tin tuc

Tán sỏi ngoài cơ thể điều trị sỏi thận

Chủ nhật - 21/07/2019 20:00
1. TỔNG QUAN
Trên thế giới, sỏi tiết niệu nói chung và sỏi thận nói riêng là một bệnh lý rất phổ biến, chiếm tỷ lệ dao động từ 2-14% dân số. Việt Nam là một nước nằm trong khu vực vành đai sỏi của thế giới nên tỷ lệ sỏi tiết niệu cao, tỷ lệ bệnh nhân sỏi tiết niệu chiếm khoảng 1-3% dân số và chiếm 40-60% bệnh lý tiết niệu nói chung, là bệnh lý hay gặp nhất trong chuyên khoa tiết niệu.
Trước kia, phẫu thuật mở là lựa chọn đầu tay trong việc điều trị sỏi thận. Cho đến những năm 80, Chaussy C. và cộng sự (1980) đã cho ra đời phương pháp tán sỏi ngoài cơ thể, được xem là một cuộc cách mạng trong điều trị bệnh sỏi thận. Bên cạnh đó với sự ra đời của hàng loạt các phương pháp can thiệp ít xâm lấn khác như lấy sỏi thận qua da, nội soi niệu quản – thận tán sỏi ngược dòng, mổ nội soi lấy sỏi thận xuyên và sau phúc mạc thì phẫu thuật mở trong điều trị sỏi thận chỉ còn ít hơn 5% ở các nước phát triển.
Đối với sỏi thận có kích thước ≤ 20mm thì tán sỏi ngoài cơ thể là được xem là một trong những phương pháp được lựa chọn hàng đầu. Những trường hợp sỏi lớn hơn cần cân nhắc cụ thể trong từng trường hợp, dựa vào mức độ cản quang, diện tích bề mặt sỏi, vị trí sỏi trong thận hay số lượng sỏi... Trong những trường hợp này, thường phải kết hợp với tán sỏi ngoài cơ thể với lấy sỏi thận qua da để tăng hiệu quả điều trị hết sỏi của phương pháp.
Chống chỉ định của tán sỏi ngoài cơ thể trong điều trị sỏi thận đối với phụ nữ có thai, rối loạn đông chảy máu không kiểm soát, nhiễm trùng đường tiểu đang tiến triển, phình động mạch chủ và/hoặc động mạch thận, quá béo phì và tắc nghẽn đường tiết niệu dưới viên sỏi cần tán. Những chống chỉ định tương đối bao gồm kích thước sỏi, vị trí sỏi ở đài dưới hoặc kèm với túi thừa đài thận, thành phần của viên sỏi, bệnh nhân không chịu đựng được tán sỏi ngoài cơ thể và không đồng ý với phương pháp này. Tuy nhiên, đặt máy tạo nhịp không phải là một chống chỉ định tương đối.
Bệnh viện Đa khoa tỉnh Quảng Trị đã triển khai tán sỏi ngoài cơ thể trong điều trị sỏi thận từ tháng 8 năm 2018, đã điều trị được gần 100 trường hợp và cho kết quả điều trị tốt với tai biến, biến chứng thấp, tỷ lệ sạch sỏi sau tán cao.
Máy tán sỏi ngoài cơ thể đang được sử dụng tại Bệnh viện là máy HD ESWL-V với hệ thống phát xung kích là điện thủy lực. Máy ứng dụng kỹ thuật tán sỏi bằng năng lượng thấp, sử dụng định vị theo sát hai hướng bằng tia X, nguồn sóng xung kích có thể lựa chọn thâm nhập tốt nhất vào cơ thể từ một góc độ bất kỳ. Giường điều trị linh hoạt nhiều công dụng có thể chuyển động về một phía của máy chủ, để cho C-arm chuyển được lên phía trên nên có thể chụp phim với chất lượng tốt nhất. Bộ phận định vị bằng siêu âm tiện dụng.
