tin tuc

Thoát Vị Cơ Hoành Bẩm Sinh (Congenital Diaphragmatic Hernia)

Thứ tư - 14/09/2022 21:43
Thoát Vị Cơ Hoành Bẩm Sinh (Congenital Diaphragmatic Hernia)
1. Đại cương
Thoát vị cơ hoành bẩm sinh là do sự phát triển không hoàn thiện của cơ hoành, gây nên tình trạng tạng trong ổ bụng di chuyển vào lồng ngực gây chèn ép phổi và cản trở chức năng tạng thoát vị. Trẻ thoát vị hoành bẩm sinh thường kèm với suy hô hấp ở nhiều mức độ khác nhau (trẻ không thở hiệu quả) vì phổi và mạch máu phổi bên thoát vị hoành kém phát triển.
Tỷ lệ mắc bệnh 1/2.500-3500 trẻ sinh sống, nam mắc nhiều hơn nữ. Tổn thương có thể phía trước, trung tâm hay sau bên, trong đó 84% là bên trái, 13% là bên phải và 2% là thoát vị hoành 2 bên.
Hình 1. Hình ảnh mô tả trẻ bình thường và trẻ có thoát vị cơ hoành
Hình 1. Hình ảnh mô tả trẻ bình thường và trẻ có thoát vị cơ hoành

Phát triển cơ hoành thường hoàn thành trước 9 tuần tuổi thai. Thoát vị cơ hoành bẩm sinh là kết quả thất bại của sự hợp nhất của một trong những kênh màng phổi ở khoảng 8 tuần tuổi thai. Chúng có thể chứa dạ dày, ruột, gan hoặc lá lách.
Hầu hết các thoát vị cơ hoành bẩm sinh được phát hiện ngay sau khi sinh hoặc trên siêu âm trước khi sinh. Tỷ lệ tử vong và tỷ lệ bệnh tật phụ thuộc tình trạng thiểu sản phổi, sự đáp ứng với thông khí nhân tạo và sự hiện diện của tăng áp phổi kháng trị. Những đứa trẻ sơ sinh như vậy bị thiếu oxy và có tuần hoàn thai nhi dai dẳng do giảm sản phổi và tăng áp phổi.

 
2. Dấu hiệu nhận biết trẻ có thoát vị hoành ?
Biểu hiện ở giai đoạn sơ sinh bằng suy hô hấp ngay sau khi sinh với các biểu hiện tím quanh môi, cánh mũi phập phồng, co rút hõm ức… Khám thấy ngực cùng bên thoát vị gồ cao, bụng lép, nghe rì rào phế nang cùng bên giảm, tim bị đẩy sang phía đối diện, đôi khi có thể nghe tiếng nhu động ruột. Có đến 20% trường hợp biểu hiện ngoài giai đoạn sơ sinh với tình trạng viêm phổi tái diễn hay nôn, đi cầu phân máu…
3. Cần xét nghiệm nào để chẩn đoán thoát vị hoành ?
  • X quang phổi có bóng hơi dạ dày hay ruột trong lồng ngực, trung thất bị đẩy về bên đối diện, không thấy vòm hoành.
  • X quang dạ dày cản quang: chỉ định trong trường hợp X quang phổi chưa xác định chẩn đoán. Trong trường hợp này thấy thuốc cản quang trong dạ dày, ruột nằm trong lồng ngực.
  • Siêu âm ngực bụng: thấy hình ảnh một số cơ quan trong ổ bụng nằm trong lồng ngực.
  • Siêu âm tim: tim lệch phải, đánh giá áp lực động mạch phổi, tìm dị tật tim bẩm sinh phối hợp
  • Khí máu động mạch
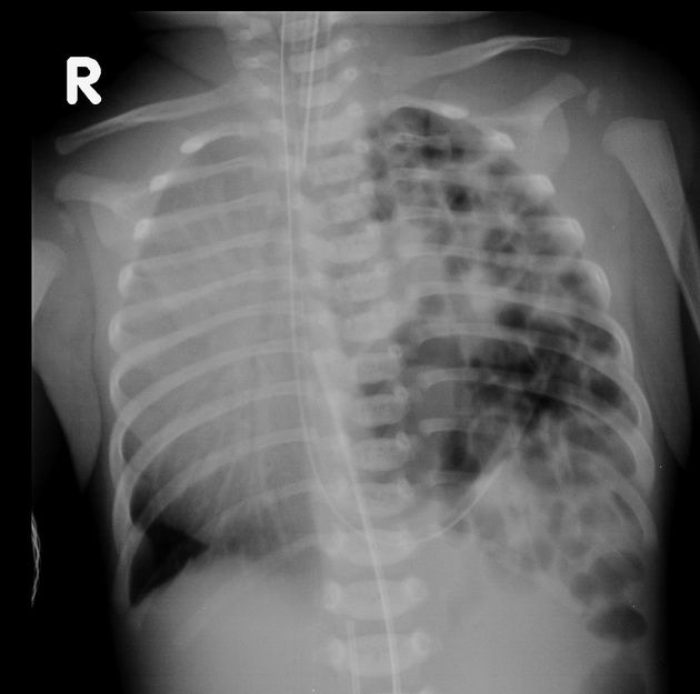
Hình 2. Hình ảnh Xquang ngực của trẻ bị thoát vị hoành bẩm sinh

