tin tuc

Thực hiện thành công phẫu thuật cắt khối u gan phải kích thước lớn tại Bệnh viện đa khoa tỉnh Quảng Trị

Thứ năm - 30/06/2022 03:26
Ngày 23/6/2022 , Khoa Ung bướu – Bệnh viện đa khoa tỉnh Quảng Trị đã thực hiện thành công phẫu thuật cắt khối u gan kích thước lớn cho một bệnh nhân ung thư gan.
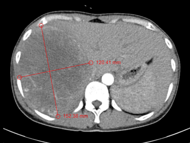
Hình ảnh CT-Scaner khối u gan lớn kích thước 12x15 cm
Bệnh nhân nữ 45 tuổi,tiền sử viêm gan B mạn không điều trị gì, vào viện vì đau tức vùng hạ sườn phải kèm gầy sút cân #4kg/ 2 tháng. Qua thăm khám và thực hiện các xét nghiệm cận lâm sàng, bệnh nhân được chẩn đoán ung thư gan nguyên phát với khối u gan kích thước lớn 12x15cm chiếm toàn bộ gan phải, chưa có hiện tượng xâm lấn mạch máu và di căn, chức năng gan còn đảm bảo. Bệnh nhân được chỉ định phãu thuật cắt toàn bộ gan phải và khôi u. Phẫu thuật đã được thực hiện thành công, an toàn. Hiện tại hậu phẫu ngày thứ 7 bệnh nhân ổn định, chức năng gan còn lại tốt, bệnh nhân đã tự ngồi dậy, vận động nhẹ nhàng.
Hình ảnh bệnh phẩm khối u của bệnh nhân
Theo Globocan 2020, Ung thư gan là bệnh lý ung thư thường gặp nhất tại Việt Nam với tỷ lệ tử vong rất cao. Hiện nay, việc điều trị Ung thư gan có rất nhiều phương pháp phối hợp điều trị, trong đó phẫu thuật cắt gan được xem là phương pháp điều trị triệt để mang lại hiệu quả lâu dài tốt nhất cho bệnh nhân ở giai đoạn sớm. Phẫu thuật cắt gan được xem là một phẫu thuật khó vì việc xác định ranh giới giải phẫu và chảy máu trong mổ đòi hỏi phẫu thuật viên có trình độ và kinh nghiệm. Đặc biệt đối với bệnh nhân có khối u gan lớn không xâm lấn nhưng đè ép các mạch máu lớn như tĩnh mạch cửa, tĩnh mạch chủ dưới nên nguy cơ chảy máu và tử vong trong mổ rất cao.
Khoa Ung bướu - Bệnh viện Đa khoa Tỉnh triển khai kỹ thuật mổ cắt gan từ đầu đầu năm 2019, tính đến nay đã có gần 100 bệnh nhân được phẫu thuật thành công. Với việc không ngừng hoàn thiện kỹ thuật và nâng cao tay nghề, ngày càng có nhiều bệnh nhân được hưởng lợi ích tối đa từ phương pháp điều trị tại khoa Ung bướu Bệnh viện Đa khoa tỉnh Quảng Trị.

Tác giả: Bs. Lê Văn Chương – Khoa Ung Bướu

Tổng số điểm của bài viết là: 6 trong 2 đánh giá

Xếp hạng: 3 - 2 phiếu bầu

  Ý kiến bạn đọc

Những tin mới hơn

Những tin cũ hơn

Album ảnh bệnh viện
Bạn đã không sử dụng Site, Bấm vào đây để duy trì trạng thái đăng nhập. Thời gian chờ: 60 giây
Gửi phản hồi