1
Hình 1. Máy tán sỏi ngoài cơ thể HD ESWL-Vtại Bệnh viện
2
Hình 2.Tư thế Bệnh nhân và quá trình tán sỏi ngoài cơ thể
3
Hình 3.Hình ảnh sỏi thận trước tán và sau tán
2. CƠ CHẾ CỦA TÁN SỎI NGOÀI CƠ THỂ
Trong tán sỏi ngoài cơ thể (TSNCT), sóng xung kích được tạo ra bởi một hệ thống bên ngoài cơ thể bệnh nhân, truyền vào trong cơ thể và sau đó tập trung vào sỏi thận. Sự độc đáo của thiết bị này ở điểm nó tạo ra sóng xung kích tập trung. Những sóng xung kích này được tạo ra đủ mạnh chỉ đến mục tiêu là những viên sỏi và nhằm mục đích phá vỡ chúng. Những viên sỏi được phá vỡ theo cả 2 cơ chế: nén và lực kéo.
Hiện nay, có 4 hệ thống máy phát sóng xung kích khác nhau được sử dụng rộng rãi trên thế giới:
- Hệ thống điện thủy lực.
- Hệ thống điện từ trường.
- Sóng gốm điện áp.
- Sóng nổ.
2.1. Hệ thống điện thủy lực
Nguyên lý: hai điện cực nằm cạnh nhau trong một bình phát sóng, khi đánh lửa giữa 2 điện cực có điện cao áp hàng chục KV trong môi trường nước tạo vụ nổ nhỏ làm tăng thể tích đột ngột và phát ra một loại sóng thủy lực. Các sóng của vụ nổ này lan tỏa theo các hướng khác nhau, nhưng nhờ đáy bình phát sóng được cấu tạo hình elip như gương cầu lõm để hội tụ lại vào tiêu điểm F2 chính là viên sỏi cần tán.
4
Hình 4.Hệ thống hệ thống tán sỏi ngoài cơ thể sử dụng năng lượng điện thủy lực
2.2. Hệ thống điện từ trường
Dùng một cuộn dây điện từ trường và một màng kim loại đặt đối diện, sóng được sinh ra khi cho một xung điện cao áp chạy vào cuộn dây, một từ trường thay đổi mạnh sẽ được sinh ra và tạo một dòng điện cảm ứng trong màng kim loại đối diện. Dòng điện cảm ứng thay đổi ở màng kim loại làm rung màng kim loại phát ra sóng trong một dụng cụ hình ống, sau đó các sóng qua dụng cụ để hội tụ ngay tại tiêu điểm F2 (viên sỏi cần phá).
5
Hình 5.Hệ thống hệ thống tán sỏi ngoài cơ thể sử dụng năng lượng điện từ trường
2.3. Sóng gốm điện áp
Sóng này được sinh ra bởi sự thay đổi điện áp có chu kỳ của hàng nghìn tinh thể ceramic. Các tinh thể ceramic bị kích thích phát ra sóng điện áp. Các tinh thể ceramic được xếp theo nửa hình cầu nên các sóng sau khi sinh ra được hội tụ ngay tại tiêu điểm F2 (viên sỏi cần phá).
6
Hình 6.Hệ thống hệ thống tán sỏi ngoài cơ thể sử dụng năng lượng sóng gốm điện áp
2.4. Sóng nổ
Sóng được phát ra và được tập trung lại nhờ mặt elip tròn xoay, loại sóng này có máy SZ-1 của hãng Yachioma.
3. CHỈ ĐỊNH VÀ CHỐNG CHỈ ĐỊNH
3.1. Chỉ định
Hiện nay, TSNCT đang có xu hướng chỉ định mở rộng, tuy nhiên khi mở rộng chỉ định cần đề phòng nhiều tai biến và biến chứng có thể xay ra trong và sau khi tán sỏi. Khi chỉ định điều trị tán sỏi thận ngoài cơ thể cần căn cứ vào:
3.1.1. Kích thước của sỏi
Đa số tác giả cho rằng, TSNCT là phương pháp điều trị tốt nhất đối với những trường hợp có sỏi kích thước ≤ 20mm. Những trường hợp sỏi lớn hơn cần cân nhắc cụ thể trong từng trường hợp, dựa vào mức độ cản quang, diện tích bề mặt sỏi, vị trí sỏi trong thận hay số lượng sỏi... Trong những trường hợp này, thường phải kết hợp với TSNCT với lấy sỏi thận qua da (LSTQD) để tăng hiệu quả điều trị hết sỏi của phương pháp.
Nếu mở rộng chỉ định, chỉ nên tán đến sỏi < 40mm, nhưng cần đặt sonde JJ niệu quản trước khi tán để phòng ngừa biến chứng ùn tắc niệu quản.
