Kỹ thuật tiêu sợi huyết não thất trong điều trị xuất huyết não -não thất

Thứ sáu - 07/10/2022 00:17
Kỹ thuật tiêu sợi huyết não thất trong điều trị xuất huyết não -não thất
I. Tiêu sợi huyết não thất là gì?
  Đột quỵ não gồm 2 dạng: xuất huyết não và nhồi máu não. Xuất huyết não thất thường thứ phát sau xuất huyết não góp phần làm tăng mức độ nặng, tăng tỷ lệ di chứng và tử vong ở bệnh nhân xuất huyết não. Trước đây điều trị xuất huyết não thất có giãn não thất cấp là đặt dẫn lưu não thất ra ngoài. Tuy nhiên tắc dẫn lưu thường hay xảy ra khi thể tích xuất huyết não thất lớn khiến việc khiểm soát áp lực nội sọ khó khăn, hơn nữa dẫn lưu não thất cũng không làm giảm một cách nhanh chóng lượng máu trong não thất. Kỷ nguyên thuốc tiêu sợi huyết đặc biệt là Alteplas đã tạo được một sự thay đổi lớn trong điều trị xuất huyết não thất.
 Tiêu sợi huyết não thất là kỹ thuật sử dụng thuốc tiêu sợi huyết (rt-PA) bơm vào não thất qua dẫn lưu não thất để làm tiêu nhanh máu đông trong não thất (đặc biệt là não thất 3 và não thất 4), tạo thuận làm thông sớm hệ thống não thất phía dưới và từ đó tránh được biến chứng giãn não thất.
II. GIẢI PHẪU HỆ THỐNG NÃO THẤT
  Hệ thống não thất là một mạng lưới các khoang lưu thông với nhau chứ đầy dịch não tủy và nằm trong nhu mô não. Hệ thống não thất bao gồm 2 não thất bên, não thất III, cống não và não thất IV. Các đám rối mạch mạc nằm trong các não thất sản sinh ra dịch não tủy. Dịch não tủy chứa đầy trong các não thất và khoang dưới nhện sau mỗi chu kì sản sinh và tái hấp thu hằng định.
Hệ thống não thất
Hệ thống não thất
Các não thất bên lưu thông với não thất III qua hai lỗ liên não thất (lỗ Monro), não thất III lưu thông với não thất IV qua cống não (cống Sylvius). Dịch não tủy được bài tiết bởi các đám rối mạch mạc làm đầy hệ thống não thất. Dịch não tủy chảy ra khỏi não thất IV qua 3 lỗ bao gồm 2 lỗ bên (lỗ Luschka ) và lỗ giữa (lỗ Magendie) được hình thành vào tuần thứ 12 của thai kỳ.
3. Chỉ định tiêu sợi huyết não thất
Kỹ thuật tiêu sợi huyết não thất được chỉ định cho trường hợp có đầy đủ các tiêu chuẩn sau:
- Rối loạn ý thức đột ngột.
- Xuất huyết não và/hoặc chảy máu não thất.
- Thể tích khối máu tụ nhu mô não ≤ 30 mm3 (thể tích khối máu tụ tính theo công thức ABC/2).
- Chảy máu não thất 3 và/hoặc não thất 4.
- Giãn não thất cấp thể tắc nghẽn và đã được dẫn lưu não thất ra ngoài.
- Xuất huyết não và/hoặc chảy máu não thất không tiến triển thêm, không có chảy máu mới (chảy máu xung quanh chân dẫn lưu não thất) sau 6 giờ dẫn lưu não thất ra ngoài.
- Huyết áp tâm thu < 200 mmHg trong ít nhất 6 giờ trước khi thực hiện kỹ thuật tiêu sợi huyết não thất.
4. Chống chỉ định tiêu sợi huyết não thất
-  Kỹ thuật tiêu sợi huyết não thất chống chỉ định cho một trong các trường hợp sau:
- Túi phình động mạch não vỡ, dị dạng thông động tĩnh mạch não vỡ hoặc u não.
- Dị dạng mạch ở đám rối mạch mạc hoặc hội chứng Moyamoya.
- Rối loạn đông máu (số lượng tiểu cầu < 100.000; INR > 1,4).
