tin tuc

Phẫu thuật cắt bàng quang toàn bộ và tạo hình bàng quang bằng ruột tại Bệnh viện Đa Khoa tỉnh Quảng Trị

Thứ ba - 06/04/2021 04:39
Ngày 02/4/2021, các bác sĩ khoa Ngoại Tổng hợp Bệnh viện Đa khoa tỉnh Quảng Trị đã tiến hành phẫu thuật cắt bỏ toàn bộ bàng quang, tạo hình bàng quang bằng một đoạn ruột non do ung thư bàng quang xâm lấn cho bệnh nhân Nguyễn Văn T., 78 tuổi, trú tại Vĩnh Lâm, Vĩnh Linh, Quảng Trị.
      Bệnh nhân T. có tiền sử mổ sỏi bàng quang cách đây 6 năm, mổ nội soi cắt u xơ tiền liệt tuyến cách đây 1 năm. Lần này nhập viện với lý do đái máu tươi toàn bãi, thỉnh thoảng có máu cục, kèm theo triệu chứng tiểu khó, tia tiểu yếu. Qua thăm khám lâm sàng và hình ảnh chụp CT. Scanner cũng như hình ảnh soi bàng quang cho thấy người bệnh có một khối u kích thước 3x4 cm ngay lỗ niệu quản trái, đụng vào dễ chảy máu. Thực hiện cắt mẫu làm giải phẫu bệnh cho kết quả carcinoma niệu mạc, biệt hóa kém, đã xâm lấn lớp cơ bàng quang. Sau khi tiến hành hội chẩn, bệnh nhân được chỉ định phẫu thuật cắt bàng quang toàn bộ.  
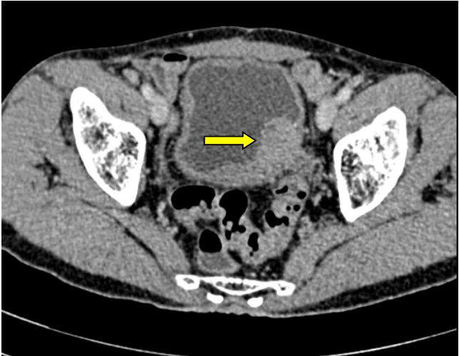
Hình ảnh u bàng quang của người bệnh trên phim CT.Scanner

      Sau gần 4 giờ phẫu thuật, khối u cùng toàn bộ bàng quang của người bệnh đã được cắt bỏ, bàng quang mới được tạo hình từ một đoạn hồi tràng. Hiện tại sau 4 ngày hậu phẫu, sức khỏe người bệnh ổn định.
Hình ảnh bàng quang tân tạo
      Cũng trong tuần này tại Khoa Ung Bướu, BVĐK tỉnh đã tiến hành thành công phẫu thuật cắt bàng quang toàn phần, tái tạo bàng quang bằng ruột non cho một bệnh nhân ung thư bàng quang tái phát.
Bệnh nhân Đào Hữu Ư., 69 tuổi, trú tại Vĩnh Giang, Vĩnh Linh, Quảng Trị có tiền sử ung thư bàng quang, cắt bàng quang bán phần cách đây 9 tháng. Lần này vào viện với triệu chứng đau âm ỉ vùng hạ vị, kèm theo tiểu máu toàn bãi và máu cục. Qua thăm khám lâm sàng và thực hiện các xét nghiệm cận lâm sàng, các bác sỹ đã chẩn đoán là ung thư bàng quang tái phát. Bệnh nhân được chỉ định cắt bàng quang toàn phần, tạo hình bàng quang bằng ruột non. Sau 6 ngày phẫu thuật tình trạng bệnh nhân đã ổn định, nước tiểu qua sond vàng trong.
      Theo Ts.Bs Phan Khánh Việt – Phó trưởng khoa Ngoại Tổng hợp Bệnh viện: phẫu thuật cắt bỏ và tạo hình bàng quang toàn bộ là một phẫu thuật lớn, khó, đòi hỏi kỹ thuật cao. Việc cắt bỏ toàn bộ bàng quang, nạo vét hạch rộng rãi nhằm điều trị triệt căn ung thư bàng quang, đồng thời giúp bảo vệ đường niệu trên và đảm bảo chất lượng sống cho bệnh nhân. Bàng quang sau khi được tạo mới sẽ đảm bảo tốt chức năng trong suốt quá trình sống của người bệnh. 
      Phẫu thuật cắt toàn bộ bàng quang, tạo hình bàng quang bằng ruột non đã được triển khai thực hiện tại BVĐK tỉnh Quảng Trị từ tháng 9 năm 2020 và tính đến nay đã tiến hành phẫu thuật thành công cho 7 trường hợp. Với việc triển khai thực hiện kỹ thuật mới này đã tạo cơ hội điều trị cho rất nhiều bệnh nhân ung thư bàng quang tại địa phương. Đồng thời khẳng định năng lực học tập, ứng dụng các kỹ thuật cao, chuyên sâu của đội ngũ bác sĩ ngoại khoa nhằm điều trị hiệu quả các bệnh lý hiểm nghèo, phức tạp, giúp người bệnh được thụ hưởng dịch vụ y tế chất lượng, giảm gánh nặng chi phí điều trị bệnh.

Tác giả: Mỹ Châu – Phòng Điều dưỡng

Tổng số điểm của bài viết là: 6 trong 2 đánh giá

Xếp hạng: 3 - 2 phiếu bầu

  Ý kiến bạn đọc

Những tin mới hơn

Những tin cũ hơn

Album ảnh bệnh viện
Bạn đã không sử dụng Site, Bấm vào đây để duy trì trạng thái đăng nhập. Thời gian chờ: 60 giây
Gửi phản hồi