Răng thừa: nguyên nhân phổ biến gây chậm mọc răng ở trẻ em

Thứ hai - 18/12/2023 03:50
Một số nguyên nhân khiến răng cửa vĩnh viễn hàm trên mọc chậm đã được báo cáo trong y văn như răng thừa, răng kém phát triển, răng dị dạng, u nang hoặc các tắc nghẽn bệnh lý khác trên đường mọc, sự hiện diện của niêm mạc màng xương hoặc lớp dưới niêm mạc dày đặc đóng vai trò như một rào cản vật lý đối với việc mọc răng, sự tồn tại răng sữa bị cứng khớp, thiếu khoảng trống hoặc liên quan đến một số hội chứng nhất định. Tuy nhiên, sự hiện diện của răng thừa ở vùng răng cửa hàm trên được coi là nguyên nhân phổ biến nhất khiến răng cửa hàm trên vĩnh viễn bị mọc chậm hoặc mọc lệch lạc.
Khái niệm
Răng thừa (supernumerary teeth) được định nghĩa là tình trạng dư thừa số lượng răng khi so sánh với công thức răng thông thường. Tần suất xuất hiện của chúng thay đổi từ 0,1 đến 3,8%. Tỷ lệ nam-nữ được báo cáo là 2:1. Y văn báo cáo rằng 80% – 90% tổng số răng thừa xuất hiện ở hàm trên. Một nửa được tìm thấy ở khu vực phía trước. Răng thừa có thể xuất hiện ở cả răng vĩnh viễn và răng sữa nhưng tỷ lệ xuất hiện ở răng sữa ít hơn 5 lần. Trong một cuộc khảo sát với 2.000 học sinh, Brook phát hiện ra rằng răng thừa xuất hiện ở 0,8% răng sữa và 2,1% răng vĩnh viễn. Thông thường, răng thừa không có triệu chứng và có thể được phát hiện tình cờ khi khám X quang.
Nguyên nhân
Nguyên nhân của răng thừa vẫn chưa được biết rõ. Tuy nhiên, lý thuyết hiện nay được chấp nhận rộng rãi nhất là lý thuyết tăng động (hyperactivity theory), trong đó giải thích rằng răng thừa là kết quả của sự phát triển quá mức nhưng có tổ chức của lá răng. Phần còn lại của lá răng hoặc phần mở rộng trong vòm miệng của lá răng đang hoạt động được tạo ra để phát triển thành mầm răng bổ sung, dẫn đến răng thừa. Ngoài ra, sự hiện diện của răng thừa có thể là một phần của các rối loạn phát triển như khe hở môi và vòm miệng, rối loạn xương sọ, hội chứng Gardner, hội chứng Fabry Anderson, hội chứng Ellis Van Creveld, hội chứng Ehlers-Danlos...
Phân loại
Răng thừa có thể được phân loại theo vị trí của chúng trong cung răng như răng mesiodens (răng dư nằm ở đường giữa của hàm trên giữa các răng cửa giữa), răng paramolar (nằm ở khoảng cách giữa các răng hàm) và răng  distomolar (nằm phía xa răng hàm thứ 3).
 
image 20231218155055 1
      Mesiodents               Paramolar Distomolar(a), Paramolar (b)
Hình 1: Các loại răng thừa
Biến chứng
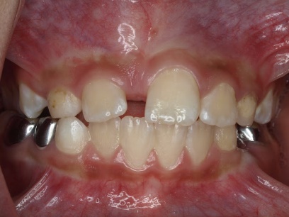
Sự hiện diện của răng thừa sẽ gây cản trở quá trình mọc và sắp xếp của các răng cửa hàm trên. Chúng có thể làm lệch hoặc ngăn cản sự mọc của các răng cửa giữa; gây mọc lệch vị trí, dịch chuyển hoặc xoay răng cửa hoặc răng cửa bị lệch về phía môi. Các biến chứng ít gặp hơn liên quan đến răng cửa vĩnh viễn bao gồm giãn chân răng đang phát triển, tiêu chân răng và chết tủy răng. Ngoài ra, các biến chứng liên quan đến răng thừa bao gồm mọc răng thừa vào khoang mũi, xoang hàm và phát triển nang răng đã được báo cáo.
 
