Ứng dụng siêu âm tim qua thực quản trong thực hành lâm sàng tại khoa Nội Tim mạch

Thứ năm - 12/05/2022 03:55
Ứng dụng siêu âm tim qua thực quản trong thực hành lâm sàng tại khoa Nội Tim mạch
Y học luôn phát triển không ngừng, trong đó tim mạch là lĩnh vực đã có nhiều bước tiến mang tính đột phá trong chẩn đoán và điều trị bệnh. Hòa cùng xu thế đó, khoa Nội Tim mạch, Bệnh viện Đa khoa tỉnh Quảng Trị đã triển khai rất nhiều kĩ thuật từ cơ bản đến nâng cao như siêu âm tim, điện tim gắng sức, holter điện tâm đồ, cấy máy tạo nhịp, chụp và can thiệp mạch vành, nong van hai lá, can thiệp tim bẩm sinh (thông liên nhĩ, thông liên thất, ống động mạch,…), đặt stent graft động mạch chủ…Siêu âm tim qua thực quản là kỹ thuật đã được khoa triển khai thường quy, đem lại nhiều đóng góp quan trọng trong chẩn đoán và điều trị, đặc biệt là các ca bệnh tim khó và hiếm gặp.
1
Siêu âm tim qua thực quản cho thấy tầm quan trọng khó thay thế của nó trong việc chẩn đoán một số bệnh lý tim mạch (khó thấy được bằng siêu âm qua thành ngực), đồng thời là phương tiện không thể thiếu trong can thiệp điều trị các bệnh lý tim bẩm sinh, van tim, bệnh tim cấu trúc.
Dưới đây là một số ví dụ về ứng dụng của siêu âm tim qua thực quản tại khoa Nội Tim mạch, bệnh viện đa khoa tỉnh Quảng Trị.
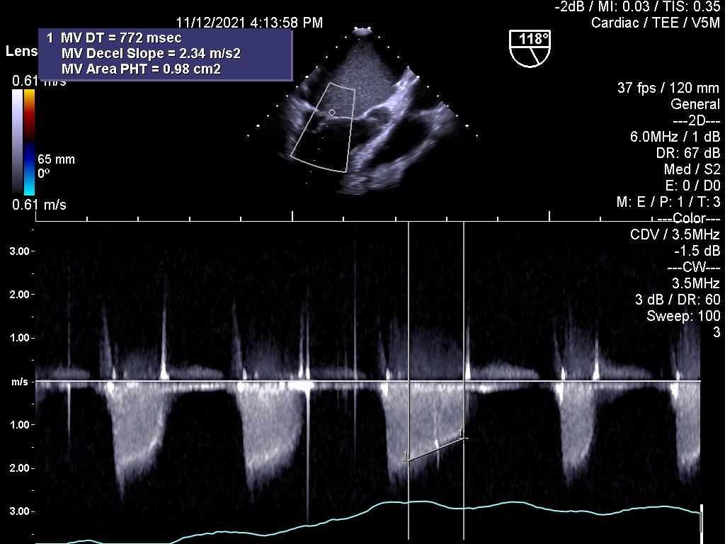
1.Huyết khối gây kẹt van hai lá cơ học:
 
2.Đánh giá hiệu quả điều trị bằng thuốc tiêu sợi huyết đối với kẹt van cơ học (cùng bệnh nhân ở trên)
 
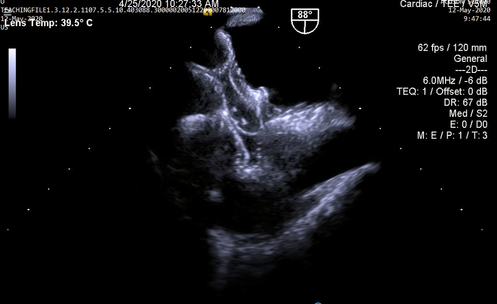
3.Huyết khối tiểu nhĩ trái trên bệnh nhân hẹp van 2 lá (không thấy được trên siêu âm tim qua thành ngực)
 
 
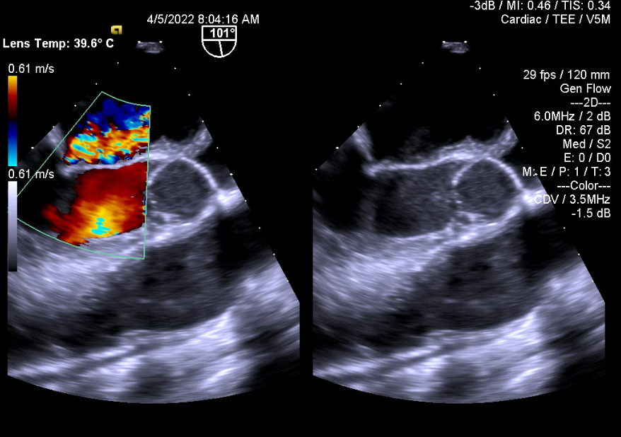
4.Sùi nhỏ ở mặt nhĩ ở bệnh nhân hở van hai lá nặng bị viêm nội tâm mạc nhiễm trùng (Bệnh Osler) (siêu âm tim qua thành ngực không thấy sùi)
 
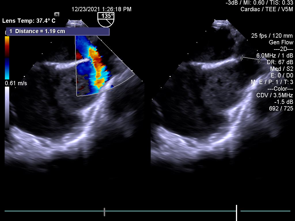
5.Thông liên nhĩ lỗ xoang tĩnh mạch chủ trên
 
6.Dẫn đường hỗ trợ đóng thông liên nhĩ bằng dụng cụ
 
7.Dẫn đường hỗ trợ nong van hai lá bằng bóng
Trước nong van:

Sau nong van:
 
 

Tác giả: Bs. Hoàng Thế Nhân, khoa Nội tim mạch, BVĐK tỉnh Quảng Trị


 

Tổng số điểm của bài viết là: 10 trong 2 đánh giá

Xếp hạng: 5 - 2 phiếu bầu
Click để đánh giá bài viết

  Ý kiến bạn đọc

Những tin mới hơn

 

Những tin cũ hơn

Đơn vị chủ quản
Chuyển giao diện: Tự động Máy Tính
TRUNG TÂM TIN HỌC TỈNH QUẢNG TRỊ
ĐC: 45 Hùng Vương, TP Đông Hà, Quảng Trị
ĐT: 0233.553350 - Email: trungtamtinhoc@quangtri.gov.vn