Những trường hợp sỏi quá lớn (hơn 40-50mm), vẫn có thể tán được nhưng khó khăn, phải tán sỏi nhiều lần, có nhiều tai biến và biến chứng như: tổn thương nặng nề vùng nhu mô thận, các mảnh sỏi tụt làm tắc niệu quản.
Các tác giả đã phân chia kích thước sỏi thận trong việc chỉ định TSNCT như sau:
- Đối với những bệnh nhân mang sỏi thận – không phải sỏi san hô < 10mm thì TSNCT thường là lựa chọn đầu tiên.
- Đối với những bệnh nhân có sỏi từ 10 – 20mm, TSNCT vẫn được xem là lựa chọn đầu tiên. Tuy nhiên trong nhiều trường hợp, tùy vào thành phần sỏi, vị trí hay giải phẫu mà có thể cần phải kết hợp với các phương pháp khác như LSTQD hay nội soi niệu quản cứng/ mềm để đạt được kết quả cao hơn.
- Những bệnh nhân với sỏi lớn hơn 20mm nên được điều trị ban đầu với phương pháp LSTQD trừ những trường hợp có chỉ định đặc biệt cho nội soi niệu quản (ví dụ như chảy máu tạng, béo phì bệnh lý). Nếu TSNCT được chỉ định, đặt sonde JJ niệu quản trước khi tán sỏi nhằm phòng ngừa tắc niệu quản do chuỗi sỏi vỡ sau TSNCT.
Quản lý bệnh nhân với sỏi san hô bằng cách kết hợp cả 2 phương pháp TSNCT và LSTQD được gọi là kỹ thuật sandwich. Thông thường, LSTQD được sử dụng trước tiên, sau đó TSNCT nhằm giải quyết những viên sỏi tồn dư sau LSTQD.
3.1.2. Vị trí sỏi
Sỏi bể thận tán dễ vỡ nhất vì sỏi nằm trong môi trường xung quanh là nước vì nước là môi trường truyền sóng xung tốt nhất. Sỏi niệu quản tán phần trên có nước tiểu dễ vỡ hơn phần dưới.
Sỏi đài trên và đài giữa cho kết quả 75-80% thành công, sỏi đài dưới chỉ cho kết quả 60% vì sỏi khó đào thải qua bể thận hơn.
3.1.3. Thành phần hóa học của sỏi
Kết quả TSNCT phụ thuộc rất lớn vào thành phần hóa học của sỏi, những sỏi quá rắn (cystin) hay quá mềm (calculmus) nói chung là tán khó khăn vì không vỡ hay vỡ thì quánh lại với nhau, không đào thải được.
Sỏi Struvite tuy dễ vỡ nhưng dễ gây nhiễm khuẩn niệu vì vi khuẩn nằm trong viên sỏi được giải phóng ra đường niệu, các mảnh sỏi khó đào thải và dễ gây tái phát.
Ở những bệnh nhân mang sỏi thận khó vỡ khi tán (sỏi cystine, brushite, calcium oxalate monohydrate), TSNCT chỉ nên được sử dụng đối với những viên sỏi có kích thước nhỏ. Nếu thất bại trong 2 lần tán ngoài cơ thể thì nên chuyển sang phương pháp điều trị khác.
3.1.4. Số lượng sỏi
Tốt nhất là nên tán sỏi chỉ có 1-2 viên.
Nếu số lượng sỏi quá nhiều, tán không tập trung, việc tán sỏi sẽ rất khó khăn, phải tán nhiều lần. Đa số các tác giả chọn tán trên bệnh nhân có số lượng sỏi không quá 3 viên.
3.1.5. Sỏi chưa có triệu chứng
Bệnh nhân có sỏi thận nhưng không có triệu chứng chủ quan, đang làm việc trong những nghề nghiệp đặc biệt (phi công) không cho phép ngừng công việc khi đang làm nhiệm vụ.
3.1.6. Tán sỏi sau một số phương pháp điều trị khác
Sót sỏi hay tái phát sau phẫu thuật.
Những mảnh sỏi còn lại sau lấy sỏi thận qua da.
3.2. Chống chỉ định
Mang thai là chống chỉ định tuyệt đối của TSNCT bởi vì sự ảnh hưởng của năng lượng sóng xung kích lên thai.
