tin tuc

Gãy liên mấu chuyển xương đùi

Thứ hai - 05/05/2025 22:55
1. Gãy liên mấu chuyển xương đùi là gì?
Gãy liên mấu chuyển xương đùi là tình trạng gãy xương ngoài bao khớp, thường xảy ra phổ biến ở người cao tuổi, xuất phát chủ yếu từ nguyên nhân té ngã. Chấn thương này rất thường gặp, liên quan chặt chẽ đến vấn đề loãng xương và tuổi tác.
 Với tình trạng này, quá trình điều trị cần được tiến hành kịp thời để hạn chế tối đa các biến chứng nguy hiểm có thể gặp phải. Tốt hơn hết, ngay khi nhận thấy triệu chứng bất thường, người bệnh cần liên hệ sớm với bác sĩ để có hướng xử lý phù hợp.
2. Phân loại theo AO
Theo AO, gãy Liên mấu chuyển xương đùi được chia làm 3 nhóm
​​​​​​​2.1. Loại A1
A1 là loại đơn giản gồm 1 đường gãy kéo dài từ mẫu chuyển lớn đến vỏ xương bên trong. Nhóm này được phân loại gồm:
  • A1 – 1: Đây là loại có đường gãy trên nền cổ mấu chuyển.
  • A1 – 2: Đây là loại có đường gãy liên mấu chuyển.
  • A1 – 3: Đây là loại có đường gãy nằm dưới mấu chuyển bé.
2.2. Loại A2
Đây là loại có hướng đường gãy được xác định tương tự như A1 nhưng vỏ thân xương bên trong gãy thành 3 mức với nhiều mảnh rời. Theo đó, A2 được phân loại như sau:
  • A2 – 1: Nhóm gãy có một mảnh xương rời.
  • A2 – 2: Nhóm gãy có 2 mảnh xương rời.
  • A2 – 3: Nhóm gãy có nhiều hơn 2 mảnh xương rời.
2.3. Loại A3
Đây là loại có đường gãy kéo dài từ vỏ thân xương đùi tại vị trí ngay dưới mấu chuyển lớn đến phía trong mấu chuyển bé. A3 cũng bao gồm cả trường hợp đường gãy bên ngoài, bắt đầu từ dưới mấu chuyển lớn và kết thúc bên trong mấu chuyển bé (đường gãy chéo ngược). Loại này được phân chia thành 3 nhóm nhỏ như sau:
  • A3 – 1: Nhóm có đường gãy đơn giản nằm chéo, hướng chếch lên.
  • A3 – 2: Nhóm có đường gãy đơn giản nằm ngang.
  • A3 – 3: Nhóm có đường gãy đơn giản nằm chéo, hướng chếch lên kèm gãy mấu chuyển nhỏ.

