tin tuc

Nhân một trường hợp nấm xoang bướm

Thứ năm - 19/05/2022 21:16
Nhân một trường hợp nấm xoang bướm
1.ĐẶT VẤN ĐỀ:
     Như chúng ta đã biết, chẩn đoán viêm xoang bướm và điều trị bệnh lý viêm xoang này rất khó khăn vì: Xoang bướm là xoang nằm sâu nhất trong tất cả các xoang, thiếu các phương tiện cận lâm sàng hiện đại như nội soi, phim C.T.scanner, MRI...  Triệu chứng của viêm xoang bướm thường vay mượn của các cơ quan khác, có thể không có triệu chứng ở mũi xoang. Các tác giả người pháp đã từng gọi: viêm xoang bướm là: "viêm xoang không có viêm xoang”(sinusite sans sinusite). Tại Bệnh viện Đa khoa Tỉnh Quảng Trị  nhờ các phương tiện cận lâm sàng hiện đại, việc chẩn đoán và điều trị viêm xoang bướm trở nên dễ dàng hơn. Chúng tôi xin giới thiệu đến một loại bệnh  ít gặp là viêm xoang bướm do nấm.
2.NGUYÊN  NHÂN VÀ SINH LÝ BỆNH VIÊM XOANG BƯỚM
- Hiện nay nhiều tác giả đều thống nhất sự bít tắc lỗ thông xoang được cho là nguyên nhân thông thường nhất dẫn đến viêm xoang
- Lỗ thông xoang thường bị tắc trong cả viêm xoang cấp và viêm xoang mạn
- Trong viêm xoang cấp hơn phân nữa do siêu vi trùng
- Vai trò của vi trùng trong viêm xoang trở nên thứ yếu và chỉ được xem như là nhiễm trùng cơ hội
- Viêm xoang bướm do nấm ít gặp hơn( thường gặp nhất là Aspergillus)
- Nấm Aspergillus có hơn 300 chủng loại nhưng chỉ có các loại sau gây bệnh cho người đó là: Aspergillus Fumigatus (90% gây bệnh cho xoang),Flavus, Glaucus, Versicolor, Nidulans, Niger…Bào tử nấm được tìm thấy trong đất, trong không khí nhiều bụi bặm và trong các chất hữu cơ, thực vật thối rữa…Khi ta hít phải các bào tử này, chúng sẽ bám vào các hốc mũi xoang chờ cơ hội gây bệnh.
- Trường hợp bệnh nấm mũi xoang đầu tiên được Schubert báo cáo vào năm 1885.
- Đại học y khoa Graz(Áo) tổng kết từ năm 1976-1989 có 340 bệnh nhân nhiễm nấm mũi xoang
- Tại khoa TMH Bệnh viện Chợ Rẫy trong 4 năm(1998-2002) phát hiện 12 trường hợp nấm xoang bướm
3.NHỮNG YẾU TỐ THUẬN LỢI CHO VIỆC NHIỄM NẤM
- Vùng khí hậu nóng và ẩm ướt thích hợp cho nấm mốc phát triển
- Nghề nghiệp: những người làm nông hoặc tiếp xúc thường xuyên với ngũ cốc
Yếu tố tại chỗ:Nấm Aspergillus khi xâm nhập vào mũi xoang thường nằm yên tại chỗ, chỉ gây bệnh khi có những yếu tố thuận lợi: đó là những yếu tố làm giảm thông khí xoang và giảm sự dẫn lưu xoang như: Tắc lỗ thông mũi xoang do viêm mũi xoang dị ứng, viêm mũi xoang mạn tính, vẹo vách ngăn mũi, polype mũi…
 - Yếu tố toàn thân:
+ Người bệnh bị suy giảm miễn dịch
+ Bệnh tiểu đường
+ Dùng corticoid kéo dài
+ Kháng sinh phổ rộng kéo dài….
4.NHÂN TRƯỜNG HỢP VIÊM XOANG BƯỚM DO NẤM
     Nhân trường hợp bệnh nhân P.T.P nữ 67 tuổi vào khoa Tai Mũi họng Bệnh viên tỉnh Quảng trị vì đau nhức đầu nhiều vùng chẩm nhiều năm nay đã đi khám nhiều nơi nhưng không phát hiện ra bệnh, qua thăm khám ghi nhận: Bệnh nhân ngửi thấy mùi hôi trong hốc mũi, nội soi thấy dòng mủ đặc từ khe bướm sàng chảy về cửa mũi sau qua thành sau họng.
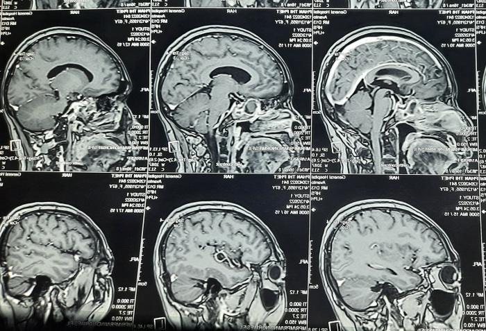
     Với sự hỗ trợ của máy CT scan 64-128 lát cắt, máy MRI 1.5 Tesla hiện đại khảo sát toàn bộ vùng hàm- mặt, cùng với kinh nghiệm lâm sàng các BS khoa TMH đã hướng đến chẩn đoán xác định là nấm xoang bướm trái. Và bệnh nhân được nhanh chóng làm phẫu thuật nội soi đê lấy đi khối nấm và làm sạch mở rộng xoang bướm để dẫn lưu. Hậu phẫu bệnh nhân ổn định, được nhân viên Y tế khoa TMH chăm sóc kỹ càng và xuất viện trong sự hân hoan của gia đình.
Hình ảnh MRI
Hình ảnh CTscan
Hình ảnh nấm  xoang bướm
Lổ thông xoang bướm sau phẫu thuật
 