Răng thừa làm cho R21 mọc thưa và lệch về phía môi Răng thừa (a) làm R11 (b) bị kẹt không mọc ra được
 
Răng thừa gây nang xương hàm trên Răng thừa mọc vào tiền đình mũi
Hình 2: Một số biến chứng của răng thừa

Chẩn đoán
Chẩn đoán răng thừa dựa vào khám lâm sàng và chụp X quang.
Khám lâm sàng thấy chậm mọc răng so với tuổi mọc dự kiến. Chẳng hạn như tuổi dự kiến mọc răng cửa giữa hàm trên vào khoảng 7-8 tuổi. Khi đến độ tuổi này nếu cả hai răng chưa mọc hoặc đã mọc một răng trong khi răng đối xứng chưa mọc hoặc mọc chậm thì nghi ngờ khả năng có răng thừa ngầm gây cản trở sự mọc răng. Hoặc phát hiện khe răng thưa răng cửa hàm trên hoặc có bất kì sự mọc lệch lạc nào của răng cửa hàm trên đều cũng nên chụp XQ kiểm tra sự hiện diện của răng thừa. Việc chẩn đoán bằng XQ là rất quan trọng. Tại BV Đa khoa Tỉnh Quảng Trị có đầy đủ các phương tiện chẩn đoán như XQ cận chóp, XQ răng toàn cảnh và đặc biệt là phương tiện chụp cắt lớp vi tính chùm tia hình nón (CT Cone Beam) có thể phát hiện răng thừa theo 3 chiều không gian mà các phương tiện khác có thể không phát hiện ra. Minh họa trường hợp cháu trai 8 tuổi sau đây là một ví dụ.
 
-
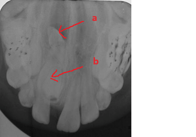
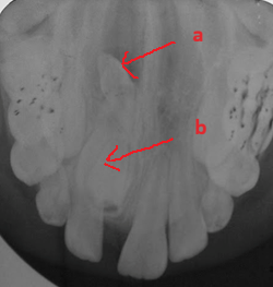
Răng thừa (b) mọc trong vòm miệng khiến cho R22 (a) mọc lệch xoay trục XQ răng toàn cảnh không thấy răng thừa do R21 (a) che khuất,(b) là R22 bị xoay trục
            Hình ảnh răng thừa (a) xuất hiện rất rõ trên CT Cone Beam, (b) là hình ảnh R21
Hình 3: Tính ưu việt của CT Cone Beam trong chẩn đoán răng thừa
(Nguồn: Bệnh viện Đa khoa Tỉnh Quảng Trị)

Điều trị
Khi răng thừa đã được chẩn đoán xác định, bác sĩ phải quyết định điều trị để giảm thiểu hậu quả tiếp theo. Để tránh những biến chứng của răng thừa, việc nhổ những chiếc răng này là nguyên tắc. Nhổ răng thừa vào thời điểm thích hợp để thúc đẩy quá trình tự mọc ở giai đoạn sớm của răng hỗn hợp có thể giúp răng thẳng hàng hơn và có thể giảm thiểu nhu cầu điều trị chỉnh nha sau này.
Điều trị trì hoãn bao gồm việc nhổ răng thừa khi chóp của răng cửa giữa chưa mọc đã gần trưởng thành. Nhổ răng thừa càng muộn thì khả năng răng vĩnh viễn không mọc tự nhiên hoặc sẽ bị lệch lạc khi điều trị càng cao, do đó việc phẫu thuật và điều trị chỉnh nha sau đó được yêu cầu thường xuyên hơn.
Việc kiểm soát tình trạng răng mọc chậm do răng thừa có thể được thực hiện bằng hai phương pháp. Thứ nhất, bằng cách điều trị bảo tồn, chỉ bằng cách phẫu thuật loại bỏ răng thừa (hình 4). Thứ hai, bằng cách phẫu thuật loại bỏ răng thừa kết hợp cùng lúc với chỉnh nha kéo răng cửa ngầm lên (hình 5).

 
image 20231218155055 15 533x390 image 20231218155055 16 514x374 image 20231218155055 17 482x336
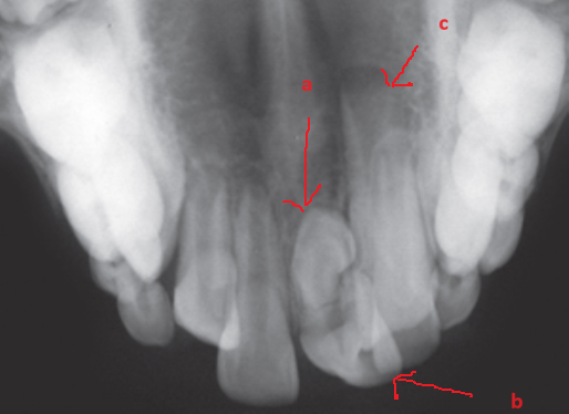
R21 chưa mọc, R11 đã mọc (a), Răng thừa (b), R22 (c) (b)Răng thừa thứ nhất, (a) răng thừa thứ 2, (c) R21 ngầm chưa mọc Phẫu thuật lật vạt:(a) răng thừa thứ 1, (b) R21 ngầm, (c) R22
image 20231218155055 19 502x340
Răng thừa thứ 1đã được nhổ Bộc lộ răng thừa thứ 2 Hình ảnh 2 răng thừa
 