Một số yếu tố nguy cơ của tình trạng này gồm:
  • Nữ giới.
  • Người trên 60 tuổi.
  • Người mắc loãng xương, hoặc có tiền sử mắc các vấn đề về xương khác.
  • Người có mật độ xương và khối lượng cơ thấp.
  • Người gặp vấn đề về việc giữ thăng bằng trong đi, đứng.
3. Dấu hiệu thường gặp
Gãy liên mấu chuyển xương đùi thường xuất hiện với nhiều dấu hiệu đặc trưng, dễ nhận biết. Trong đó, một số triệu chứng phổ biến phải kể đến gồm:
  • Đau dữ dội ở vùng hông.
  • Không thể đứng lên hoặc di chuyển sau khi ngã.
  • Vùng hông bị sưng tấy và bầm tím.
  • Không thể thực hiện động tác co chân hoặc quay sang bên bị thương.
4. Phương pháp chẩn đoán
4.1 Lâm sàng
Với người bệnh có liên mấu chuyển bị gãy tại phần xương đùi, ban đầu, bác sĩ sẽ tiến hành một số chẩn đoán lâm sàng như sau:
  • Cơ chế chấn thương.
  • Tình trạng chức năng trước chấn thương.
  • Tiền sử chống đông máu, viêm khớp…
  • Triệu chứng cơn đau.
  • Kiểm tra vết thương thông qua sờ nắn hoặc một số cử động của người bệnh như: nâng chân thẳng, xoay chân…
4.2. Cận lâm sàng
Đối với tình trạng gãy liên mấu chuyển xương đùi, bác sĩ có thể sẽ yêu cầu thực hiện một số chẩn đoán cận lâm sàng để đưa ra kết quả chính xác nhất. Các phương pháp thường được sử dụng bao gồm:
  • Chụp X-quang: Chụp X-quang được sử dụng phổ biến trong chẩn đoán gãy liên mấu chuyển vùng xương đùi bởi tỷ lệ chính xác cao.
  • Chụp cắt lớp vi tính, Chụp MRI nếu có chỉ định
  • Ngoài ra, các xét nghiệm bổ sung cũng có thể được yêu cầu như: xét nghiệm công thức máu toàn bộ, sinh hoá máu, điện tâm đồ… tùy thuộc vào các phát hiện lâm sàng, tiền sử bệnh cũng như chẩn đoán hình ảnh trước đó. Điều này sẽ giúp phát hiện và điều chỉnh kịp thời những điểm bất thường trước khi can thiệp phẫu thuật, đảm bảo hạn chế tối đa biến chứng.
5. Biến chứng khi bị gãy liên mấu chuyển xương đùi
Tình trạng gãy liên mấu chuyển xương đùi có thể dẫn đến nhiều triệu chứng nguy hiểm, đe dọa trực tiếp đến sức khỏe nếu không được chẩn đoán và xử lý kịp thời. Một số điển hình thường gặp như:
  • Giai đoạn sớm: Gãy liên mấu chuyển đi kèm với hiện tượng chảy máu nhiều, dẫn đến tình trạng mất máu hoặc sốc chấn thương do đau.
  • Giai đoạn muộn: Gãy liên mấu chuyển giai đoạn muộn có thể dẫn đến tàn phế suốt đời do xương không liền hoặc quá trình phục hồi chậm. Ngoài ra, người bệnh nằm lâu còn có khả năng đối diện với các bệnh lý nguy hiểm như: viêm phổi, viêm đường tiết niệu, loét các điểm tì… Nhiều trường hợp nghiêm trọng còn dẫn đến tử vong.
6. Cách điều trị gãy liên mấu chuyển xương đùi
Với tình trạng gãy liên mấu chuyển xương đùi, người bệnh có thể được điều trị bảo tồn hoặc can thiệp phẫu thuật. Phương pháp sẽ được bác sĩ chỉ định dựa vào mức độ nghiêm trọng của chấn thương.
  1.  
6.1. Điều trị bảo tồn
Phương pháp điều trị bảo tồn đối với tình trạng này được áp dụng trong một số trường hợp nhất định, bao gồm:
  • Gãy di lệch ít, người bệnh vẫn có thể ngồi dậy được.
  • Người bệnh thể trạng yếu, đang mắc cùng lúc nhiều bệnh mãn tính và không thể tiến hành phẫu thuật.
  • Tuy nhiên, điều trị bảo tồn thường không đem lại hiệu quả như mong đợi, tỷ lệ để lại biến chứng và gây ra tử vong cao nên không được áp dụng phổ biến. Một số phương pháp cụ thể như Đeo nẹp cố định, Xuyên đinh qua da, Kéo liên tục, Kéo nắn bột
6.2. Can thiệp phẫu thuật
Phẫu thuật chống chỉ định đối với người bệnh bị rối loạn chảy máu hoặc một rối loạn chuyển hóa không thể kiểm soát được, dễ dẫn đến tỷ lệ tử vong cao. Với hầu hết các trường hợp còn lại, phẫu thuật được cân nhắc thực hiện sớm cho tình trạng gãy liên mấu chuyển xương đùi. Một số phương pháp được áp dụng phổ biến, thường quy tại khoa hiện tại:
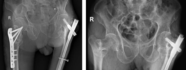