 
4. Có cần phẫu thuật hay không?
Đây là một dị tật bẩm sinh cần phải phẫu thuật.
  Thời điểm phẫu thuật
  • Không phải là phẫu thuật cấp cứu
  • Đây là một phẫu thuật có trì hoãn sau khi ổn định lâm sàng, khí máu và tình trạng cao áp phổi
  • Các bác sĩ khoa hồi sức, bác sĩ gây mê và bác sĩ phẫu thuật viên sẽ hội ý với nhau để quyết định thời điểm phẫu thuật tốt nhất cho trẻ
  Phương pháp phẫu thuật
  • Có thể thực hiện phẫu thuật nội soi hay mổ mở
  • Mục đích: đưa tạng thoát vị trở lại ổ bụng và phục hồi cơ hoành. Việc phục hồi cơ hoành có thể bằng các cách sau:
    • Khâu lỗ thoát vị bằng chỉ không tan
    • Nếu lỗ thoát vị khá lớn hoặc khiếm khuyết cả cơ hoành: bác sĩ phẫu thuật viên phải sử dụng tấm ghép nhân tạo hay tự thân như cân cơ, vạc cơ gần đó để thay thế cơ hoành.
 
Hình 3. Hình ảnh mô tả phương pháp phẫu thuật thoát vị cơ hoành
Hình 3. Hình ảnh mô tả phương pháp phẫu thuật thoát vị cơ hoành
 
5. Tiến triển và biến chứng
      Tỷ lệ tử vong lên đến 25% do tình trạng thiểu sản phổi, tăng áp động mạch phổi và tình trạng nhiễm trùng, viêm phổi và các bệnh phối hợp.
Tình trạng chậm phát triển tinh thần các bệnh nhân sống sót được ghi nhận. Nguy cơ tái phát cao các trường hợp có lỗ khuyết hỗng cơ hoành lớn.
Biến chứng sau phẫu thuật: Tràn khí màng phổi, xẹp phổi, viêm phổi và thoát vị hoành tái phát (20%).
Dự đoán tỉ lệ sống và tỉ bệnh bệnh tật trong các trường hợp thoát vị hoành đơn độc hầu hết dựa vào đánh giá gián tiếp về kích thước của phổi đối bên (đại diện cho tình trạng giảm sản phổi).
Tái khám sau xuất viện khi nào ?
Sau xuất viện 1 tuần, 3 tháng, 6 tháng và 12 tháng
Tài liệu tham khảo
  1. Bệnh viện Nhi Trung Ương (2018), “ Hướng dẫn chẩn đoán và điều trị bệnh trẻ em”, Nhà xuất bản y học, tr.232-237.
  2. Bệnh viện Nhi Đồng 1 (2013), “ Phác đồ điều trị Nhi Khoa”, Thoát vị hoành, Nhà Xuất bản y học, tr.1043-1046
  3. Ngoại Nhi lâm sàng (2020), Thoát vị hoành, Nhà xuất bản y học, tr.328-346.
  4. Agrawal, R., Worsley, C. Congenital diaphragmatic hernia. Reference article, Radiopaedia.org. (accessed on 26 Aug 2022) https://doi.org/10.53347/rID-1161

Tác giả: Bs Trần Văn Nam - Khoa Nhi

 Từ khóa: bẩm sinh

Tổng số điểm của bài viết là: 0 trong 0 đánh giá

  Ý kiến bạn đọc

Những tin mới hơn

Những tin cũ hơn

Album ảnh bệnh viện
Bạn đã không sử dụng Site, Bấm vào đây để duy trì trạng thái đăng nhập. Thời gian chờ: 60 giây
Gửi phản hồi