tin tuc

Nang giả tụy xuất huyết do vỡ túi giả phình mạch

Thứ ba - 17/01/2023 21:05
ABTRACT
Pancreatic pseudocysts are seen both in pancreatitis and Pancreatic trauma. Complications of pancreatic pseudocyst include compression of abdominal great vessels, gastric outlet or duodenal stenosis, Stenosis of the common bile duct due to compression, infected pancreatic pseudocysts, Pancreaticopleural fistula, rupture of a pseudocyst and hemorrhage into the cyst …We present a case of a 74-year-old female with a pancreatic pseudocyst who underwent pseudocystogastrostomy and had a rare complication of hemorrhagic pseudocyst on the 4th postoperative day. The patient underwent an urgent interventional radiology visceral angiogram which showed a pseudoaneurysm in a branch of gastroduodenal artery and the aneurysm was successfully embolized with packing coils.
I. Đặt vấn đề
Nang giả tụy có thể gặp sau viêm tụy hay chấn thương tụy. Biến chứng của nang giả tụy bao gồm: chèn ép các mạch máu lớn, tắc đường ra của dạ dày hay của tá tràng, chèn ép đường mật gây tắc mật, nhiễm khuẩn nang, vỡ nang, rò tụy màng phổi và chảy máu trong nang tụy... Chúng tôi giới thiệu một trường hợp nang giả tụy vùng đầu tụy biến chứng chèn ép ống mật chủ gây tắc mật. Trong quá trình hậu phẫu dẫn lưu nang với dạ dày xuất hiện thêm biến chứng chảy máu do vỡ giả phình mạch và đã được điều trị thành công bằng can thiệp nội mạch. Qua đó hệ thống lại: Chỉ định và các phương pháp điều trị nang giả tụy. Rút kinh nghiệm trong nhận định và xử lý biến chứng chảy máu do vỡ túi giả phình mạch trong bệnh cảnh nang giả tụy.
II. Giới thiệu ca bệnh
Bệnh nhân NGUYỄN THỊ D. 74 tuổi vào viện ngày 23/11/2022 vì đau thượng vị quanh rốn, buồn nôn, nôn ra ít dịch vàng.
Tiền sử:
-  Viêm tụy cấp vào tháng 4/2022 sau ra viện ổn, không có biến chứng
- Tháng 8/2022 bệnh nhân bị viêm tụy cấp lần 2 (XN amylase 515, CT có ổ tụ dịch vùng đầu tụy 46x38x27 mm, mặt trước thân đuôi tụy 86x65x157 mm). Bệnh nhân không đồng ý can thiệp tại khoa, xin lên tuyến trên. Lên tuyến trên đưọc điều trị nội khoa và phẫu thuật nội soi thám sát, đặt dẫn lưu ổ bụng (không can thiệp gì nang tuy) sau đó cho ra viện.
Ghi nhận lúc vào viện:
- Bệnh tỉnh táo, huyết động ổn, không sốt, đau thượng vị quanh rốn, buồn nôn, nôn ít dịch vàng. Bụng mềm, chướng nhẹ, mass lớn thượng vị kích thước 8x10cm, ân đau. Trung tiện được, nước tiểu trong.
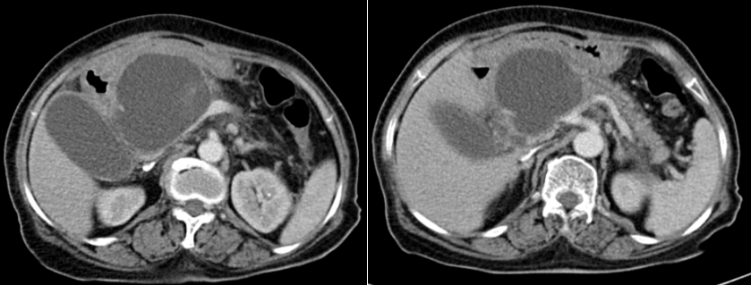
- CT Scan ngày 24/11: Viêm tụy cấp, nang đầu tụy 8x7cm chèn ép ống mật chủ gây gãn nhẹ đường mật trong gan. Được chẩn đoán: viêm tụy đợt cấp/ nang giả tụy.
Hình 1 và 2. CT scan ngày 24/11 nang đầu tụy 8x7cm chèn ép ống mật chủ gây gãn nhẹ đường mật trong gan
Hình 1 và 2.  CT scan ngày 24/11 nang đầu tụy 8x7cm chèn ép ống mật chủ
 gây gãn nhẹ đường mật trong gan
- Bệnh nhân được đặt sonde dạ dày, nhịn ăn, điều trị nội khoa tích cực (nuôi dưỡng tĩnh mạch, kháng sinh cefalosporin III, levofloxacin, kháng tiết, sandostatin).
- Quá trình điều trị từ 23/11 đến 04/12 tình trạng lâm sàng duy trì tạm ổn, bệnh nhân đỡ đau, tuy nhiên ăn vào vẫn nôn, mass thượng vị không thay đổi. Xét nghiệm công thức máu, chức năng đông máu, thận trong giới hạn bình thường, bilirubin giảm nhiều.
Ngày 23/11 24/11 28/11 01/12
Amylase 879 657 690 731
Bilirubin toàn phần 150,7 57,1 30,6 32,4
Bilirubin trực tiếp 87 11,7 12,7 10,5
ALT 358 284 100 86
AST 440 462 53 222
- Đến ngày 5/12 bệnh nhân vàng da rõ, xét nghiệm bilirubin tăng cao (bilirubin toàn phần 482 mmol/L, bilirubin trực tiếp 282,1 mmol/L). Bệnh nhân được chỉ định phẫu thuật nối nang tụy ngày 08/12. Trong mổ ghi nhận nang lớn đầu tụy nằm dính vào mặt sau dạ dày, quyết định nối nang tụy với mặt sau dạ dày. Dịch trong nang được nuôi cấy vi khuẩn, kết quả âm tính.


