tin tuc

Dị tật thắng lưỡi bám thấp ở trẻ em cần phát hiện, điều trị sớm

Thứ ba - 21/03/2023 21:37
Những năm gần đây, tật dính thắng lưỡi hay còn gọi là thắng lưỡi bám thấp là dị tật bẩm sinh rất thường gặp ở trẻ em, nhất là trẻ sơ sinh. Nếu không được phát hiện sớm, điều trị kịp thời, dị tật này khiến sự phát triển toàn diện của trẻ bị ảnh hưởng trầm trọng.
 1.Thắng lưỡi bám thấp là gì?  
         Thắng lưỡi là một nếp niêm mạc nối từ mặt dưới của lưỡi đến sàn miệng và xương hàm dưới. Thắng lưỡi bám thấp hay còn gọi là tật dính thắng lưỡi sẽ làm hạn chế hoạt động của đầu lưỡi. Dị tật này khiến trẻ nuốt khó khăn và hoạt động phát âm không hoàn thiện. Đối với trẻ sơ sinh, thắng lưỡi bám thấp cản trở vận động lưỡi, khiến trẻ bú khó, nuốt rất khó. Ở trẻ vào độ tuổi tập nói, dị tật này khiến trẻ chậm nói, nói ngọng và phát âm sai một số từ. Ngoài ra, thắng lưỡi bám thấp còn có thể gây một số bất thường trong quá trình mọc răng hàm dưới và sự phát triển của xương hàm. Nếu không được phát hiện điều trị kịp thời, dị tật này ảnh hưởng nhiều đến sự phát triển toàn diện của trẻ. Theo thống kê, có khoảng 5% trẻ sơ sinh gặp phải tật dính thắng lưỡi trẻ em và được phát hiện ngay trong tháng đầu sau sinh khi thăm khám sức khỏe định kỳ hoặc khi tiêm chủng.
2. Nguyên nhân dẫn đến dị tật dính thắng lưỡi ở trẻ
Tuy dị tật dính thắng lưỡi trẻ em không tạo thành nguy hiểm, nhưng chúng khiến công năng của lưỡi bị ảnh hưởng. Tính đến hiện nay, các chuyên gia y tế vẫn chưa phát hiện ra nguyên nhân dẫn đến tình trạng dị tật dính thắng lưỡi. Một số nghiên cứu khoa học đã đưa ra bằng chứng rằng dính thắng lưỡi trẻ em bắt nguồn từ yếu tố di truyền.
3. Dấu hiệu nhận biết 
          Dính thắng lưỡi là nguyên do khiến cho trẻ gặp trở ngại khi bú sữa, nên trẻ sẽ bú rất lâu và lên cân rất chậm. Dựa theo độ tuổi và mức độ mắc phải bệnh mà dấu hiệu của dị tật sẽ khác nhau, cụ thể: 
- Những cử động của lưỡi bị hạn chế do dây thắng lưỡi ngắn.
- Trẻ không thể thè đầu lưỡi qua khỏi môi.
- Trẻ không thể đưa đầu lưỡi chạm đến vòm họng.
- Khi khóc đầu lưỡi của trẻ có hình trái tim, có hình nhọn hoặc vuông khi trẻ nhỏ thè lưỡi.
- Răng cửa ở hàm dưới của trẻ bị hở hoặc nghiêng do dính thắng lưỡi.
- So với những đứa trẻ bình thường, trẻ dính thắng lưỡi gặp cản trở khi bú sữa và phát âm.
 
Trẻ nhỏ gặp trở ngại khi bú sữa nếu mắc bệnh dính thắng lưỡi
Trẻ nhỏ gặp trở ngại khi bú sữa nếu mắc bệnh dính thắng lưỡi

4. Trẻ bị ảnh hưởng như thế nào khi bị dính thắng lưỡi?
Dị tật dính thắng lưỡi không những tạo thành ảnh hưởng đến sự phát âm của trẻ nhỏ mà còn khiến cho giọng nói của trẻ bị ngọng, gặp khó khăn khi nói. Bên cạnh đó, dị tật này còn dẫn đến nhiều ảnh hưởng khác, chẳng hạn như: 
- Việc ăn uống gặp nhiều trở ngại do lưỡi bị co lại khi nuốt thức ăn, do đó trẻ lười ăn, nhẹ cân.
- Vì tật dính thắng lưỡi khiến cho những răng cửa ở hàm dưới có khe hở hoặc bị nghiêng làm hàm răng trở nên mất thẩm mỹ.
5. Các mức độ dính thắng lưỡi thường gặp 
Phụ thuộc vào độ dài của dây thắng lưỡi bằng cách đo từ nơi dính ở lưỡi đến vị trí dính tại sàn miệng mà chúng ta có thể phân loại các mức độ dính thắng lưỡi.
- Mức độ 1 - nhẹ: Từ 12 - 16mm 
- Mức độ 2 - trung bình: Từ 8 - 11mm 
- Mức độ 3 - nặng: Từ 3 - 7mm 
- Mức độ 4 - hoàn toàn: Dưới 3mm 
6. Phương pháp điều trị tật dính thắng lưỡi ở trẻ
Hiện nay, tại khoa Răng hàm mặt Bệnh viện đa khoa tỉnh Quảng Trị, phẫu thuật cắt dính thắng lưỡi là một phẫu thuật thường quy được thực hiện bởi đội ngũ y bác sỹ giàu kinh nghiệm. Các bậc phụ huynh nếu phát hiện con em mình có các biểu hiện của tật dính thắng lưỡi nên đưa trẻ đến đến để được các bác sĩ thăm khám và chẩn đoán mức độ dính thắng lưỡi một cách chính xác. Từ đó xác định xem có nên cho trẻ phẫu thuật cắt thắng lưỡi không. 

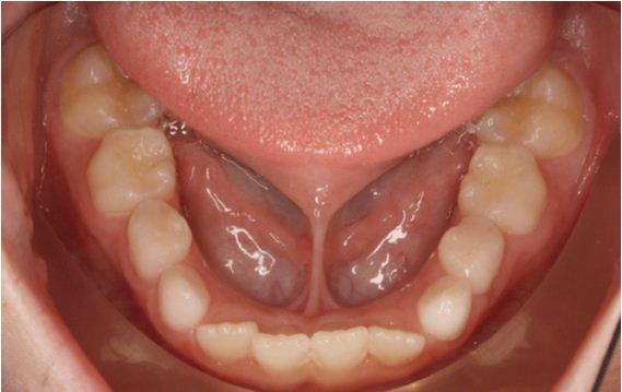
HÌNH ẢNH TRƯỚC VÀ SAU PHẪU THUẬT 01 NGÀY CỦA BN NGUYỄN ANH  NG. (9T) TẠI KHOA RĂNG HÀM MẶT – BVĐK TỈNH QUẢNG TRỊ
 
 
    
 

Tác giả: ThsBs. Trần Tuấn Anh - khoa RHM

Tổng số điểm của bài viết là: 9 trong 5 đánh giá

Xếp hạng: 1.8 - 5 phiếu bầu

  Ý kiến bạn đọc

Những tin mới hơn

Những tin cũ hơn

Album ảnh bệnh viện
Bạn đã không sử dụng Site, Bấm vào đây để duy trì trạng thái đăng nhập. Thời gian chờ: 60 giây
Gửi phản hồi