệnh nhân COVID 19 có các yếu tố nguy cơ như giảm vận động, bệnh đồng mắc nhiều hoặc bệnh lí ác tính. D-dimer cao gấp 2 lần giới hạn trên bình thường tại thời điểm xuất viện cũng là một chỉ điểm để dùng kháng đông kéo dài [6]
KẾT LUẬN
     Nhiễm COVID 19 là một yếu tố nguy cơ độc lập mới gây nên thuyên tắc huyết khối tĩnh mạch. Các biến cố thuyên tắc, huyết khối tĩnh mạch có thể xảy ra ở bệnh nhân hậu Covid-19 bất kể mức độ nặng của nhiễm Covid-19. Thuyên tắc phổi nguy cơ cao do COVID liên quan đến nguy cơ từ vong tăng cao, đòi hỏi phải nhận biết và điều trị sớm. Tiêu sợi huyết vẫn là thuốc nền tảng trong điều trị thuyên tắc phổi nguy cơ cao và đã chứng minh được hiệu quả. Việc dự phòng thuyên tắc huyết khối tĩnh mạch do Covid-19 ở một số nhóm đối tượng nguy cơ cao là cần thiết, tuy nhiên, cần thêm các bằng chứng nghiên cứu và đồng thuận.
                                                                           
TÀI LIỆU THAM KHẢO:
[1] https://covid19.gov.vn/
[2]. Jordan R.E., Adab P., Cheng K.K. Covid-19: risk factors for severe disease and death. BMJ. 2020;368:m1198. Published 2020 Mar 26. [PubMed] [Google Scholar] [Ref list]
[3] S.C. Liao, S.C. Shao, Y.T. Chen, et al., Incidence and mortality of pulmonary embolism in COVID-19: a systematic review and meta-analysis, Crit. Care 24 (2020) 464, https://doi.org/10.1186/s13054-020-03175-z. 
[4] D. Wichmann, J.P. Sperhake, M. Lütgehetmann, et al., Autopsy findings and venous thromboembolism in patients with COVID-19: a prospective cohort study, Ann. Intern. Med. 173 (4) (2020) 268–277
[5] S.V. Konstantinides, G. Meyer, C. Becattini, H. Bueno, G.J. Geersing, V.P. Harjola, M.V. Huisman, M. Humbert, C.S. Jennings, D. Jim´enez, N. Kucher, I.M. Lang, M. Lankeit, R. Lorusso, L. Mazzolai, N. Meneveau, F. Ní Ainle, ´ P. Prandoni, P. Pruszczyk, M. Righini, A. Torbicki, E. Van Belle, J.L. Zamorano, ESC Scientific Document Group, 2019 ESC Guidelines for the diagnosis and management of acute pulmonary embolism developed in collaboration with the European Respiratory Society (ERS), Eur. Heart J. 41 (4) (2020 Jan 21) 543–603, https://doi.org/ 10.1093/eurheartj/ehz405. PMID: 31504429. 
[6] Bikdeli B, Madhavan MV, Jimenez D, et al. COVID-19 and thrombotic or thromboembolic disease: implications for prevention, antithrombotic therapy, and follow-up: JACC state-of-the-art review. J Am Coll Cardiol 2020;75:2950–73.

Tác giả: Bs. Nguyễn Nhật; Ths.Bsnt Trương Văn Khánh Nguyên Khoa Nội Tim mạch- Bệnh viện Đa khoa tỉnh Quảng Trị

Tổng số điểm của bài viết là: 1 trong 1 đánh giá

Xếp hạng: 1 - 1 phiếu bầu

  Ý kiến bạn đọc

Những tin mới hơn

Những tin cũ hơn

Album ảnh bệnh viện
Bạn đã không sử dụng Site, Bấm vào đây để duy trì trạng thái đăng nhập. Thời gian chờ: 60 giây
Gửi phản hồi