Sau mổ ghi nhận:
- Đau thượng vị quanh rốn giảm, giảm buồn nôn, không nôn, mass thượng vị giảm nhiều. Xét nghiệm amylase giảm về bình thường, bilirubin giảm đều.
Ngày 09/12 11/12 13/12 15/12
Amylase - 25 28 38
Bilirubin toàn phần 206,5 102,5 78,3 72,9
Bilirubin trực tiếp 105,1 49,6 30,7 31,9
- 11h55 ngày 11/12: Bệnh nhân nôn ra máu tươi, huyết động ổn, được truyền tổng cộng 04 đơn vị hồng cầu khối và 02 đơn vị plasma tươi.
Ngày 09/12 11/12 (11h55) 11/12 (14h) 12/12 (5h30) 12/12 (8h) 13/12
Hồng cầu 3,01 2,74 3,55 3,02 3,09 3,32
Hb 91 81 76 84 86 96
HCT 24,7 23,1 23,3 23,6 24,2 26,2
- Bệnh ổn không nôn ra máu đến 17h ngày 15/12 bệnh nhân nôn ra máu tươi trở lại, huyết áp dao động 80/50 – 90/50, mạch 130 – 140 lần/ phút, sau đó được chuyển đến khoa hồi sức tích cực điều trị.
Ghi nhận tại khoa hồi sức tích cực: Bệnh nhân được hồi sức tích cực (có dùng vận mạch), tuyền tổng cộng 5 đơn vị hồng cầu khối, 3 đơn vị plassma, chụp CT bụng có thuốc cản quang, nội soi dạ dày cấp cứu ghi nhận dạ dày sạch, miệng nối không thấy chảy máu, trong nang có nhiều máu đông.
Hình 3 và 4. Hình ảnh chảy máu trong nang (nội soi) và CT scan ngày 15/12
Hình 3 và 4. Hình ảnh chảy máu trong nang (nội soi) và CT scan ngày 15/12
Đến ngày 19/12 Bệnh ổn về phương diện hồi sức, bệnh được chuyển về lại khoa Ngoại Tổng hợp.
Ghi nhận tại khoa Ngoại Tổng hợp: (Từ 19/12 đến 26/12)
- Ngày 19/12: Bệnh tỉnh táo, huyết động ổn, sonde dạ dày ra ít dịch trong, không máu.
- Ngày 23/12, 24/12:  bệnh nhân nôn ra máu tươi, huyết động ổn, được truyền tổng cộng 4 đơn vị hồng cầu khối, 2 đơn vị plasma. Sau truyền bệnh ổn, hết nôn ra máu, huyết động ổn.
Ngày 20/12 22/12 23/12 24/12
Hồng cầu 3,01 2,24 2,4 2,93
Hb 89 67 71 92
HCT 25,4 18,9 19,9 25,8
- Đến 8h ngày 27/12:  bệnh nhân lại nôn ra máu tươi, huyết áp dao động 80/40 – 90/50, mạch 120 lần/phút. Bệnh nhân được chỉ định chụp mạch tạng (DSA). Kết quả chụp mạch có 1 túi giả phình nằm ở 1 nhánh của động mạch vị tá tràng đang chảy máu. Bệnh nhân được can thiệp nút túi giả phình này. Sau can thiệp bệnh ổn đinh, theo dõi đên ngày 03/01/2023 bệnh nhân huyết động ổn, không nôn, ăn uống được, xét nghiệm công thức máu ổn. Bệnh nhân được ra viện cùng ngày, sau ra viện ổn.
Ngày 27/12 29/12 30/12 02/01
Hồng cầu 2,04 2,97 3,24 3,13
Hb 63 93 101 100,3
HCT 17,6 25 28 29,6
 