- Phụ nữ có thai.
- Xuất huyết não vùng dưới lều (xuất huyết thân não hoặc liệt dây thần kinh số 3).
- Xuất huyết dưới nhện.
- Xuất huyết não và/hoặc chảy máu não thất tiến triển thêm.
- Xuất huyết nội tạng.
- Xuất huyết dưới da.
-Người bệnh và/hoặc gia đình người bệnh không đồng ý thực hiện kỹ thuật.
5. Các bước chuẩn bị
- Người làm thủ thuật: 1 bác sĩ được đào tạo thành thạo về kỹ thuật dẫn lưu não thất và sử dụng thuốc tiêu sợi huyết và 2 điều đường được đào tạo về phụ giúp bác sĩ dẫn lưu não thất và dùng thuốc tiêu sợi huyết.
- Dụng cụ: Thuốc tiêu sợi huyết rtPA hay Alteplase (biệt dược là Actilyse ® của công ty Boehringer Ingelheim, có đủ tiêu chuẩn và giấy phép sử dụng của Bộ Y Tế, đóng ống 50mg alteplase và ống 50ml nước cất pha thuốc).
- Thuốc: Sát khuẩn tại chỗ, thường dùng Povidone iod 10% (Betadine). Dung dịch nước muối sinh lý (NaCl 0,9%) đóng chai vô khuẩn. Ống tiêm loại 5ml và 10ml vô khuẩn, kim lấy thuốc vô khuẩn. Băng gạc vô khuẩn, găng tay vô khuẩn, xăng vô khuẩn và áo choàng vô khuẩn. Máy theo dõi (monitor) và máy theo dõi áp lực nội sọ.
- Người bệnh: Cần kiểm tra các chức năng sống (mạch, huyết áp,...), áp lực nội sọ. Thăm khám đánh giá tình trạng ý thức, các tổn thương thần kinh, dấu hiệu kích thước và phản xạ đồng tử,... Tình trạng dẫn lưu não thất, dịch não tủy (số lượng, tính chất dịch não tủy,...) Kiểm tra lại các phim CT sọ não, MSCT mạch não để đánh giá lại tình trạng xuất huyết não, chảy máu não thất,... Người bệnh hoặc người nhà phải ghi bản cam kết làm kỹ thuật.
6. CÁC BƯỚC TIẾN HÀNH
- Đặt dẫn lưu não thất ra ngoài được các bác sĩ chuyên khoa Ngoại Thần kinh thực hiện.
- Dẫn lưu não thất được chỉ định vì mục đích theo dõi áp lực nội sọ và dẫn lưu dịch não tủy ra ngoài cho bệnh nhân xuất huyết não thất có giãn não thất cấp.
- Dẫn lưu não thất được đặt vào sừng trán của não thất bên có máu chảy ít nhất. Vị trí của dẫn lưu trong não thất được xác định bằng phim CLVT sọ não.
- Điều trị tiêu sợi huyết não thất bằng cách bơm 1 mg/1ml Alteplase cho mỗi liều qua dẫn lưu não thất bằng kĩ thuật bơm đẳng tích vô khuẩn để đảm bảo thuốc được đẩy hết ra khỏi ống dẫn lưu vào tới tận máu đông trong não thất. Tổng số lượng liều tiêu sợi huyết tối đa là 9 liều, mỗi liều cách nhau 8h.
Quy trình bơm thuốc tiêu sợi huyết vào não thất và theo dõi áp lực nội sọ được tiến hành theo các bước sau:
- Hút ra 5ml dịch não tủy qua dẫn lưu não thất
- Bơm 1mg Alteplase vào não thất qua dẫn lưu não thất
- Bơm 4ml nước muối vào não thất
- Đóng hệ thống dẫn lưu não thất trong 2h. Trong thời gian này áp lực nội sọ được theo dõi liên tục.
+ Nếu áp lực nội sọ tăng trên 20mmHg trong hơn 5 phút mà không có kích thích nào tới bệnh nhân thì điều trị tăng áp lực nội sọ bằng truyền manitol tĩnh mạch, tăng thông khí
+ Nếu áp lực nội sọ vẫn tăng sau các điều trị trên thì nên mở hệ thống dẫn lưa não thất để dẫn lưu dịch não tủy ra ngoài.
+ Nếu áp lực nội sọ vẫn tăng sau khi mở hệ thống dẫn lưu não thất thì tiến hành chụp CLVT sọ não để loại trừ biến chứng chảy máu