Hình ảnh sau phẫu thuật 6 tháng, R21 đã mọc lên sau khi loại bỏ 2 răng thừa  
Hình 4: Minh họa cho phẫu thuật lấy răng thừa đơn thuần ở một bé trai 9 tuổi  
         

image 20231218155055 24 250x263
Răng thừa (a) làm R11 (b) bị kẹt không mọc ra được Tạo khoảng trước phẫu thuật
http://www.dentalnews.com/wp-content/uploads/2015/10/Maxillary-Central14.jpg =http://www.dentalnews.com/wp-content/uploads/2015/10/Maxillary-Central16.jpg =
Phẫu thuật lấy răng thừa sau 4 tháng tạo khoảng Chỉnh nha kéo R11 ngầm lên
Qúa trình chỉnh nha kéo răng cửa mọc ngầm hoàn tất
Hình 5: Minh họa phẫu thuật lấy răng thừa kết hợp với chỉnh nha ở một bé trai 9 tuổi

Theo dõi
Cần theo dõi chặt chẽ tình trạng răng vĩnh viễn sau khi nhổ răng thừa. Nhiều nhiên cứu đã chỉ ra rằng, răng cửa vĩnh viễn sẽ mọc lên một cách tự nhiên sau khi răng thừa đã được nhổ đi. Mitchell và Bennett nghiên cứu cho thấy có 78% răng cửa mọc tự nhiên với thời gian mọc trung bình là 16 tháng. Leyland và cộng sự đã báo cáo rằng hầu hết các răng mọc chậm sẽ mọc tự nhiên trong vòng 18 tháng chỉ sau khi nhổ răng thừa. Sau khi răng cửa mọc lên sẽ tiến hành chỉnh nha nếu bị thưa hoặc lệch lạc không đúng vị trí.
Một nghiên cứu hệ thống năm 2023 của Seehra J. và cộng sự cho thấy rằng việc sử dụng bổ sung các biện pháp chỉnh nha và loại bỏ răng thừa cùng một lúc có thể liên quan đến tỷ lệ mọc răng cửa ngầm thành công cao hơn so với việc chỉ phẫu thuật nhổ răng thừa đơn thuần. Ngoài ra việc tiên lượng sự mọc răng cửa chậm mọc có liên quan đến loại răng thừa và vị trí hoặc giai đoạn phát triển của răng cửa cũng có thể ảnh hưởng đến việc mọc răng thành công sau khi loại bỏ răng thừa.
Khuyến nghị
       Vì có rất nhiều nguyên nhân mà trong đó răng thừa là phổ biến khiến cho răng cửa vĩnh viễn của trẻ trong thời kì moc răng bị chậm mọc hoặc mọc thưa, mọc lệch lạc nên chúng tôi có một số khuyến nghị sau:
  • Các bậc phụ huynh nên nắm rõ thời gian trình tự thay răng sữa và răng vĩnh viễn, vốn bắt đầu từ lúc 6,7 tuổi (Hình 6)
  • Đem trẻ đi khám ngay sau khi phát hiện răng cửa vĩnh viễn chậm mọc so với độ tuổi, đặc biệt là mọc không cân xứng hai bên, mọc thưa, mọc lệch xoay trục.
  • Nên chụp CT Cone Beam để khảo sát chẩn đoán toàn diện răng thừa và các nguyên nhân gây chậm mọc khác
  • Nên đi khám răng miệng cho trẻ định kì 3- 6 tháng một lần để kịp thời phát hiện những bất thường và có những tư vấn cần thiết
 
Hình 6: Tuổi mọc răng vĩnh viễn hàm trên

                                              
           TÀI LIỆU THAM KHẢO
  1. Manuja N., Nagpal R., Singh M. et al, (2011), Management of Delayed Eruption of Permanent Maxillary Incisor associated with the Presence of Supernumerary Teeth: A Case Report, International Journal of Clinical Pediatric Dentistry, Vol 4(3), pp. 255-259
  2. Seehra J., Mortaja K., Wazwaz F et al, (2023), Interventions to facilitate the successful eruption of the impacted maxillary incisor teeth due to the presence of supernumerary: A systematic review and meta-analysis, American Journal of Orthodontics and Dentofacial orthopedics, Vol 165 (5), pp. 594-607.
  3. Management of Impacted Maxillary Central Incisor due to Supernumerary Teeth: A Case Report, https://www.dentalnews.com/2015/06/29/management-supernumerary-teeth/, ngày truy cập 20/10/2023.

Tác giả: BSCKII Võ Thanh Long- Khoa RHM BV Đa khoa Tỉnh Quảng Trị


 

Tổng số điểm của bài viết là: 2 trong 2 đánh giá

Xếp hạng: 1 - 2 phiếu bầu
Click để đánh giá bài viết

  Ý kiến bạn đọc

Những tin mới hơn

 

Những tin cũ hơn

Đơn vị chủ quản
Chuyển giao diện: Tự động Máy Tính
TRUNG TÂM TIN HỌC TỈNH QUẢNG TRỊ
ĐC: 45 Hùng Vương, TP Đông Hà, Quảng Trị
ĐT: 0233.553350 - Email: trungtamtinhoc@quangtri.gov.vn