Hình 5 và 6. Chụp mạch trước can thiệp
Hình 5 và 6. Chụp mạch trước can thiệp
Hình 7 và 8. Chụp mạch sau can thiệp
Hình 7 và 8.  Chụp mạch sau can thiệp
III. Bàn luận
3.1. Chỉ định và các phương pháp điều trị nang giả tụy
Điều trị nang giả tụy bao gồm điều trị nội khoa, các biện pháp dẫn lưu hay cắt bỏ chúng.
- Điều trị nội khoa: Được đặt ra với các trường hợp nang giả tụy không có triệu chứng và biến chứng
- Các biện pháp dẫn lưu: bao gồm dẫn lưu ra da hay dẫn lưu vào đường tiêu hóa:
+ Dẫn lưu ra da: có thể thành công ở 50% các trường hợp nang giả tụy. Tuy nhiên, dẫn lưu ra da không được chỉ định ở các nang giả tụy có thông thương với ống tụy lớn hay các trường hợp tắc ống tụy chính. Nó cũng không được chỉ định trong các trường hợp trong nang có chứa máu, các tổ chức hoại tử đặc hay những bệnh nhân không thể chăm sóc ống dẫn lưu tại nhà. Chính vì vậy nó không phải là thủ thuật lựa chọn trong điều trị nang giả tụy. Hiện nay dẫn lưu ra da chỉ được áp dụng trong cấp cứu để dẫn lưu các nang nhiễm trùng hay ổ tụ dịch cấp tính vì tỷ lệ tái phát sau thủ thuật này lên đến 70% và trên 20% các trường hợp gây rò ra da.
+ Dẫn lưu vào đường tiêu hóa: bao gồm phẫu thuật dẫn lưu hay các thủ thuật dẫn lưu qua nội soi ống tiêu hóa. Đây là phương pháp điều trị được lựa chọn trong trường hợp nang giả tụy không có biến chứng.
+ Phẫu thuật dẫn lưu: là phẫu thuật tạo một đường thông thương giữa nang và dạ dày hay ruột non. Thường là nối nang với mặt sau dạ dày hay nối nang với hỗng tràng kiểu Roux- en- Y. Phẫu thuật được chỉ định khi không có chỉ định hay thất bại với các thủ thuật dẫn lưu ra da hay dẫn lưu bằng nội soi. Các nang nằm ở đuôi tụy hay khoảng cách giữa nang và thành dạ dày lớn hơn 1 cm.
+ Các thủ thuật dẫn lưu qua nội soi tiêu hóa: Có thể thực hiện qua bóng vater bằng nội soi mật tụy ngược dòng hay dẫn lưu trực tiếp qua thành dạ dày hay tá tràng.
* Dẫn lưu qua bóng vater bằng nội soi mật tụy ngược dòng: chỉ định khi nang giả tụy thông thương với ống tụy chính. Đặc biệt là các nang giả tụy nằm ở đầu, cổ hay thân tụy. Các nang nằm ở đuôi tụy thì việc có thông thương giữa nang và ống tụy chính hay không là không quan trọng vì nội soi mật tụy ngược dòng không tiếp cận được ống tụy chính vùng đuôi tụy nên thủ thuật này không thể thành công.
* Dẫn lưu trực tiếp qua thành dạ dày hay tá tràng: chỉ định khi nang nằm ngay cạnh dạ dày hay tá tràng và khoảng cách giữa thành dạ dày và thành nang dưới 1 cm. Khoảng cách này trên 1 cm là 1 chống chỉ định tương đối vì người ta e ngại có 1 mạch máu lớn nằm giữa chúng. Việc áp dụng siêu âm nội soi giúp thủ thuật có tỷ lệ thành công cao hơn.
+ Các thủ thuật dẫn lưu qua nội soi tiêu hóa là lựa chọn đầu tay trong điều trị nang giả tụy vì chúng là các thủ thuật xâm nhập tối thiểu, tỷ lệ thành công, tai biến và biến chứng không khác so với các phẫu thuật dẫn lưu.