TSNCT ở những bệnh nhân có rối loạn đông chảy máu cũng có thể dẫn đến tụ máu cấp tính dưới bao và trong thận hoặc đái máu dai dẳng với đau quặn thận do máu cục. Đối với những trường hợp này thì nội soi niệu quản với máy tán sỏi laser là lựa chọn ưu tiên hàng đầu.
 Đối với những bệnh nhân dùng thuốc ngưng tập tiểu cầu như aspirin thì cần phải bị dừng lại trước khi tiến hành TSNCT một khoảng thời gian phụ thuộc vào liều lượng thuốc mà bệnh nhân đang sử dụng (ví dụ như 1 tuần đối với dùng aspirin liều thấp là 75mg và 2 tuần đối với liều aspirin đầy đủ là 325mg).
Nhiễm trùng đường tiểu phải được kiểm soát đầy đủ trước TSNCT. Sốt và nhiễm khuẩn huyết là những biến chứng thường gặp sau TSNCT. Mặc dù chính những viên sỏi cũng mang nguy cơ nhiễm khuẩn nhưng vấn đề sử dụng kháng sinh dự phòng một cách thường quy vẫn không được khuyến cáo.
Phình động mạch thận hoặc động mạch chủ bụng vẫn là một chống chỉ định đối với TSNCT. Hiện nay người ta vẫn chưa loại trừ được khả năng sóng xung kích sẽ xuyên qua phình mạch và có thể gây vỡ hoặc làm mỏng đi thành của thành phình mạch.
Những yếu tố về kích thước cơ thể đôi khi cũng trở thành một yếu tố cản trở việc điều trị TSNCT như chiều cao (người lớn >200cm, trẻ em <120cm) và trọng lượng (>135kg). Nguyên nhân là do không phù hợp với kích cỡ của bàn TSNCT. Đối với những trường hợp này thì nên chủ động lựa chọn nội soi niệu quản bằng ống soi mềm hoặc lấy sỏi thận qua da với dụng cụ dài...
Sự bất thường về giải phẫu như cột sống chia đôi (hình 4) hay vẹo – gù cột sống cũng có thể là yếu tố ảnh hưởng đến TSNCT vì không thể đặt tư thế bệnh nhân chính xác và cố định trên bàn tán sỏi.
7
Hình 7.Sỏi thận trái trên bệnh nhân bị dị tật cột sống chia đôi
Những lý do tương tự như bệnh nhân có bệnh lý khó thở do phổi hay tim mạch cũng không thể nằm lâu trên bàn phẳng của máy TSNCT được.
Những bệnh nhân không đồng ý với phương pháp TSNCT cũng là một chống chỉ định tương đối.
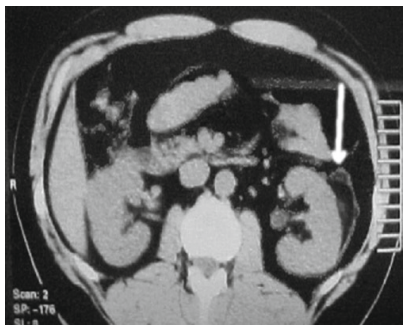
Tắc nghẽn đường tống sỏi cũng có thể là một chống chỉ định (tạm thời) đòi hỏi phải điều trị trước khi can thiệp bằng TSNCT. Những tắc nghẽn bao gồm xơ hẹp cổ đài, túi thừa đài thận (hình 5), hẹp khúc nối bể thận niệu quản, hẹp niệu quản, tăng sinh lành tính tuyến tiền liệt, hẹp niệu đạo hay hẹp miệng sáo.
8
Hình 8.Sỏi cực trên thận phải trong túi thừa đài thận
A, Phim KUB             B, Phim UIV
Những bệnh nhân với sỏi rất cứng như sỏi cystine, brushite và calcium monohydrate, nếu như trước đó những trường hợp này đã thất bại với TSNCT thì được khuyến cáo nên chuyển sang phương pháp điều trị khác như nội soi niệu quản tán sỏi và LSTQD.
