tin tuc

Người đàn ông viêm tuỵ hoại tử hồi sinh ngoạn mục sau gần 70 ngày

Thứ hai - 14/04/2025 21:46
- Sau gần 70 ngày điều trị, người đàn ông 54 tuổi bị viêm tuỵ hoại tử nguy kịch hồi sinh ngoạn mục và chuẩn bị xuất viện.

Ngày 12/4, TS.BS Phan Khánh Việt, Trưởng khoa Ngoại tổng hợp (Bệnh viện Đa khoa tỉnh Quảng Trị) cho biết, sau gần 70 ngày điều trị tích cực, sức khỏe bệnh nhân Dương Văn S. (54 tuổi, trú xã Hướng Tân, huyện Hướng Hóa) dần hồi phục, chuẩn bị xuất viện.

Ông S. ban đầu đau bụng nhiều vùng thượng vị, sau 2 ngày được đưa đến Bệnh viện Đa khoa tỉnh Quảng Trị. Qua làm các xét nghiệm, chụp cắt lớp vi tính ổ bụng, bác sĩ chẩn chẩn đoán ông S. bị viêm tụy cấp có suy đa tạng nên chuyển đến khoa Hồi sức tích cực - Chống độc.

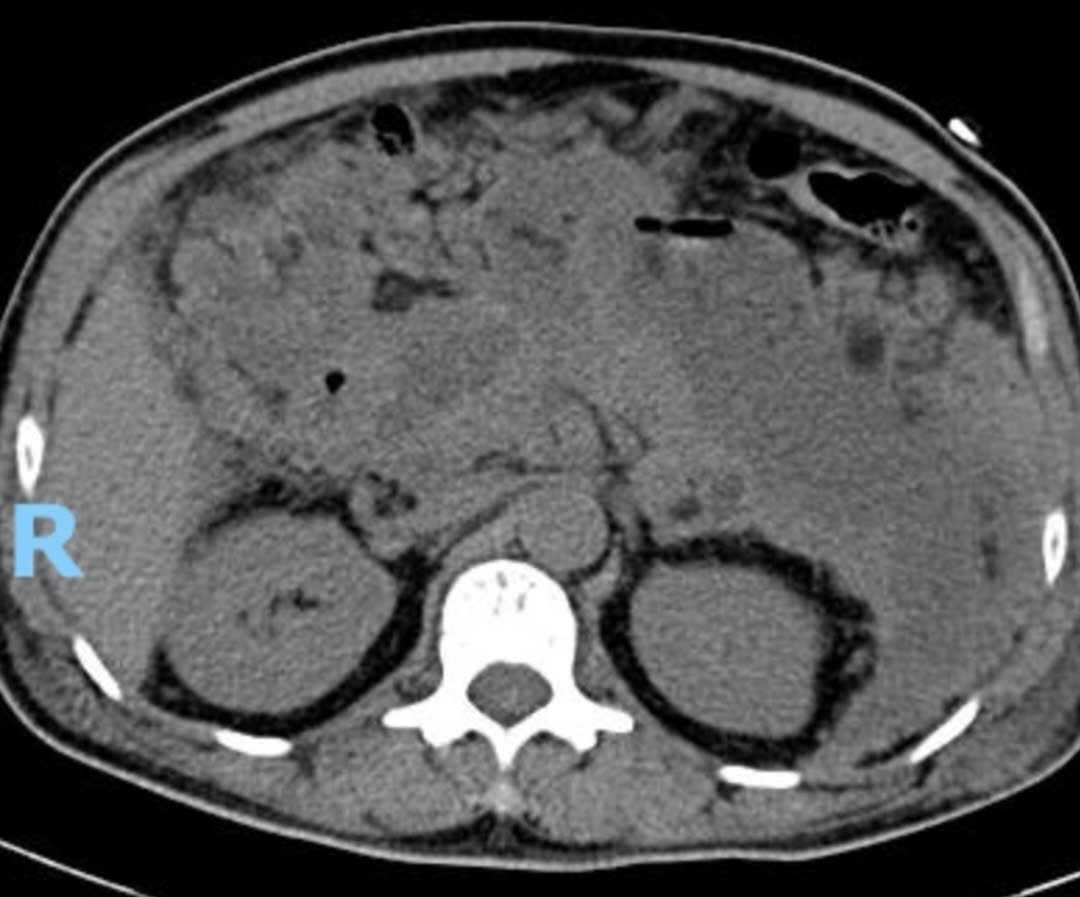
nguoi dan ong viem tuy hoai tu hoi sinh ngoan muc sau 70 ngay 1 17444140405081570244767
Hình ảnh cắt lớp vi tính của bệnh nhân trước dẫn lưu.