  • Phương pháp kết hợp xương bằng đóng đinh nội tuỷ: Phương pháp này được chỉ định cho những trường hợp gãy xương phức tạp, gãy không vững và có thêm mảnh rời. Cụ thể, một số loại đinh nội tủy được sử dụng phổ biến gồm: Gamma, PFNA​​​​​​​
Đinh nội tuỷ PFNA
Đinh nội tuỷ PFNA
  • Phương pháp kết hợp xương bằng nẹp vít: Phương pháp này được chỉ định cho trường hợp gãy xương đơn giản. Các loại nẹp được sử dụng phổ biến gồm: nẹp khóa đầu trên xương đùi, nẹp gấp góc DHS …​​​​​​​
Nẹp DHS
Nẹp DHS
Nẹp khoá đầu trên xương đùi
Nẹp khoá đầu trên xương đùi
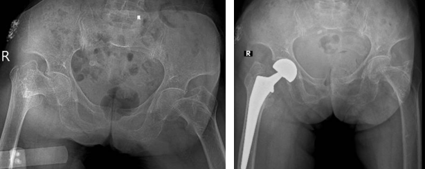
  • Phương pháp thay khớp háng: Thay khớp háng nhân tạo này được chỉ định cho những trường hợp gãy liên mấu chuyển không vững đồng thời phát hiện tình trạng loãng xương, không thể tiến hành điều trị bằng bảo tồn hay kết hợp xương.
​​​​​​​
Thay khớp háng
Thay khớp háng
Tuy nhiên, phẫu thuật gãy liên mấu chuyển ở xương đùi cũng có thể để lại một số biến chứng không mong đợi, phổ biến nhất là: mất máu, nhiễm trùng, thuyên tắc mạch phổi… trường hợp nặng có nguy cơ dẫn đến tử vong.
7. Chăm sóc và phục hồi sau phẫu thuật
Sau phẫu thuật, thời gian hồi phục thường kéo dài khoảng 3 tháng hoặc lâu hơn tùy thuộc vào độ tuổi và một số vấn đề y tế khác.. Theo đó, người bệnh sẽ tập trung chủ yếu vào hoạt động tập đi, đứng, chăm sóc bản thân cũng như sinh hoạt hàng ngày.
Ngoài ra, một số trường hợp phải dùng đến thuốc làm loãng máu sau phẫu thuật. Tuy nhiên, tất cả phải tuân theo chỉ định của bác sĩ để đảm bảo đạt được hiệu quả tích cực và hạn chế tối đa các vấn đề không mong muốn.
8. Biện pháp phòng ngừa
Gãy liên mấu chuyển xương đùi là chấn thương nghiêm trọng, gây ảnh hưởng trực tiếp đến khả năng vận động và có thể dẫn đến nhiều biến chứng nguy hiểm nếu không được điều trị kịp thời. Vì vậy, việc thực hiện các biện pháp phòng ngừa ngay từ ban đầu là thực sự cần thiết, bao gồm:
  •  Đánh giá và điều trị loãng xương
Ở đối tượng phụ nữ và người cao tuổi, tình trạng loãng xương rất phổ biến và làm giảm chất lượng xương, tăng nguy cơ gãy xương khi té ngã. Vì thế kiểm soát chất lượng xương, đo mật độ xương bằng các thiết bị hiện đại là một việc nên làm thường xuyên, định kỳ
  •  Xây dựng không gian sống an toàn – Phòng tránh té ngã ở người cao tuổi
Phần lớn các trường hợp xảy ra do nguyên nhân té ngã. Do đó, việc xây dựng một không gian sống an toàn là điều cần thiết để hạn chế tối đa vấn đề đáng lo ngại này, đặc biệt trong các gia đình có người cao tuổi. Một số giải pháp hữu ích nên áp dụng gồm:
  • Sắp xếp đồ đạc gọn gang, Lắp đặt hệ thống ánh sáng đầy đủ.
  • Lắp đặt thanh vịn ở những nơi dễ xảy ra té ngã như: cầu thang, phòng tắm.
  • Giữ sàn nhà luôn khô, tránh trơn trượt.
  • Tập thể dục
Luyện tập thể dục thể thao đều đặn sẽ giúp làm chậm quá trình mất xương và tăng cường sức mạnh cơ bắp. Đây đồng thời cũng là giải pháp để cải thiện sự cân bằng, phòng tránh té ngã nguy hiểm.
  • Xây dựng lối sống lành mạnh
Việc duy trì cân nặng hợp lý sẽ giúp làm giảm áp lực lên xương, từ đó hạn chế nguy cơ gãy xương nguy hiểm, kể cả vùng đùi. Bên cạnh đó, chế độ dinh dưỡng hàng ngày cũng đóng vai trò vô cùng quan trọng. Các nhóm thực phẩm giàu Canxi, Vitamin D… cần được bổ sung đầy đủ để đảm bảo xương phát triển khỏe mạnh, hạn chế tối đa các tổn thương không mong muốn. Ngoài ra, việc từ bỏ các thói quen có hại như hút thuốc, uống rượu bia… cũng sẽ đem đến nhiều cải thiện tích cực.
 

Tác giả: Bs. Hồ Phan Trọng Quỳnh Khoa Ngoại Chấn thương - Bỏng

Tổng số điểm của bài viết là: 1 trong 1 đánh giá

Xếp hạng: 1 - 1 phiếu bầu

  Ý kiến bạn đọc

Những tin mới hơn

Những tin cũ hơn

Album ảnh bệnh viện
Bạn đã không sử dụng Site, Bấm vào đây để duy trì trạng thái đăng nhập. Thời gian chờ: 60 giây
Gửi phản hồi