4. TAI BIẾN VÀ BIẾN CHỨNG CỦA TÁN SỎI NGOÀI CƠ THỂ
4.1. Tai biến tổn thương mô do sóng xung kích
4.1.1. Tổn thương thận cấp tính
- Hai tai biến đối với thận xảy ra ngay sau TSNCT là chảy máu và phù nề trong hoặc quanh thận
- Chức năng thận cũng có thể bị ảnh hưởng sau tán sỏi ở một số trường hợp. Sự thay đổi ban đầu đó là hẹp mạch máu dẫn đến giảm dòng máu chảy đến thận và qua đó làm giảm tốc độ lọc cầu thận.
- Yếu tố nguy cơ gồm tuổi, béo phì, bệnh lý rối loạn đông chảy máu, đái tháo đường, bệnh lý tim mạch và cao huyết áp trước đó.
- Có thể hạn chế những ảnh hưởng cấp tính lên thận của TSNCT bằng cách sử dụng năng lượng thấp khi tán sỏi.
9
Hình 9. Tụ máu dưới bao thận sau TSNCT
4.1.2. Tổn thương mô của các cơ quan ngoài thận
- TSNCT liên qua đến nhiều tổn thương mô các cơ quan ngoài thận. Máy HM3 chưa cải tiến cho thấy có mối liên quan đến tổn thương các cơ quan như gan và cơ bởi vì phát hiện ra sự gia tăng nồng độ bilirubin, LDH, SGPT và creatine phokinase trong máu sau 24h điều trị.
- Tổn thương nhu mô phổi có thể xảy ra khi sóng xung kích tác động trực tiếp đến phổi. Vài trường hợp báo cáo về viêm tụy cấp sau tán sỏi khi phát hiện sự gia tăng nồng độ amylase và lipase trong máu.
- Nhồi máu cơ tim, tai biến mạch máu não và tê liệt đám rối thần kinh cánh tay cũng được ghi nhận sau TSNCT.
4.2. Những biến chứng liên quan đến mảnh sỏi sau tán
Những mảnh sỏi vỡ không hoàn toàn sau tán sỏi có thể dẫn đến sỏi tồn dư sau tán, chuỗi sỏi niệu quản và gây tắc nghẽn thận là một trong những vấn đề mà nhà niệu khoa cần phải đối mặt trong những trường hợp TSNCT thất bại với việc phá vỡ viên sỏi ra thành những mảnh nhỏ.
Những yếu tố nguy cơ làm những viên sỏi vỡ không hoàn toàn là thành phần viên sỏi, vị trí, kích thước, số lượng cũng như hình thái thận và năng lượng, tần số sóng xung kích.
Nếu nhiều hơn 2 mảnh sỏi nằm trên niệu quản và dẫn đến tắc nghẽn thận thì được gọi là chuỗi sỏi (steinstrasse). Thông thường 1 mảnh sỏi lớn sẽ gây tắc nghẽn niệu quản trước, sau đó những mảnh sỏi sau sẽ mắc kẹt ở phía trên.
10
Hình 10.Chuỗi sỏi niệu quản phải đoạn chậu sau TSNCT
ở bệnh nhân mang sỏi san hô được điều trị kết hợp TSNCT và LSTQD
Nguyên nhân dẫn đến chuỗi sỏi thường là do kích thước viên sỏi ban đầu lớn, vì vậy những viên sỏi > 2,5cm đều được khuyến cáo là không phù hợp với TSNCT.
Vị trí chuỗi sỏi thường gặp nhất là niệu quản đoạn xa (64%), kế đó là đoạn gần (29%) và cuối cùng là đoạn giữa (8%).
Chuỗi sỏi có thể phòng ngừa bằng những phương pháp sau:
- Lựa chọn bệnh nhân kỹ càng.
- Sử dụng năng lượng tán sỏi thấp lúc bắt đầu tán sỏi.
- Loại trừ những bệnh nhân nghi ngờ có hẹp niệu quản hay có tiền sử hẹp niệu quản trước đó.
Điều trị chuỗi sỏi niệu quản:
- Hơn một nữa trường hợp chuỗi sỏi không có triệu chứng được điều trị thành công với điều trị nội khoa.
- TSNCT lặp lại mang lại kết quả thành công ở đa số trường hợp.