Tại đây, các bác sĩ tiến hành đặt ống nội khí quản thở máy, thay huyết tương, lọc máu liên tục. Ngoài ra, kết quả chụp cắt lớp vi tính ổ bụng lần 2 phát hiện bệnh nhân bị viêm tụy hoại tử với khối tụ dịch và tổ chức hoại tử lớn 11x8 cm ở thân, đuôi tụy.

Tiến hành hội chẩn, ê-kíp bác sĩ các khoa chuyên môn thống nhất điều trị cho bệnh nhân theo hướng dẫn lưu ra da trước để chờ thời gian làm phẫu thuật triệt để. Việc dẫn lưu ổ hoại tử ra da với số lượng khoảng 200 - 300 ml/ngày, giúp tình trạng bệnh cải thiện tuy nhiên suy tạng và nhiễm khuẩn vẫn dai dẳng.

Tiếp tục hội chẩn lần thứ 2, các bác sĩ thực hiện phẫu thuật cắt lọc và lấy bỏ mô hoại tử nhiễm khuẩn quanh tụy.

"Tình trạng bệnh quá nặng, do đó chúng tôi tiếp cận, cắt lọc ổ hoại tử qua ngả nội soi sau phúc mạc. Đây là một phẫu thuật xâm nhập tối thiểu khiến cho bệnh ít bị sang chấn do phẫu thuật và nhanh chóng bình phục, không bị khởi phát tình trạng suy tạng mới", TS.BS Phan Khánh Việt cho hay.

Theo TS.BS Phan Khánh Việt, kỹ thuật này cũng lần đầu tiên được thực hiện tại bệnh viện. Sau phẫu thuật, tình trạng nhiễm khuẩn và suy tạng của bênh nhân được cải thiện ngoan mục. Các xét nghiệm đều trở lại giới hạn bình thường, bụng mềm xẹp, ăn uống trở lại bình thường. Dự kiến thứ 2 tuần tới bệnh nhân được xuất viện.
 

edit nguoi dan ong viem tuy hoai tu hoi sinh ngoan muc sau 70 ngay 1744414140626527120267
Bệnh nhân hồi sinh ngoạn mục, chuẩn bị được xuất viện.
"Thành công trong điều trị ca bệnh thể hiện sự phối hợp nhịp nhàng giữa các chuyên khoa, nỗ lực vì sức khỏe người bệnh của các bác sĩ. Đồng thời, khẳng định năng lực của các thầy thuốc Bệnh viện Đa khoa tỉnh trong điều trị ca bệnh khó", TS.BS Phan Khánh Việt chia sẻ.

Phòng ngừa viêm tụy cấp

Theo Trưởng khoa Ngoại tổng hợp, viêm tụy cấp là bệnh lý rất hay gặp, được chia làm 2 loại gồm viêm tụy phù nề và viêm tụy hoại tử. Viêm tụy phù nề thường nhẹ, đáp ứng tốt với điều trị nội khoa.Trong khi đó, viêm tụy hoại tử lại là một thể bệnh nặng, tỷ lệ tử vong lên đến 39%. Nguyên nhân do chúng nhanh chóng dẫn đến suy tạng và nhiễm khuẩn thứ phát mô hoại tử của tụy, xung quanh tụy nên dẫn đến nhiễm khuẩn huyết, suy đa tạng.

TS.BS Phan Khánh Việt thông tin, trong hầu hết các trường hợp, nguyên nhân viêm tụy cấp do sỏi mật hoặc sử dụng rượu nặng. Các nguyên nhân khác bao gồm thuốc, bệnh tự miễn, nhiễm trùng, chấn thương, rối loạn chuyển hóa và phẫu thuật. Có 15% người bị viêm tụy cấp chưa tìm được nguyên nhân.

Để phòng ngừa viêm tuỵ, mọi người cần ăn uống lành mạnh, tập thể dục ít nhất 30 phút mỗi ngày. Bỏ thuốc lá, hạn chế rượu bia. Ăn uống khoa học, vệ sinh với chế độ nhạt để tránh bị sỏi mật vì sỏi mật là một trong những yếu tố nguy cơ gây ra viêm tụy cấp. Đặc biệt, nên khám sức khỏe định kỳ, nhất người mỡ máu, tiểu đường...

Tác giả: Hoàng Dũng

Nguồn tin: suckhoedoisong.vn

Tổng số điểm của bài viết là: 1 trong 1 đánh giá

Xếp hạng: 1 - 1 phiếu bầu

  Ý kiến bạn đọc

Những tin mới hơn

Những tin cũ hơn

Album ảnh bệnh viện
Bạn đã không sử dụng Site, Bấm vào đây để duy trì trạng thái đăng nhập. Thời gian chờ: 60 giây
Gửi phản hồi