- Sau 2h đóng hệ thống dẫn lưu não thất, hệ thống dẫn lưu não thất được mở để dẫn lưu máu, dịch não tủy, thuốc tiêu sợi huyết ra ngoài trong 6h cho tới lần tiêm thuốc tiêu sợi huyết tiếp theo
- Kết thúc tiêu sợi huyết não thất khi đáp ứng được ít nhất một trong các tiêu chuẩn sau:
+ Đã bơm vào não thất đủ 9 liều thuốc tiêu sợi huyết
+ Đã đạt được mục tiêu cuối cùng của tiêu sợi huyết não thất (não thất III, IV đã thông và hết giãn não thất)
+ Dẫn lưu não thất bị gián đoạn do tắc dẫn lưu, tuột dẫn lưu
+ Xuất hiện các biến chứng của tiêu sợi huyết não thất
- Sau liều thuốc tiêu sợi huyết cuối cùng, đóng dẫn lưu não thất trong 2h và sau đó mở dẫn lưu trong 24h để loại bỏ hoàn toàn thuốc tiêu sợi huyết và plasmin tự do.
- Phim CT sọ não được chụp lại sau 24 giờ, 48 giờ và 72 giờ. Thuốc tiêu sợi huyết (rtPA) được bơm vào não thất mỗi 8 giờ cho tới khi máu trong não thất ba và não thất bốn tiêu hết với tổng liều tối đa ≤ 9 mg.
Đánh giá kết quả
Điều trị tiêu sợi huyết não thất thành công khi:
- Cả não thất III và IV được thông
- Hiệu ứng khối liên quan đến xuất huyết não thất (não thất giãn hoặc di lệch do chèn ép) đã được khắc phục (hết giãn não thất, thân não không bị đè đẩy do máu đông trong não thất IV)
Những dấu hiệu cần xử trí ngay:
  + Suy giảm ý thức : được xác định bằng tụt điểm Glasgow ≥2 điểm mà không do thuốc an thần trong vòng 24h đầu kể từ khi bắt đầu điều trị
  + Tăng áp lực nội sọ >20mmHg trên 5 phút
7. Theo dõi quá trình tiến triển
- Theo dõi sát các chỉ số sinh tồn, tình trạng ý thức, mạch, huyết áp, điện tim, tình trạng hô hấp.
- Theo dõi diễn biến và kết quả của kỹ thuật: Thay đổi lâm sàng (Glasgow),điện tâm đồ, kết quả tái thông não thất, áp lực nội sọ, tình trạng hô hấp, huyết áp,...
- Theo dõi các biến chứng của thuốc tiêu sợi huyết: Chảy máu tại nơi bơm thuốc, chân catheter, chảy máu dưới da, thay đổi ý thức (xuất huyết não), đái máu, xuất huyết
8. Các tai biến và biến chứng có thể gặp trong điều trị
- Xuất huyết não và/hoặc chảy máu não thất mới.
- Khối máu tụ nhu mô não và/hoặc chảy máu não thất tiến triển (tái phát).
- Chảy máu não xung quanh chân dẫn lưu não thất.
- Nhiễm trùng thần kinh trung ương.
- Viêm não thất, viêm màng.
- Áp xe não dưới màng nhện. tiêu hóa,...
Bệnh nhân xuất huyết não thất được đặt EVD và bơm tiêu sợi huyết
Bệnh nhân xuất huyết não thất được đặt EVD và bơm tiêu sợi huyết
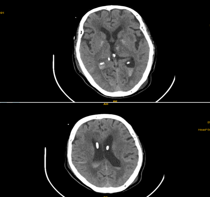
CT sọ não trước đặt EVD
CT sọ não trước đặt EVD
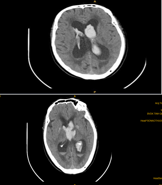
CT sọ não sau bơm 3 liều Alteplase
CT sọ não sau bơm 3 liều Alteplase
 
 

 

Tổng số điểm của bài viết là: 11 trong 3 đánh giá

Xếp hạng: 3.7 - 3 phiếu bầu
Click để đánh giá bài viết

  Ý kiến bạn đọc

Những tin mới hơn

 

Những tin cũ hơn

Đơn vị chủ quản
Chuyển giao diện: Tự động Máy Tính
TRUNG TÂM TIN HỌC TỈNH QUẢNG TRỊ
ĐC: 45 Hùng Vương, TP Đông Hà, Quảng Trị
ĐT: 0233.553350 - Email: trungtamtinhoc@quangtri.gov.vn