- Dẫn lưu thận ở những trường hợp tắc nghẽn thận hay nhiễm trùng có thể làm giảm tắc nghẽn và áp lực tại bể thận, giảm phù nề quanh niệu quản đoạn chứa các mảnh sỏi, qua đó có thể làm hình thành lại và mạnh hơn nhu động niệu quản và vì vậy làm những mảnh sỏi có thể vượt qua được.
4.3. Biến chứng nhiễm khuẩn
Chấn thương thận và vỡ mạch máu trong quá trình TSNCT có thể làm cho vi khuẩn trong nước tiểu vào trong dòng máu. Thêm nữa, khi sỏi nhiễm khuẩn (struvite) bị phá hủy, vi khuẩn sẽ bị giải phóng từ sỏi vào trong nước tiểu vào có thể bị hấp thu vào tuần hoàn hệ thống.
Kết quả theo sau đó là nhiễm khuẩn huyết, nhiễm khuẩn đường tiểu, áp xe quanh thận, viêm nội tâm mạc, lao,... và tử vong (hiếm).
Theo dõi cẩn thận sau TSNCT là rất quan trọng, và đối với những bệnh nhân ngoại trú thì cầm phải ý thức được khả năng nhiễm khuẩn sau tán và cần phải quay trở lại khi có triệu chứng.
Tuy nhiên vấn đề sử dụng kháng sinh dự phòng trước TSNCT vẫn đang còn nhiều tranh cãi. Đối với những trường hợp mang sỏi nhiễm khuẩn (struvite và sỏi san hô), cấy nước tiểu dương tính, tiền sử nhiễm khuẩn đường tiểu trên tái diễn thì nên thường quy sử dụng kháng sinh trước khi tán sỏi.
4.4. Những biến chứng muộn
Tổn thương thận mạn tính:
- Hiện nay vẫn còn rất ít số liệu về tổn thương thận mạn tính sau TSNCT, 4 tổn thương được bàn cãi nhiều nhất đó là tăng huyết áp, giảm chức năng thận, tăng tỷ lệ sỏi tái phát và sự hình thành sỏi brushite. Cả 4 biến chứng trên dường như đều liên quan đến tổn thương thận cấp tính sau TSNCT và tiến triển hình thành những mô sẹo trên thận.
- Tuy nhiên theo nhiều nghiên cứu thì cho thấy rằng sự thay đổi về các marker máu và nước tiểu như renin, creatinine, N-Acetyl-b-D-glucosaminidase (NAG), b-galactosidase (BGAL), b-2-microglobulin (B2M), and protein niệu đều quay trở lại nồng độ gần bình thường vài ngày điều trị.
- Tăng huyết áp là biến chứng muộn rõ ràng nhất sau TSNCT với tỷ lệ là khoảng 8%.
Ảnh hưởng đến khả năng sinh sản:
- Trước đây việc áp dụng TSNCT đối với những bệnh nhân trẻ tuổi thì có những lo ngại sóng xung kích sẽ ảnh hưởng đến chức năng sinh sản.
- Nhưng ngày nay với những nghiên cứu thực nghiệm và lâm sàng thì cho thấy rằng TSNCT không để lại ảnh hưởng lâu dài lên chức năng tinh hoàn và buồng trứng. Do đó khả năng sinh sản của nam và nữ không bị ảnh hưởng bởi TSNCT.
5. NHỮNG YẾU TỐ ẢNH HƯỞNG ĐẾN TỶ LỆ THÀNH CÔNG CỦA TÁN SỎI NGOÀI CƠ THỂ
5.1. Kích thước sỏi
Kích thước sỏi là một trong những yếu tố tiên lượng có ý nghĩa đến kết quả của TSNCT. Tỷ lệ thành công của TSNCT đối với sỏi < 10mm là khoảng 90%. Đối với sỏi 10 – 20mm, tỷ lệ thành công là 66%, trong khi sỏi > 20mm xuống còn 47%. Bởi vậy, TSNCT không được khuyến cáo trong lựa chọn điều trị đầu tay đối với sỏi có đường kính >20mm.
5.2. Vị trí sỏi
Tỷ lệ sạch sỏi của TSNCT trong những viên sỏi ở vị trí đài thận trên và bể thận cao hơn đáng kể so với sỏi ở đài dưới. Đối với sỏi ở đài trên và đài giữa, tỷ lệ sạch sỏi dao động từ 70 - 90%, so với 50 - 70% trong trường hợp sỏi đài dưới.