*Phẫu thuật cắt bỏ nang: được chỉ định trong trường hợp nang giả tụy xâm lấn váo lách hoặc gây thuyên tắc tĩnh mạch lách. Trong trường hợp này cần cắt bỏ nang giả tụy kèm cắt lách. Nhìn chung phẫu thuật cắt bỏ không phải là biện pháp lựa chọn vì nó có tỷ lệ biến chứng và tử vong cao. Mặc dù nó là phẫu thuật triệt để nhất nhưng không được lựa chọn vì “Phẫu thuật triệt để, bệnh nhân triệt tiêu”
Đối với trường hợp của chúng tôi:
- Về chỉ định phẫu thuật:
Bệnh nhân có chỉ định phẫu thuật tuyệt đối vì nang giả tụy lớn đã có biến chứng tắc mật.
- Về phương pháp phẫu thuật:
Chỉ định nối nang là hợp lý vì thời gian hình thành nang đủ lâu (trên 6 tuần), vỏ nang dày, việc nối nang với dạ dày là lựa chọn phù hợp với vị trí của nang, nhận định trong mổ như vậy là chính xác.
Có ý kiến cho rằng tại sao không cắt nang mà lại nối nang: trong trường hợp này, chỉ định cắt bỏ nang (phẫu thuật cắt khối tá tụy) là không khả thi, là một phẫu thuật lớn, nguy cơ tai biến rất cao, bệnh nhân già yếu không thể chịu được cuộc phẫu thuật lớn như vậy.
3.2. Rút kinh nghiệm trong quá trình điều trị bệnh nhân này
- Thời gian chờ phẫu thuật và can thiệp:
Trong ca bệnh này thời gian chờ phẫu thuật khá dài, thời gian chờ can thiệp mạch giải quyết nguyên nhân xuất huyết cũng khá dài.
+ Lý do can thiệp phẫu thuật chậm là do bệnh nhân đang trong tình trạng viêm tụy cấp, chúng tôi muốn tình trạng viêm tụy ổn định mới can thiệp phẫu thuật. Tuy nhiên diễn tiến lâm sàng trở nên bất lợi, tình trạng tắc nghẽn đường mật quay trở lại nên quyết định phẫu thuật cấp cứu trì hoãn.
+ Lý do can thiệp mạch chậm là do sau khi đã loại bỏ các nguyên nhân chảy máu từ dạ dày (viêm loét hay chảy máu từ chỗ khâu nối) bằng nội soi tiêu hóa, chúng tôi cũng chưa chắc chắn được nguyên nhân chảy máu trong nang này là từ đâu ra. Mặt khác sau truyền máu thì tình trạng chảy máu này có chiều hướng dừng lại nên tiếp tục theo dõi. Tuy nhiên cứ sau 1 khoảng thời gian khoảng 4-5 ngày thì lại xuất hiện 1 đợt chảy máu tái phát buộc chúng tôi tìm hiểu y văn và biết được khả năng vỡ túi giả phình này. Có lẽ sau khi cục máu đông hình thành trong nang đã tạo ra 1 lực ép cầm máu tạm thời và khi quá trình tiêu sợi huyết xảy ra, áp lực đè ép này giảm đi thì sẽ gây chảy máu trở lại.
Vì vậy: cần phải nghĩ đến nguyên nhân xuất huyết trong nang do vỡ túi giả phình mạch và cân nhắc chụp mạch sớm để xác định và giải quyết sớm thương tổn. Sự chậm trễ sẽ gây tiêu tốn nhiều nguồn lực (thời gian điều trị, số lượng máu truyền) và còn nguy hiểm đến tính mạng của bệnh nhân.
Sau khi bệnh nhân xuất huyết đã can thiệp mạch. Có một số ý kiến cho rằng:
+ Do không cắt nang được triệt để nên có biến chứng xuất huyết. Chỉ định nối nang mà không cắt nang đã bàn luận ở trên.