5.BÀN LUẬN
- Một số triệu chứng lâm sàng gợi ý viêm xoang bướm do nấm
+ Đau nhức đầu vùng chẩm
+ Ngạt mũi
+Ngửi thấy mùi hôi trong mũi
+ Chảy dịch mũi đặc qua thành sau họng
+ Ho khạc ra dịch mũi đặc xanh
Cận Lâm sàng
+ Chẩn đoán viêm xoang nhất là viêm xoang bướm bằng lâm sàng, X-quang thông thường và nội soi là chưa đủ
+ Nhấn mạnh đến vai trò vô cùng quan trọng có tính chất quyết định của phim C.T.SCANNER trong chẩn đoán viêm xoang nhất là viêm xoang bướm
+ Chỉ cần lấy sạch khối nấm,bệnh lý xoang sẽ ổn định mà không cần dùng đến thuốc kháng nấm
+ Kiến nghị khoa vi sinh trang bị đầy đủ các hóa chất xét nghiệm nấm để việc chẩn đoán và điều trị dễ dàng hơn 
6.KẾT LUẬN
- Bác sỹ lâm sàng có  sự hỗ trợ của nội soi và phim C.T.SCANNER hoặc MRI việc chẩn đoán và điều trị viêm xoang bướm trở nên dễ dàng hơn
- Trong trường hợp viêm xoang bướm đơn thuần, phẩu thuật viên có thể tiếp cận với xoang bướm ngay thành trước của nó qua ngách sàng bướm, đường mổ này tránh được nguy cơ tổn thương ổ mắt, tổn thương thần kinh thị, và các mạch máu lớn
- Vai trò của phim C.T.SCANNER trong chẩn đoán viêm xoang, nhất là viêm xoang bướm cực kỳ quan trọng có tính chất quyết định.
TÀI LIÊU THAM KHẢO
  1. Phẩu thuật nội soi mũi xoang- chủ biên Ts nguyễn hữu khôi-2005
  2. Viêm xoang bướm-một nguyên nhân gây nhức đầu thường bị bỏ sót-Gs Võ Tấn
  3. Phẩu thuật nội soi xoang chức năng- Nguyễn Tấn Phong-1999

Tác giả: Bs CKII. Đinh Viết Thanh

Tổng số điểm của bài viết là: 5 trong 5 đánh giá

Xếp hạng: 1 - 5 phiếu bầu

  Ý kiến bạn đọc

Những tin mới hơn

Những tin cũ hơn

Album ảnh bệnh viện
Bạn đã không sử dụng Site, Bấm vào đây để duy trì trạng thái đăng nhập. Thời gian chờ: 60 giây
Gửi phản hồi