5.3. Số lượng sỏi
Ở những bệnh nhân có bóng sỏi từ nhỏ đến vừa thì số lượng sỏi quan trọng hơn so với bóng sỏi.
Tỷ lệ thành công đối với sỏi 1 viên là 78,3% trong khi nhiều viên sỏi là 62,8%.
5.4. Sự tắc nghẽn
Đối với những thận có tiền sử tắc nghẽn trước đó thì tỷ lệ sạch sỏi sau điều trị TSNCT thấp hơn do với nhu động thận yếu hơn và qua đó dẫn đến khả năng tống sỏi sau tán thấp hơn so với thận không có tiền sử tắc nghẽn.
Tỷ lệ thành công với thận không tắc nghẽn trước đó và thận tắc nghẽn là 83% và 76% tương ứng.

TÀI LIỆU THAM KHẢO
TIẾNG VIỆT
  1. Bộ Môn Ngoại Đại Học Y - Dược Huế (2008), “Sỏi tiết niệu”, Giáo trình Ngoại bệnh lý, Tập 2, Nhà xuất bản y học Hà Nội, tr. 7-27.
  2. Trần Văn Hinh (2008), “Chiến lược điều trị sỏi đường tiết niệu”, Điều trị sỏi niệu bằng phẫu thuật ít xâm lấn, Nhà xuất bản Y học, tr. 20-29.
  3. Nguyễn Khoa Hùng (2011), “Nghiên cứu điều trị sỏi đài thận dưới bằng tán sỏi ngoài cơ thể và ảnh hưởng của sóng xung kích lên thận”, Luận án tiến sỹ.
  4. Lê Đình Khánh (2014),Sỏi hệ tiết niệu (Sách chuyên khảo), Nhà xuất bản Đại học Huế.
  5. Trần Lê Linh Phương (2013),“Điều trị sỏi niệu bằng phẫu thuật ít xâm lấn”, NXB Y học.
  6. Nguyễn Bửu Triều, Nguyễn Mễ (2003), “Sỏi thận”, Bệnh học tiết niệu, Nhà xuất bản Y học, tr. 255–268.
TIẾNG ANH
  1. Chaussy C., Schuller J., Schmiedt E. et al. (1984), “Extracorporeal shock-wave lithotripsy (ESWL) for treatment of urolithiasis”, Urology, 23, pp. 59–66.
  2. Drach G. W., Dretler S., Fair W. et al. (1986), “Report of United States cooperative study of extracorporeal shock wave lithotripsy”, J Urol., 135, pp. 1127-1133.
  3. Lingerman JE., Matlaga BR. and Evan AP. (2012), “Stone removal: Surgical techniques and technology”, Campbell’s Urology, 10th, Saunders, Philadelphia, pp. 1382-1412.
  4. Rao PN., Preminger GM., Kavanagh JP. (2011),Urinary Tract stone disease, Springer London Dordrecht Heidelberg New York.
  5. Sayed B., El-taher AM., Aboul-ella H. A., Shaker  SE. (2001), “Steinstrasse after extracorporeal shockwave lithotripsy: aetiology, prevention and management”, BJU International, 88, pp.675-678.
  6. Türk C., Knoll T., Petrik A., Sarica K. et al (2015), “Guidelines on Urolithiasis”, European Association of Urology.
  7. Türk C., Petrick A., Sarica K. (2016), “EAU Guidelines on Diagnosis and Conservative Management of Urolithiasis”, European urology, 69, pp. 468–474.
  8. Vieweg J., Weber HM., Miller K., Hautmann R. (1992), “Female fertility following extracorporeal shock wave lithotripsy of distal ureteral calculi”, J Urol., 148, pp. 1007-1010.
  9. Wein AJ., Kavoussi LR. et al. (2017),Campbell-Walsh Urology,10th ed, Philadelphia, Saunders Elsevier.

Tổng số điểm của bài viết là: 17 trong 4 đánh giá

Xếp hạng: 4.3 - 4 phiếu bầu

  Ý kiến bạn đọc

Những tin mới hơn

Những tin cũ hơn

Album ảnh bệnh viện
Bạn đã không sử dụng Site, Bấm vào đây để duy trì trạng thái đăng nhập. Thời gian chờ: 60 giây
Gửi phản hồi