+ Do phẫu thuật viên trong mổ không đánh giá được cuộc mổ, không đánh giá được thành phần dịch nang là máu nên không can thiệp triệt để, để xuất huyết sau phẫu thuật. Thực tế, dịch trong nang quan sát lúc phẫu thuật là dịch viêm của nang giả tụy, không có máu. Tác giả đã tìm các ca lâm sàng đăng trên các tạp chí có uy tín, đã có các báo cáo về các trường hợp xuất huyết sau nối nang, đây là một diễn tiến bệnh lý khách quan. Vỡ túi giả phình mạch sau dẫn lưu nang có thể do sự mất cân bằng về áp lực vốn có giữa túi giả phình và dịch trong nang. Sau khi dẫn lưu nang, áp lực trong nang giảm xuống làm cho áp lực trong túi giả phình tăng lên dẫn đến vỡ túi, gây xuất huyết.
- Về chỉ định can thiệp mạch cầm máu:
Đây là lựa chọn đầu tay trong điều trị các túi giả phình xuất huyết trong bệnh cảnh nang giả tụy. Phẫu thuật là lựa chọn thứ hai khi can thiệp mạch thất bại và phẫu thuật cũng là tối thiểu nghĩa là thắt mạch máu vùng đầu tụy để cầm máu chứ không phải phẫu thuật cắt bỏ.
III. Kết luận
- Về điều trị nang giả tụy bao gồm điều trị nội khoa và can thiệp ngoại khoa.
- Can thiệp ngoại khoa bao gồm dẫn lưu nang giả tụy vào đường tiêu hóa, dẫn lưu ra da, phẫu thuật cắt bỏ nang. Trong đó dẫn lưu nang giả tụy vào đường tiêu hóa là thủ thuật lựa chọn và dẫn lưu nang giả tụy vào đường tiêu hóa qua nội soi tiêu hóa là lựa chọn đầu tay khi cơ sở y tế có các bác sĩ làm nội soi can thiệp có kinh nghiệm và có phương tiện hiện đại.Phẫu thuật cắt bỏ nang tụy chủ yếu được chỉ định cho nang về phía đuôi tụy xâm lấn vào lách, hoặc gây tắc mạch máu lách.
- DSA là lựa chọn đầu tay trong điều trị các túi giả phình xuất huyết trong bệnh cảnh nang giả tụy, cũng là phương tiện giúp chẩn đoán, định hướng điều trị trong các trường hợp xuất huyết tiêu hóa chưa tìm rõ tiêu điểm.
TÀI LIỆU THAM KHẢO
1. Aghdassi et al (2008), “Diagnosis and Treatment of Pancreatic Pseudocysts in Chronic Pancreatitis”, Pancreas, 36(2), pp.105-112
2. Bose S. et al (2003), “Three cases of massive bleeding from pancreatic pseudocysts”, HPB, 5(2), pp. 114-117.
3. Chiang K.C. et al (2014), “Management of chronic pancreatitis complicated with a bleeding pseudoaneurysm”, World J Gastroenterol, 20(43), pp. 16132-16137.
4. Habashi S. et al (2009), “Pancreatic pseudocyst”, World J Gastroenterol, 15(1), pp.38-47.
5. Kudaravalli et al (2020), “Hemorrhagic pancreatic pseudocyst: A rare complication”, American Journal of Emergency Medicine, journal homepage: www.e lsevier.com/ locate/ajem.
6. Pan G. et al (2015), “Classification and Management of Pancreatic Pseudocysts”, Medicine, 94 (24), www.md-journal.com

Tác giả: TsBs Phan Khánh Việt,ThsBsnt Nguyễn Hoàng Nam

Tổng số điểm của bài viết là: 4 trong 4 đánh giá

Xếp hạng: 1 - 4 phiếu bầu

  Ý kiến bạn đọc

Những tin mới hơn

Những tin cũ hơn

Album ảnh bệnh viện
Bạn đã không sử dụng Site, Bấm vào đây để duy trì trạng thái đăng nhập. Thời gian chờ: 60 giây
Gửi phản hồi